购物车
  • TargetMol
    您的购物车当前为空

Anti-PEDF Polyclonal Antibody

Synonyms: serpin peptidase inhibitor, clade F,member 1, PIG35, PEDF, OI6, OI12, EPC-1
货号 TMAB-01365 一键复制产品信息
Rating icon 还可以

Anti-PEDF Polyclonal Antibody 是一种 Rabbit 抗体,靶向 PEDF。Anti-PEDF Polyclonal Antibody 可用于 IF,IHC-Fr,IHC-P,WB。

Anti-PEDF Polyclonal Antibody

一键复制产品信息
Rating icon 还可以
货号 TMAB-01365

别名 serpin peptidase inhibitor, clade F,member 1, PIG35, PEDF, OI6, OI12, EPC-1

Anti-PEDF Polyclonal Antibody 是一种 Rabbit 抗体,靶向 PEDF。Anti-PEDF Polyclonal Antibody 可用于 IF,IHC-Fr,IHC-P,WB。

Anti-PEDF Polyclonal Antibody
规格价格库存数量
50 μL
¥ 1,170
5日内发货
100 μL
¥ 1,975
5日内发货
200 μL
¥ 2,790
5日内发货
库存状态实时更新,以官网显示为准,现货产品可直接加购物车下单
大包装 & 定制
加入购物车

