• TargetMol
    您的购物车当前为空

Anti-p53BP1 Polyclonal Antibody

一键复制产品信息
Rating icon 还可以
货号 TMAB-01322

别名 Tumor suppressor p53 binding protein 1, Tumor protein p53 binding protein 1, tumor protein 53-binding protein, 1, Tumor protein 53 binding protein 1, TP53BP1, TP53B, TP53 BP1, p53 BP1, p53 binding protein 1, p202, MGC138366, FLJ41424, 53 BP1

Anti-p53BP1 Polyclonal Antibody 是一种 Rabbit 抗体,靶向 p53BP1。Anti-p53BP1 Polyclonal Antibody 可用于 ICC/IF,IF,IHC-Fr,IHC-P。

Anti-p53BP1 Polyclonal Antibody

Anti-p53BP1 Polyclonal Antibody

一键复制产品信息
Rating icon 还可以
货号 TMAB-01322 别名 Tumor suppressor p53 binding protein 1, Tumor protein p53 binding protein 1, tumor protein 53-binding protein, 1, Tumor protein 53 binding protein 1, TP53BP1, TP53B, TP53 BP1, p53 BP1, p53 binding protein 1, p202, MGC138366, FLJ41424, 53 BP1

Anti-p53BP1 Polyclonal Antibody 是一种 Rabbit 抗体,靶向 p53BP1。Anti-p53BP1 Polyclonal Antibody 可用于 ICC/IF,IF,IHC-Fr,IHC-P。

规格价格库存数量
50 μL
¥ 1,165
5日内发货
100 μL
¥ 1,965
5日内发货
200 μL
¥ 2,795
5日内发货
库存状态实时更新,以官网显示为准,现货产品可直接加购物车下单
大包装 & 定制
加入购物车
TargetMol的所有产品仅用作科学研究或药证申报,不能被用于人体,我们不向个人提供产品和服务。请您遵守承诺用途,不得违反法律法规规定用于任何其他用途。
实验操作小课堂
常见问题解答
查看更多
资源下载:

产品介绍


生物活性
产品描述
Anti-p53BP1 Polyclonal Antibody is a Rabbit antibody targeting p53BP1. Anti-p53BP1 Polyclonal Antibody can be used in ICC/IF,IF,IHC-Fr,IHC-P.
别名Tumor suppressor p53 binding protein 1, Tumor protein p53 binding protein 1, tumor protein 53-binding protein, 1, Tumor protein 53 binding protein 1, TP53BP1, TP53B, TP53 BP1, p53 BP1, p53 binding protein 1, p202, MGC138366, FLJ41424, 53 BP1
Ig Type
IgG
反应种属
Human,Rat (predicted:Mouse,Dog,Rabbit)
验证活性
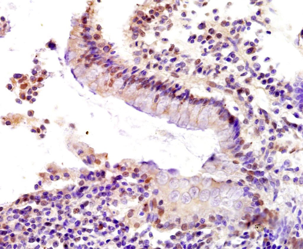
1. Tissue/cell: rat colon tissue; 4% Paraformaldehyde-fixed and paraffin-embedded;
Antigen retrieval: citrate buffer (0.01M, pH6.0), Boiling bathing for 15 min; Block endogenous peroxidase by 3% Hydrogen peroxide for 30 min; Blocking buffer (normal goat serum) at 37°C for 20 min;
Incubation: Anti-p53BP1 Polyclonal Antibody, Unconjugated (TMAB-01322) 1:200, overnight at 4°C, followed by conjugation to the secondary antibody and DAb staining.
2. 4% Paraformaldehyde-fixed Hela (H) cell; Triton X-100 at RT for 20 min; Antibody incubation with (p53BP1) polyclonal Antibody, unconjugated (TMAB-01322) 1:100, 90 min at 37°C; followed by conjugated Goat Anti-Rabbit IgG antibody (green ) at 37°C for 90 min, DAPI (blue) was used to stain the cell nucleus. PBS instead of the primary antibody was used as the blank control.
verifiedActivityverifiedActivity
应用ICC/IFIFIHC-FrIHC-P
推荐剂量
IHC-P: 1:100-500; IHC-Fr: 1:100-500; IF: 1:100-500; ICC/IF: 1:50-1:200
抗体种类
Polyclonal
宿主来源Rabbit
亚细胞定位Nucleus. Chromosome; centromere; kinetochore. Associated with kinetochores. Both nuclear and cytoplasmic in some cells. Recruited to sites of DNA damage, such as double stand breaks. Methylation of histone H4 at 'Lys-20' is required for efficient localization to double strand breaks.
构建方式Polyclonal Antibody
纯化方式Protein A purified
性状Liquid
缓冲液0.01M TBS (pH7.4) with 1% BSA, 0.02% Proclin300 and 50% Glycerol.
浓度1 mg/mL
研究背景p53 binding protein 1 (53BP1) plays a critical role in tumor suppression and is a putative substrate of ATM kinase. Upon DNA damage, it is phosphorylated and relocalizes to the presumptive sites of damage, p53 binding protein 1 (53BP1) plays a critical role in tumor suppression and is a putative substrate of ATM kinase. Upon DNA damage, it is phosphorylated and relocalizes to the presumptive sites of damage, specifically, double strand breaks. This also suggests a role in DNA repair, maintaining genomic stability.
抗原信息
免疫原
KLH conjugated synthetic peptide: human p53BP1/53BP1
抗原种属
Human
基因名称
TP53BP1
基因ID
蛋白名称
TP53-binding protein 1
Uniprot ID
功能
May have a role in checkpoint signaling during mitosis. Enhances TP53-mediated transcriptional activation. Plays a role in the response to DNA damage.
化学信息
分子量Theoretical: 213 kDa.
储存&溶解度
储存方式Store at -20°C or -80°C for 12 months. Avoid repeated freeze-thaw cycles.
运输方式Shipping with blue ice.
存储store at low temperature | store at -20°C

计算器

  • 稀释 计算器
Related Tags: buy Anti-p53BP1 Polyclonal Antibody | purchase Anti-p53BP1 Polyclonal Antibody | Anti-p53BP1 Polyclonal Antibody cost | order Anti-p53BP1 Polyclonal Antibody | Anti-p53BP1 Polyclonal Antibody molecular weight