购物车
  • 全部删除
  • TargetMol
    您的购物车当前为空

Anti-PDIA3 Antibody (8V206)

一键复制产品信息
Rating icon 还可以
产品编号 TMAC-01376
别名 Protein disulfide-isomerase A3, PDIA3 protein, ER protein 57, Disulfide isomerase ER-60, 58 kDa glucose-regulated protein

Anti-PDIA3 Antibody (8V206) 是一种 Rabbit 抗体,靶向 PDIA3。Anti-PDIA3 Antibody (8V206) 可用于 IHC,IP,WB。

Anti-PDIA3 Antibody (8V206)

Anti-PDIA3 Antibody (8V206)

一键复制产品信息
Rating icon 还可以
产品编号 TMAC-01376 别名 Protein disulfide-isomerase A3, PDIA3 protein, ER protein 57, Disulfide isomerase ER-60, 58 kDa glucose-regulated protein

Anti-PDIA3 Antibody (8V206) 是一种 Rabbit 抗体,靶向 PDIA3。Anti-PDIA3 Antibody (8V206) 可用于 IHC,IP,WB。

规格价格库存数量
50 μL
¥ 1,495
5日内发货
100 μL
¥ 2,485
5日内发货
大包装 & 定制
加入购物车
TargetMol 的所有产品仅用作科学研究或药证申报,不能被用于人体,我们不向个人提供产品和服务。请您遵守承诺用途,不得违反法律法规规定用于任何其他用途。
实验操作小课堂
常见问题解答
查看更多
联系我们获取更多批次信息
资源下载

产品介绍

生物活性
产品描述
Anti-PDIA3 Antibody (8V206) is a Rabbit antibody targeting PDIA3. Anti-PDIA3 Antibody (8V206) can be used in IHC,IP,WB.
别名Protein disulfide-isomerase A3, PDIA3 protein, ER protein 57, Disulfide isomerase ER-60, 58 kDa glucose-regulated protein
Ig Type
IgG
克隆号
8V206
交叉反应
Human
验证活性
1. Western blot analysis of ERp57 on different cells lysates using anti-ERp57 antibody at 1/500 dilution. Positive control: Line 1: Hela, Line 2: HepG2, Line 3:293T.
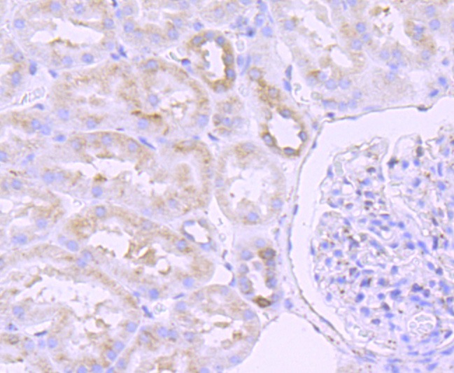
2. Immunohistochemical analysis of paraffin-embedded human kidney tissue using anti-ERp57 antibody. Counter stained with hematoxylin.
3. Immunohistochemical analysis of paraffin-embedded human pancreas tissue using anti-ERp57 antibody. Counter stained with hematoxylin.
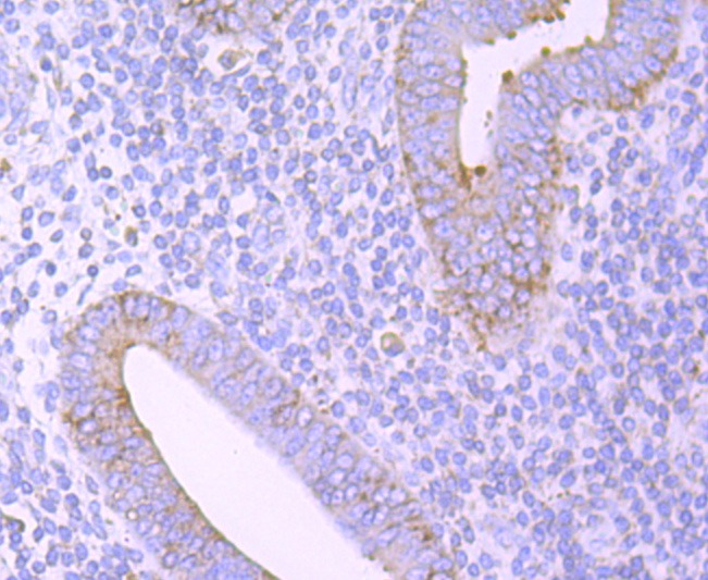
4. Immunohistochemical analysis of paraffin-embedded human uterus tissue using anti-ERp57 antibody. Counter stained with hematoxylin.
verifiedActivityverifiedActivityverifiedActivityverifiedActivity
应用IHCIPWB
推荐剂量
WB: 1:500-1000; IHC: 1:50-200; IP: 1:10-50
抗体种类
Monoclonal
宿主来源Rabbit
构建方式Recombinant Antibody
纯化方式ProA affinity purified
性状Liquid
缓冲液1*TBS (pH7.4), 1%BSA, 40%Glycerol. Preservative: 0.05% Sodium Azide.
研究背景Mammals defend themselves against intracellular pathogens through presentation of cytoplasmically-derived short pathogenic peptides to the cell surface of cytotoxic T lymphocytes, which subsequently leads to cytotoxic events with respect to the affected cell. Antigen presentation is mediated by major histocompatibility complex (MHC) class I molecules, which bind and coordinate short pathogenic peptides. MHC class I molecules assemble in the endoplasmic reticulum with chaperones before binding to the transporter associated with antigen processing (TAP). ERp57, also designated GRP57, GRP58, ERp60 and ERp61, is a component of the MHC class I pathway that appears to interact with MHC class I molecules before they associate with TAP. The human ERp57 gene maps to chromosome 15q15 and encodes a 505 amino acid protein. ERp57 has two Trp-Cys-Gly-His-Cys-Lys motifs completely conserved among the mammals. ERp57 may act as a protease, a protein disulfide isomerase, a phospholipase or a combination of these.
偶联与修饰
偶联
Unconjugated
抗原信息
免疫原
Recombinant Protein
Uniprot ID
化学信息
分子量Theoretical: 55 kDa.
存储&运输
储存方式Store at -20°C or -80°C for 12 months. Avoid repeated freeze-thaw cycles.
运输方式Shipping with blue ice.

计算器

  • 稀释 计算器

评论列表

4个月前
5.0
Rating icon 很棒

评论内容

Related Tags: buy Anti-PDIA3 Antibody (8V206) | purchase Anti-PDIA3 Antibody (8V206) | Anti-PDIA3 Antibody (8V206) cost | order Anti-PDIA3 Antibody (8V206) | Anti-PDIA3 Antibody (8V206) molecular weight