购物车
  • TargetMol
    您的购物车当前为空

Anti-PGBD5 Antibody (3L250)

Synonyms: PiggyBac transposable element-derived protein 5, PGBD5_HUMAN, PGBD 5
货号 TMAC-03172 一键复制产品信息
Rating icon 还可以

Anti-PGBD5 Antibody (3L250) 是一种 Mouse 抗体,靶向 PGBD5。Anti-PGBD5 Antibody (3L250) 可用于 ICC,IHC,WB。

Anti-PGBD5 Antibody (3L250)

一键复制产品信息
Rating icon 还可以
货号 TMAC-03172

别名 PiggyBac transposable element-derived protein 5, PGBD5_HUMAN, PGBD 5

Anti-PGBD5 Antibody (3L250) 是一种 Mouse 抗体,靶向 PGBD5。Anti-PGBD5 Antibody (3L250) 可用于 ICC,IHC,WB。

Anti-PGBD5 Antibody (3L250)
规格价格库存数量
50 μL
¥ 1,980
5日内发货
100 μL
¥ 2,980
5日内发货
库存状态实时更新,以官网显示为准,现货产品可直接加购物车下单
大包装 & 定制
加入购物车

TargetMol的所有产品仅用作科学研究或药证申报,不能被用于人体,我们不向个人提供产品和服务。请您遵守承诺用途,不得违反法律法规规定用于任何其他用途。

实验操作小课堂
常见问题解答
查看更多

资源下载:产品操作手册

产品介绍


生物活性
产品描述
Anti-PGBD5 Antibody (3L250) is a Mouse antibody targeting PGBD5. Anti-PGBD5 Antibody (3L250) can be used in ICC,IHC,WB.
别名
PiggyBac transposable element-derived protein 5, PGBD5_HUMAN, PGBD 5
克隆号
3L250
反应种属
Human,Mouse
验证活性
1. Western blot analysis on F9 cell lysates using anti-PGBD5 Mouse mAb.
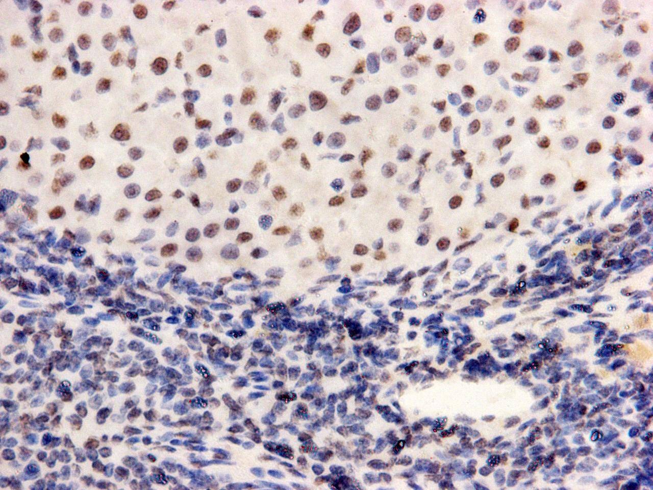
2. Immunohistochemical analysis of paraffin- embedded human lung cancer tissue using anti-PGBD5 Mouse mAb.
3. Immunofluorescent staining of F9 cells using anti-PGBD5 Mouse mAb.
verifiedActivityverifiedActivityverifiedActivity
应用ICCIHCWB
推荐剂量
WB: 1:5000-10000; IHC: 1:200; ICC: 1:100-500
抗体种类
Monoclonal
宿主来源Mouse
构建方式Hybridoma Monoclonal Antibody
纯化方式ProA affinity purified
性状Liquid
缓冲液1*TBS (pH7.4), 1%BSA, 40%Glycerol. Preservative: 0.05% Sodium Azide.
研究背景PiggyBac transposable element derived protein 5, also known as PGBD5, encodes a 554 amino acid transposase and is a member of the piggyBac transposable element derived (PGBD) gene family, which includes several genes that are derived from piggyBac transposons. This gene product is specifically expressed in the brain. The PiggyBac transposable element is a popular tool for germ-line transgenesis of eukaryotes.
偶联与修饰
偶联
Unconjugated
抗原信息
免疫原
Peptide
Uniprot ID
化学信息
分子量Theoretical: 62 kDa.
储存&溶解度
储存方式Store at -20°C or -80°C for 12 months. Avoid repeated freeze-thaw cycles.
运输方式Shipping with blue ice.

计算器

  • 稀释 计算器
  • 配液 计算器
Related Tags: buy Anti-PGBD5 Antibody (3L250) | purchase Anti-PGBD5 Antibody (3L250) | Anti-PGBD5 Antibody (3L250) cost | order Anti-PGBD5 Antibody (3L250) | Anti-PGBD5 Antibody (3L250) molecular weight