• TargetMol
    您的购物车当前为空

Anti-P2Y6 Antibody (7J344)

一键复制产品信息
Rating icon 还可以
货号 TMAC-02951

别名 Pyrimidinergic receptor P2Y, G protein coupled, 6, pyrimidinergic receptor P2Y, Purinergic receptor P2Y6, PP2891, P2Y6 receptor, P2Y6, P2Y purinoceptor 6, P2RY6_HUMAN, P2ry6, P2 purinoceptor, MGC15335, G protein coupled 6, G coupled nucleotide receptor

Anti-P2Y6 Antibody (7J344) 是一种 Rabbit 抗体,靶向 P2Y6。Anti-P2Y6 Antibody (7J344) 可用于 ICC,IHC,IP,WB。

Anti-P2Y6 Antibody (7J344)

Anti-P2Y6 Antibody (7J344)

一键复制产品信息
Rating icon 还可以
货号 TMAC-02951 别名 Pyrimidinergic receptor P2Y, G protein coupled, 6, pyrimidinergic receptor P2Y, Purinergic receptor P2Y6, PP2891, P2Y6 receptor, P2Y6, P2Y purinoceptor 6, P2RY6_HUMAN, P2ry6, P2 purinoceptor, MGC15335, G protein coupled 6, G coupled nucleotide receptor

Anti-P2Y6 Antibody (7J344) 是一种 Rabbit 抗体,靶向 P2Y6。Anti-P2Y6 Antibody (7J344) 可用于 ICC,IHC,IP,WB。

规格价格库存数量
50 μL
¥ 1,490
5日内发货
100 μL
¥ 2,490
5日内发货
库存状态实时更新,以官网显示为准,现货产品可直接加购物车下单
大包装 & 定制
加入购物车
TargetMol的所有产品仅用作科学研究或药证申报,不能被用于人体,我们不向个人提供产品和服务。请您遵守承诺用途,不得违反法律法规规定用于任何其他用途。
实验操作小课堂
常见问题解答
查看更多
资源下载:

产品介绍


生物活性
产品描述
Anti-P2Y6 Antibody (7J344) is a Rabbit antibody targeting P2Y6. Anti-P2Y6 Antibody (7J344) can be used in ICC,IHC,IP,WB.
别名Pyrimidinergic receptor P2Y, G protein coupled, 6, pyrimidinergic receptor P2Y, Purinergic receptor P2Y6, PP2891, P2Y6 receptor, P2Y6, P2Y purinoceptor 6, P2RY6_HUMAN, P2ry6, P2 purinoceptor, MGC15335, G protein coupled 6, G coupled nucleotide receptor
Ig Type
IgG
克隆号
7J344
反应种属
Human
验证活性
1. Western blot analysis of P2Y6 on SK-Br-3 (1) and A549 (2) cell lysate using anti-P2Y6 antibody at 1/1,000 dilution.
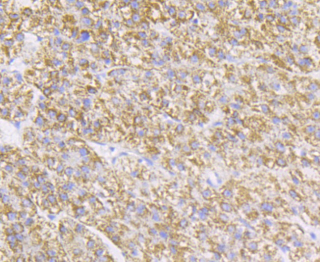
2. Immunohistochemical analysis of paraffin-embedded human liver tissue using anti-P2Y6 antibody. Counter stained with hematoxylin.
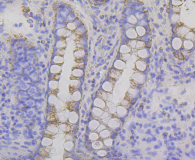
3. Immunohistochemical analysis of paraffin-embedded human colon tissue using anti-P2Y6 antibody. Counter stained with hematoxylin.
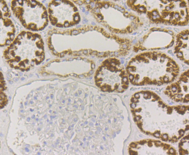
4. Immunohistochemical analysis of paraffin-embedded human kidney tissue using anti-P2Y6 antibody. Counter stained with hematoxylin.
verifiedActivityverifiedActivityverifiedActivityverifiedActivity
应用ICCIHCIPWB
推荐剂量
WB: 1:500-2000; IHC: 1:50-200; ICC: 1:50; IP: 1:10-50
抗体种类
Monoclonal
宿主来源Rabbit
构建方式Recombinant Antibody
纯化方式ProA affinity purified
性状Liquid
缓冲液1*TBS (pH7.4), 1%BSA, 40%Glycerol. Preservative: 0.05% Sodium Azide.
研究背景The product of this gene, P2Y6, belongs to the family of G-protein coupled receptors. This family has several receptor subtypes with different pharmacological selectivity, which overlaps in some cases, for various adenosine and uridine nucleotides. This receptor is responsive to UDP, partially responsive to UTP and ADP, and not responsive to ATP. Four transcript variants encoding the same isoform have been identified for this gene.
偶联与修饰
偶联
Unconjugated
抗原信息
免疫原
A synthesized peptide: N-terminal human P2Y6
抗原种属
human
Uniprot ID
化学信息
分子量Theoretical: 36 kDa.
储存&溶解度
储存方式Store at -20°C or -80°C for 12 months. Avoid repeated freeze-thaw cycles.
运输方式Shipping with blue ice.
存储store at low temperature | -20°C for 1 year

计算器

  • 稀释 计算器
Related Tags: buy Anti-P2Y6 Antibody (7J344) | purchase Anti-P2Y6 Antibody (7J344) | Anti-P2Y6 Antibody (7J344) cost | order Anti-P2Y6 Antibody (7J344) | Anti-P2Y6 Antibody (7J344) molecular weight