购物车
  • TargetMol
    您的购物车当前为空

Anti-Perilipin A Polyclonal Antibody

Synonyms: PLIN1, PLIN 1, PLIN, Perilipin-A, PerilipinA, Perilipin1, Perilipin 1, Perilipin, PERI, Lipid droplet associated protein
货号 TMAB-01369 一键复制产品信息
Rating icon 还可以

Anti-Perilipin A Polyclonal Antibody 是一种 Rabbit 抗体,靶向 Perilipin A。Anti-Perilipin A Polyclonal Antibody 可用于 IF,IHC-Fr,IHC-P,WB。

Anti-Perilipin A Polyclonal Antibody

一键复制产品信息
Rating icon 还可以
货号 TMAB-01369

别名 PLIN1, PLIN 1, PLIN, Perilipin-A, PerilipinA, Perilipin1, Perilipin 1, Perilipin, PERI, Lipid droplet associated protein

Anti-Perilipin A Polyclonal Antibody 是一种 Rabbit 抗体,靶向 Perilipin A。Anti-Perilipin A Polyclonal Antibody 可用于 IF,IHC-Fr,IHC-P,WB。

Anti-Perilipin A Polyclonal Antibody
规格价格库存数量
50 μL
¥ 1,170
5日内发货
100 μL
¥ 1,975
5日内发货
200 μL
¥ 2,785
5日内发货
库存状态实时更新,以官网显示为准,现货产品可直接加购物车下单
大包装 & 定制
加入购物车

TargetMol的所有产品仅用作科学研究或药证申报,不能被用于人体,我们不向个人提供产品和服务。请您遵守承诺用途,不得违反法律法规规定用于任何其他用途。

实验操作小课堂
常见问题解答
查看更多

资源下载:产品操作手册

产品介绍


生物活性
产品描述
Anti-Perilipin A Polyclonal Antibody is a Rabbit antibody targeting Perilipin A. Anti-Perilipin A Polyclonal Antibody can be used in IF,IHC-Fr,IHC-P,WB.
别名
PLIN1, PLIN 1, PLIN, Perilipin-A, PerilipinA, Perilipin1, Perilipin 1, Perilipin, PERI, Lipid droplet associated protein
Ig Type
IgG
反应种属
Human,Mouse,Rat (predicted:Dog,Pig,Cow,Horse,Sheep)
验证活性
1. Sample: Parotid gland (Mouse) Lysate at 40 μg
Primary: Anti-Perilipin A (TMAB-01369) at 1/300 dilution
Secondary: IRDye800CW Goat Anti-Rabbit IgG at 1/20000 dilution
Predicted band size: 57 kDa
Observed band size: 57 kDa
2. Sample: Thymus (Mouse) Lysate at 40 μg
Primary: Anti-Perilipin A (TMAB-01369) at 1/300 dilution
Secondary: IRDye800CW Goat Anti-Rabbit IgG at 1/20000 dilution
Predicted band size: 57 kDa
Observed band size: 57 kDa
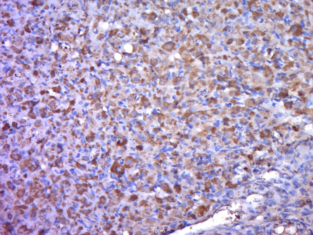
3. Paraformaldehyde-fixed, paraffin embedded (rat ovary); Antigen retrieval by boiling in sodium citrate buffer (pH6.0) for 15 min; Block endogenous peroxidase by 3% hydrogen peroxide for 20 min; Blocking buffer (normal goat serum) at 37°C for 30 min; Antibody incubation with (Perilipin A) Polyclonal Antibody, Unconjugated (TMAB-01369) at 1:400 overnight at 4°C, followed by a conjugated secondary antibody for 20 min and DAB staining.
4. Sample:
MCF-7 Cell (Human) Lysate at 30 μg
Primary: Anti-Perilipin A at 1/300 dilution
Secondary: IRDye800CW Goat Anti-Rabbit IgG at 1/20000 dilution
Predicted band size: 57 kDa
Observed band size: 57 kDa
verifiedActivityverifiedActivityverifiedActivityverifiedActivity
应用IFIHC-FrIHC-PWB
推荐剂量
WB: 1:500-2000; IHC-P: 1:100-500; IHC-Fr: 1:100-500; IF: 1:100-500
抗体种类
Polyclonal
宿主来源Rabbit
亚细胞定位Lipid droplet. Note=Lipid droplet surface-associated.
组织特异性Adipocytes.
构建方式Polyclonal Antibody
纯化方式Protein A purified
性状Liquid
缓冲液0.01M TBS (pH7.4) with 1% BSA, 0.02% Proclin300 and 50% Glycerol.
浓度1 mg/mL
研究背景Perilipins, members of the PAT protein family (named after lipid droplet proteins Perilipin, Adipophilin, and TIP47) are found exclusively at the surface of lipid droplets in adipocytes and steroidogenic cells. They have been suggested to function as regulators of lipolysis and triacylglycerol storage within adipose tissue. Four distinct isoforms ranging from perilipin A (57 kDa) to perilipin D (26 kDa) have been identified and they share an identical amino terminal sequences, and contain 2–6 consensus protein kinase A (PKA) phosphorylation sites. Perilipin C and D have been detected only in steroidogenic cells. Perilipin A is the most abundant form on the lipid droplets of adipocytes. The phosphorylation of perilipin by PKA, which is accompanied by the phosphorylation and translocation of hormone-sensitive lipase from the cytosol to the lipid droplets, promotes lipolysis. There is evidence for the presence of perilipin A in atheroma plaques suggesting that the protein may be involved in the development of therosclerosis by controlling as in adipocytes the hydrolysis of stored lipids.
抗原信息
免疫原
KLH conjugated synthetic peptide: human Perilipin-1
抗原种属
Human
基因名称
PLIN1
基因ID
蛋白名称
Perilipin
Uniprot ID
研究领域
Metabolism of lipids and lipoproteins,Lipoprotein metabolism,Lipid Droplet Protein,Lipid metabolism,Lipoprotein metabolism,Heart disease,Lipid metabolism
功能
Modulator of adipocyte lipid metabolism. Coats lipid storage droplets to protect them from breakdown by hormone-sensitive lipase (HSL). Its absence may result in leanness.
化学信息
分子量Theoretical: 57 kDa. Actual: 57 kDa.
储存&溶解度
储存方式Store at -20°C or -80°C for 12 months. Avoid repeated freeze-thaw cycles.
运输方式Shipping with blue ice.

计算器

  • 稀释 计算器
  • 配液 计算器
Related Tags: buy Anti-Perilipin A Polyclonal Antibody | purchase Anti-Perilipin A Polyclonal Antibody | Anti-Perilipin A Polyclonal Antibody cost | order Anti-Perilipin A Polyclonal Antibody | Anti-Perilipin A Polyclonal Antibody molecular weight