购物车
  • TargetMol
    您的购物车当前为空

Anti-OTUD1 Polyclonal Antibody

Synonyms: OTU domain-containing protein 1, OTU domain containing 1, OTDC1, DUBA-7, DUBA7
货号 TMAB-01302 一键复制产品信息
Rating icon 还可以

Anti-OTUD1 Polyclonal Antibody 是一种 Rabbit 抗体,靶向 OTUD1。Anti-OTUD1 Polyclonal Antibody 可用于 IF,IHC-Fr,IHC-P,WB。

Anti-OTUD1 Polyclonal Antibody

一键复制产品信息
Rating icon 还可以
货号 TMAB-01302

别名 OTU domain-containing protein 1, OTU domain containing 1, OTDC1, DUBA-7, DUBA7

Anti-OTUD1 Polyclonal Antibody 是一种 Rabbit 抗体,靶向 OTUD1。Anti-OTUD1 Polyclonal Antibody 可用于 IF,IHC-Fr,IHC-P,WB。

Anti-OTUD1 Polyclonal Antibody
规格价格库存数量
50 μL
¥ 1,175
5日内发货
100 μL
¥ 1,965
5日内发货
200 μL
¥ 2,785
5日内发货
库存状态实时更新,以官网显示为准,现货产品可直接加购物车下单
大包装 & 定制
加入购物车

TargetMol的所有产品仅用作科学研究或药证申报,不能被用于人体,我们不向个人提供产品和服务。请您遵守承诺用途,不得违反法律法规规定用于任何其他用途。

实验操作小课堂
常见问题解答
查看更多

资源下载:产品操作手册

产品介绍


生物活性
产品描述
Anti-OTUD1 Polyclonal Antibody is a Rabbit antibody targeting OTUD1. Anti-OTUD1 Polyclonal Antibody can be used in IF,IHC-Fr,IHC-P,WB.
别名
OTU domain-containing protein 1, OTU domain containing 1, OTDC1, DUBA-7, DUBA7
Ig Type
IgG
反应种属
Human,Mouse,Rat (predicted:Cow)
验证活性
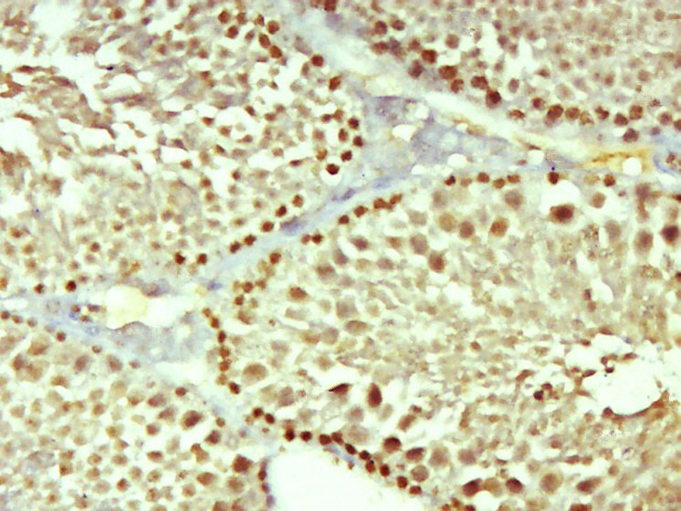
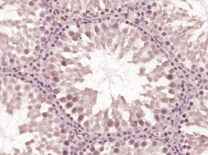
1. Paraformaldehyde-fixed, paraffin embedded (Mouse testis); Antigen retrieval by boiling in sodium citrate buffer (pH6.0) for 15 min; Block endogenous peroxidase by 3% hydrogen peroxide for 20 min; Blocking buffer (normal goat serum) at 37°C for 30 min; Antibody incubation with (OTUD1) Polyclonal Antibody, Unconjugated (TMAB-01302) at 1:500 overnight at 4°C, followed by a conjugated secondary for 20 min and DAB staining.
2. Paraformaldehyde-fixed, paraffin embedded (rat testis tissue); Antigen retrieval by boiling in sodium citrate buffer (pH6.0) for 15 min; Block endogenous peroxidase by 3% hydrogen peroxide for 20 min; Blocking buffer (normal goat serum) at 37°C for 30 min; Antibody incubation with (OTUD1) Polyclonal Antibody, Unconjugated (TMAB-01302) at 1:400 overnight at 4°C, followed by operating according to SP Kit (Rabbit) instructionsand DAB staining.
3. Paraformaldehyde-fixed, paraffin embedded (Rat brain); Antigen retrieval by boiling in sodium citrate buffer (pH6.0) for 15 min; Block endogenous peroxidase by 3% hydrogen peroxide for 20 min; Blocking buffer (normal goat serum) at 37°C for 30 min; Antibody incubation with (OTUD1) Polyclonal Antibody, Unconjugated (TMAB-01302) at 1:400 overnight at 4°C, followed by operating according to SP Kit (Rabbit) instructionsand DAB staining.
4. Sample:
Lane 1: Human HeLa cell lysates
Lane 2: Human A431 cell lysates
Primary: Anti-OTUD1 (TMAB-01302) at 1/1000 dilution
Secondary: IRDye800CW Goat Anti-Rabbit IgG at 1/20000 dilution
Predicted band size: 51 kDa
Observed band size: 60 kDa
verifiedActivityverifiedActivityverifiedActivityverifiedActivity
应用IFIHC-FrIHC-PWB
推荐剂量
WB: 1:500-2000; IHC-P: 1:100-500; IHC-Fr: 1:100-500; IF: 1:100-500
抗体种类
Polyclonal
宿主来源Rabbit
构建方式Polyclonal Antibody
纯化方式Protein A purified
性状Liquid
缓冲液0.01M TBS (pH7.4) with 1% BSA, 0.02% Proclin300 and 50% Glycerol.
浓度1 mg/mL
研究背景Deubiquitinating enzymes (DUBs; see MIM 603478) are proteases that specifically cleave ubiquitin (MIM 191339) linkages, negating the action of ubiquitin ligases. DUBA7 belongs to a DUB subfamily characterized by an ovarian tumor (OTU) domain.[supplied by OMIM, May 2008]
抗原信息
免疫原
KLH conjugated synthetic peptide: human OTUD1
抗原种属
Human
基因名称
OTUD1
基因ID
蛋白名称
OTU domain-containing protein 1
Uniprot ID
研究领域
Deubiquitination,Deubiquitination
化学信息
分子量Theoretical: 51 kDa. Actual: 60 kDa.
储存&溶解度
储存方式Store at -20°C or -80°C for 12 months. Avoid repeated freeze-thaw cycles.
运输方式Shipping with blue ice.

计算器

  • 稀释 计算器
  • 配液 计算器
Related Tags: buy Anti-OTUD1 Polyclonal Antibody | purchase Anti-OTUD1 Polyclonal Antibody | Anti-OTUD1 Polyclonal Antibody cost | order Anti-OTUD1 Polyclonal Antibody | Anti-OTUD1 Polyclonal Antibody molecular weight