TargetMol的所有产品仅用作科学研究或药证申报,不能被用于人体,我们不向个人提供产品和服务。请您遵守承诺用途,不得违反法律法规规定用于任何其他用途。

实验操作小课堂
常见问题解答
查看更多

资源下载:产品操作手册

产品介绍


生物活性
产品描述
Anti-PEDF Polyclonal Antibody is a Rabbit antibody targeting PEDF. Anti-PEDF Polyclonal Antibody can be used in IF,IHC-Fr,IHC-P,WB.
别名
serpin peptidase inhibitor, clade F,member 1, PIG35, PEDF, OI6, OI12, EPC-1
Ig Type
IgG
反应种属
Human,Mouse (predicted:Pig,Cow,Sheep)
验证活性
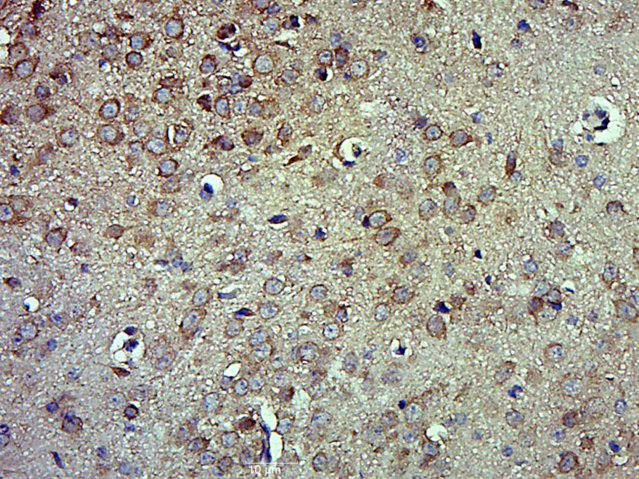
1. Paraformaldehyde-fixed, paraffin embedded (Human glioma); Antigen retrieval by boiling in sodium citrate buffer (pH6.0) for 15 min; Block endogenous peroxidase by 3% hydrogen peroxide for 20 min; Blocking buffer (normal goat serum) at 37°C for 30 min; Antibody incubation with (PEDF) Polyclonal Antibody, Unconjugated (TMAB-01365) at 1:500 overnight at 4°C, followed by a conjugated secondary for 20 min and DAB staining.
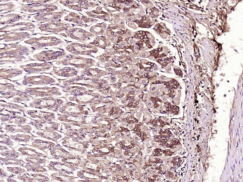
2. Paraformaldehyde-fixed, paraffin embedded (Mouse stomach); Antigen retrieval by boiling in sodium citrate buffer (pH6.0) for 15 min; Block endogenous peroxidase by 3% hydrogen peroxide for 20 min; Blocking buffer (normal goat serum) at 37°C for 30 min; Antibody incubation with (PEDF) Polyclonal Antibody, Unconjugated (TMAB-01365) at 1:500 overnight at 4°C, followed by a conjugated secondary for 20 min and DAB staining.
3. Sample: Liver (Mouse) Lysate at 40 μg
Primary: Anti-PEDF (TMAB-01365) at 1/300 dilution
Secondary: IRDye800CW Goat Anti-Rabbit IgG at 1/20000 dilution
Predicted band size: 46 kDa
Observed band size: 46 kDa
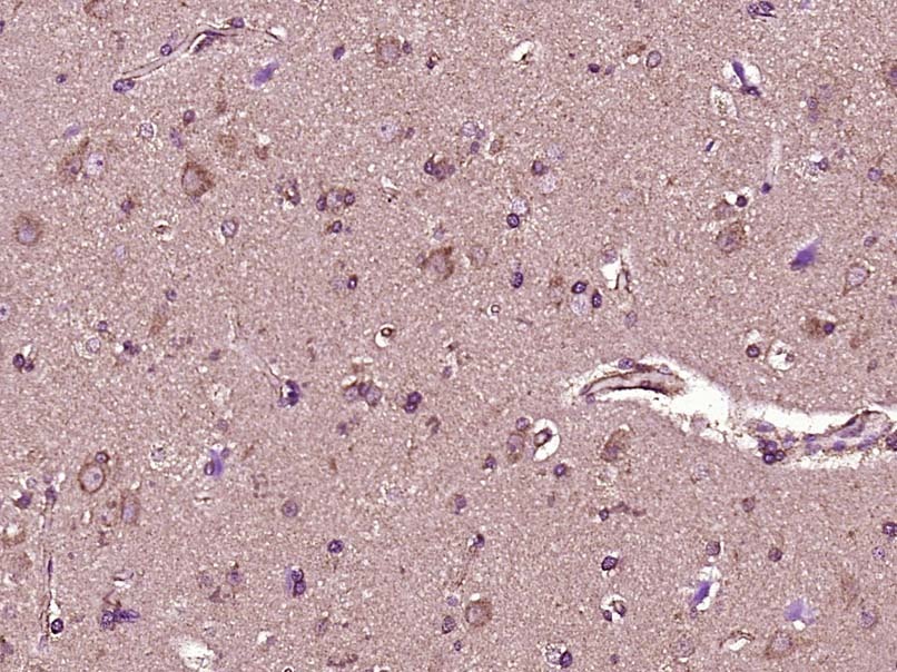
4. Paraformaldehyde-fixed, paraffin embedded (Mouse brain); Antigen retrieval by boiling in sodium citrate buffer (pH6.0) for 15 min; Block endogenous peroxidase by 3% hydrogen peroxide for 20 min; Blocking buffer (normal goat serum) at 37°C for 30 min; Antibody incubation with (PEDF) Polyclonal Antibody, Unconjugated (TMAB-01365) at 1:500 overnight at 4°C, followed by a conjugated secondary for 20 min and DAB staining.
verifiedActivityverifiedActivityverifiedActivityverifiedActivity
应用IFIHC-FrIHC-PWB
推荐剂量
WB: 1:500-2000; IHC-P: 1:100-500; IHC-Fr: 1:100-500; IF: 1:100-500
抗体种类
Polyclonal
宿主来源Rabbit
亚细胞定位Secreted. Melanosome. Enriched in stage I melanosomes.
组织特异性Retinal pigment epithelial cells and blood plasma.
构建方式Polyclonal Antibody
纯化方式Protein A purified
性状Liquid
缓冲液0.01M TBS (pH7.4) with 1% BSA, 0.02% Proclin300 and 50% Glycerol.
浓度1 mg/mL
研究背景Pigment epithelium derived factor, originally identified in conditioned medium of cultured human fetal retinal pigment epithelial (RPE) cells, is a neurotrophic protein that induces extensive neuronal differentiation in human Y79 retinoblastoma cells, a neoplastic counterpart of normal retinoblasts. It has been suggested that PEDF is synthesized by RPE cells and secreted into the retina interphotoreceptor matrix where it may influence development/differentiation of the neural retina. PEDF is a potent inhibitor of angiogenesis. As it does not undergo the S (stressed) to R (relaxed) conformational transition characteristic of active serpins, it exhibits no serine protease inhibitory activity. The PEDF gene is a member of the serpin gene family. Serpins are a group of serine protease inhibitors, some of which have also been reported to exhibit neurotrophic activity.
抗原信息
免疫原
KLH conjugated synthetic peptide: human PEDF
抗原种属
Human
基因名称
SERPINF1
基因ID
蛋白名称
Pigment epithelium-derived factor
Uniprot ID
功能
Neurotrophic protein; induces extensive neuronal differentiation in retinoblastoma cells. Potent inhibitor of angiogenesis. As it does not undergo the S (stressed) to R (relaxed) conformational transition characteristic of active serpins, it exhibits no serine protease inhibitory activity.
化学信息
分子量Theoretical: 46 kDa. Actual: 46 kDa.
储存&溶解度
储存方式Store at -20°C or -80°C for 12 months. Avoid repeated freeze-thaw cycles.
运输方式Shipping with blue ice.

计算器

  • 稀释 计算器
  • 配液 计算器
Related Tags: buy Anti-PEDF Polyclonal Antibody | purchase Anti-PEDF Polyclonal Antibody | Anti-PEDF Polyclonal Antibody cost | order Anti-PEDF Polyclonal Antibody | Anti-PEDF Polyclonal Antibody molecular weight