购物车
  • TargetMol
    您的购物车当前为空

Anti-p73 Antibody (2O496)

Synonyms: Tumor protein p73, TP73, P73_HUMAN, p53-related protein, p53-like transcription factor, p53 related protein, p53 like transcription factor, p 73
货号 TMAC-03036 一键复制产品信息
Rating icon 还可以

Anti-p73 Antibody (2O496) 是一种 Rabbit 抗体,靶向 p73。Anti-p73 Antibody (2O496) 可用于 ICC/IF,IHC,WB。

Anti-p73 Antibody (2O496)

一键复制产品信息
Rating icon 还可以
货号 TMAC-03036

别名 Tumor protein p73, TP73, P73_HUMAN, p53-related protein, p53-like transcription factor, p53 related protein, p53 like transcription factor, p 73

Anti-p73 Antibody (2O496) 是一种 Rabbit 抗体,靶向 p73。Anti-p73 Antibody (2O496) 可用于 ICC/IF,IHC,WB。

Anti-p73 Antibody (2O496)
规格价格库存数量
50 μL
¥ 1,485
5日内发货
100 μL
¥ 2,495
5日内发货
库存状态实时更新,以官网显示为准,现货产品可直接加购物车下单
大包装 & 定制
加入购物车

TargetMol的所有产品仅用作科学研究或药证申报,不能被用于人体,我们不向个人提供产品和服务。请您遵守承诺用途,不得违反法律法规规定用于任何其他用途。

实验操作小课堂
常见问题解答
查看更多

资源下载:产品操作手册

产品介绍


生物活性
产品描述
Anti-p73 Antibody (2O496) is a Rabbit antibody targeting p73. Anti-p73 Antibody (2O496) can be used in ICC/IF,IHC,WB.
别名
Tumor protein p73, TP73, P73_HUMAN, p53-related protein, p53-like transcription factor, p53 related protein, p53 like transcription factor, p 73
Ig Type
IgG
克隆号
2O496
反应种属
Human,Mouse,Rat
验证活性
1. Western blot analysis of p73 on Hela cell lysates using anti-p73 antibody at 1/1,000 dilution.
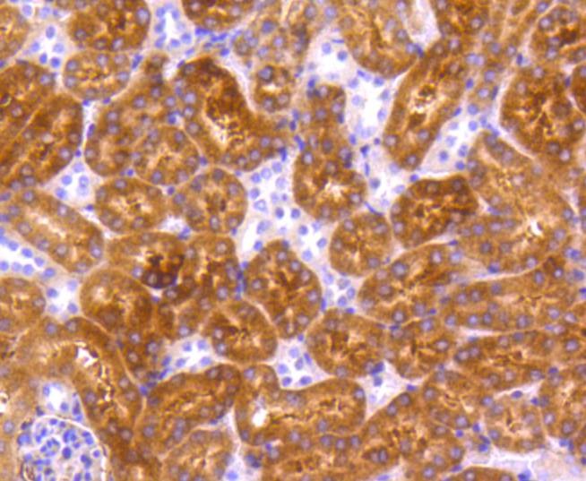
2. Immunohistochemical analysis of paraffin-embedded human kidney tissue using anti-p73 antibody. Counter stained with hematoxylin.
3. Immunohistochemical analysis of paraffin-embedded mouse skin tissue using anti-p73 antibody. Counter stained with hematoxylin.
4. Immunohistochemical analysis of paraffin-embedded mouse kidney tissue using anti-p73 antibody. Counter stained with hematoxylin.
5. ICC staining p73 in MCF-7 cells (green). The nuclear counter stain is DAPI (blue). Cells were fixed in paraformaldehyde, permeabilised with 0.25% Triton X100/PBS.
verifiedActivityverifiedActivityverifiedActivityverifiedActivityverifiedActivity
应用ICC/IFIHCWB
推荐剂量
WB: 1:1000; IHC: 1:50-200; ICC/IF: 1:50-200
抗体种类
Monoclonal
宿主来源Rabbit
构建方式Recombinant Antibody
纯化方式ProA affinity purified
性状Liquid
缓冲液1*TBS (pH7.4), 1%BSA, 40%Glycerol. Preservative: 0.05% Sodium Azide.
研究背景The p53 gene is a widely studied oncogene, or tumor suppressor gene. The p53 gene product can act as a negative regulator of cell growth in response to DNA damage. Mutations and allelic loss of the p53 gene have been associated with malignant transformation in a wide variety of human tumors. p53 shares considerable sequence similarity with p73, a gene that maps to a region in chromosome 1 that is frequently deleted in neuroblastomas. However, p73 does not appear to be activated by DNA damaging agents. The p73 isoform p73α inhibits drug-induced apoptosis in small cell lung carcinoma cells, while the p73 isoform p73β promotes it. p73α also prevents Bax activation, mitochondrial dysfunction, caspase activation and is able to reduce apoptosis induced by the BH3-only protein PUMA (p53 upregulated modulator of apoptosis). There is an equilibrium between p73α and p73β, demonstrated by the fact that p73α inhibits the pro-apoptotic effect of p73β.
偶联与修饰
偶联
Unconjugated
抗原信息
免疫原
Recombinant Protein
Uniprot ID
化学信息
分子量Theoretical: 70/60(12 isoforms) kDa.
储存&溶解度
储存方式Store at -20°C or -80°C for 12 months. Avoid repeated freeze-thaw cycles.
运输方式Shipping with blue ice.

计算器

  • 稀释 计算器
  • 配液 计算器
Related Tags: buy Anti-p73 Antibody (2O496) | purchase Anti-p73 Antibody (2O496) | Anti-p73 Antibody (2O496) cost | order Anti-p73 Antibody (2O496) | Anti-p73 Antibody (2O496) molecular weight