购物车
  • 全部删除
  • TargetMol
    您的购物车当前为空

Anti-PCK2 Antibody (4S45)

Rating icon 还可以
产品编号 TMAC-03097
别名 phosphoenolpyruvate carboxykinase 2 (mitochondrial), PEPCK-M, PEPCK2, PEPCK

Anti-PCK2 Antibody (4S45) 是一种 Rabbit 抗体,靶向 PCK2。Anti-PCK2 Antibody (4S45) 可用于 FCM,ICC,IF,IHC,WB。

Anti-PCK2 Antibody (4S45)

Anti-PCK2 Antibody (4S45)

一键复制产品信息
Rating icon 还可以
产品编号 TMAC-03097 别名 phosphoenolpyruvate carboxykinase 2 (mitochondrial), PEPCK-M, PEPCK2, PEPCK

Anti-PCK2 Antibody (4S45) 是一种 Rabbit 抗体,靶向 PCK2。Anti-PCK2 Antibody (4S45) 可用于 FCM,ICC,IF,IHC,WB。

规格价格库存数量
50 μL
¥ 1,480
5日内发货
100 μL
¥ 2,495
5日内发货
大包装 & 定制
加入购物车
TargetMol 的所有产品仅用作科学研究或药证申报,不能被用于人体,我们不向个人提供产品和服务。请您遵守承诺用途,不得违反法律法规规定用于任何其他用途。
实验操作小课堂
常见问题解答
查看更多
联系我们获取更多批次信息
资源下载

产品介绍

生物活性
产品描述
Anti-PCK2 Antibody (4S45) is a Rabbit antibody targeting PCK2. Anti-PCK2 Antibody (4S45) can be used in FCM,ICC,IF,IHC,WB.
别名phosphoenolpyruvate carboxykinase 2 (mitochondrial), PEPCK-M, PEPCK2, PEPCK
Ig Type
IgG
克隆号
4S45
交叉反应
Human,Mouse,Rat
验证活性
1. Western blot analysis of PCK2 on human kidney tissue (1) and MCF-7 cell (2) lysate using anti-PCK2 antibody at 1/500 dilution.
2. Immunohistochemical analysis of paraffin-embedded mouse colon tissue using anti-PCK2 antibody. Counter stained with hematoxylin.
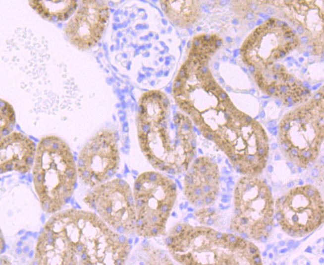
3. Immunohistochemical analysis of paraffin-embedded human kidney tissue using anti-PCK2 antibody. Counter stained with hematoxylin.
4. Immunohistochemical analysis of paraffin-embedded human liver tissue using anti-PCK2 antibody. Counter stained with hematoxylin.
5. Immunohistochemical analysis of paraffin-embedded rat kidney tissue using anti-PCK2 antibody. Counter stained with hematoxylin.
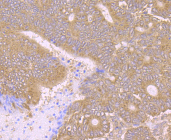
6. Immunohistochemical analysis of paraffin-embedded human colon cancer tissue using anti-PCK2 antibody. Counter stained with hematoxylin.
7. ICC staining PCK2 in HepG2 cells (green). The nuclear counter stain is DAPI (blue). Cells were fixed in paraformaldehyde, permeabilised with 0.25% Triton X100/PBS.
8. ICC staining PCK2 in MCF-7 cells (green). The nuclear counter stain is DAPI (blue). Cells were fixed in paraformaldehyde, permeabilised with 0.25% Triton X100/PBS.
9. Flow cytometric analysis of MCF-7 cells with PCK2 antibody at 1/100 dilution (red) compared with an unlabelled control (cells without incubation with primary antibody; black). Alexa Fluor 488-conjugated goat anti rabbit IgG was used as the secondary antibody.
verifiedActivityverifiedActivityverifiedActivityverifiedActivityverifiedActivityverifiedActivityverifiedActivityverifiedActivityverifiedActivity
应用FCMICCIFIHCWB
推荐剂量
WB: 1:500-1000; IHC: 1:50-200; ICC: 1:50-100; FCM: 1:50-100
抗体种类
Monoclonal
宿主来源Rabbit
构建方式Recombinant Antibody
纯化方式ProA affinity purified
性状Liquid
缓冲液1*TBS (pH7.4), 1%BSA, 40%Glycerol. Preservative: 0.05% Sodium Azide.
研究背景Normal adjustment to changes in blood glucose levels depends on Insulin signaling as well as enzymes involved in the regulation of gluconeogenesis. Pathological changes to this process are central to the type 2 diabetes phenotype. Phosphoenolpyruvate carboxykinase (PEPCK) plays an important role in this process by stimulating hepatic glucose production. PEPCK expression increases in response to glucagon and glucocorticoids, while Insulin suppresses expression. Modulation of the signals governing PEPCK levels present a potential therapeutic approach to the treatment of Insulin resistance and consequently obesity. The cytosolic form of PEPCK, known as PEPCK-C, and the mitochondrial form, known as PEPCK-M, are encoded by two different nuclear genes in mouse, human and chicken.
偶联与修饰
偶联
Unconjugated
抗原信息
免疫原
Recombinant Protein
Uniprot ID
化学信息
分子量Theoretical: 71 kDa.
存储&运输
储存方式Store at -20°C or -80°C for 12 months. Avoid repeated freeze-thaw cycles.
运输方式Shipping with blue ice.

计算器

  • 稀释 计算器

关键词

评论列表

4个月前
5.0
Rating icon 很棒

评论内容

Related Tags: buy Anti-PCK2 Antibody (4S45) | purchase Anti-PCK2 Antibody (4S45) | Anti-PCK2 Antibody (4S45) cost | order Anti-PCK2 Antibody (4S45) | Anti-PCK2 Antibody (4S45) molecular weight