购物车
  • TargetMol
    您的购物车当前为空

Anti-Osteoprotegerin Polyclonal Antibody 2

Synonyms: tumor necrosis factor receptor superfamily member 11b, TR1, PDB5, OPG, OCIF, MGC29565
货号 TMAB-01301 一键复制产品信息
Rating icon 还可以

Anti-Osteoprotegerin Polyclonal Antibody 2 是一种 Rabbit 抗体,靶向 Osteoprotegerin。Anti-Osteoprotegerin Polyclonal Antibody 2 可用于 IF,IHC-Fr,IHC-P,WB。

Anti-Osteoprotegerin Polyclonal Antibody 2

一键复制产品信息
Rating icon 还可以
货号 TMAB-01301

别名 tumor necrosis factor receptor superfamily member 11b, TR1, PDB5, OPG, OCIF, MGC29565

Anti-Osteoprotegerin Polyclonal Antibody 2 是一种 Rabbit 抗体,靶向 Osteoprotegerin。Anti-Osteoprotegerin Polyclonal Antibody 2 可用于 IF,IHC-Fr,IHC-P,WB。

Anti-Osteoprotegerin Polyclonal Antibody 2
规格价格库存数量
50 μL
¥ 1,165
5日内发货
100 μL
¥ 1,965
5日内发货
200 μL
¥ 2,790
5日内发货
库存状态实时更新,以官网显示为准,现货产品可直接加购物车下单
大包装 & 定制
加入购物车

TargetMol的所有产品仅用作科学研究或药证申报,不能被用于人体,我们不向个人提供产品和服务。请您遵守承诺用途,不得违反法律法规规定用于任何其他用途。

实验操作小课堂
常见问题解答
查看更多

资源下载:产品操作手册

产品介绍


生物活性
产品描述
Anti-Osteoprotegerin Polyclonal Antibody 2 is a Rabbit antibody targeting Osteoprotegerin. Anti-Osteoprotegerin Polyclonal Antibody 2 can be used in IF,IHC-Fr,IHC-P,WB.
别名
tumor necrosis factor receptor superfamily member 11b, TR1, PDB5, OPG, OCIF, MGC29565
Ig Type
IgG
反应种属
Human,Mouse,Rat (predicted:Dog,Rabbit)
验证活性
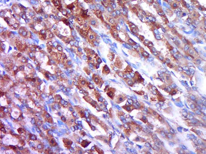
1. Paraformaldehyde-fixed, paraffin embedded (Rat stomach); Antigen retrieval by boiling in sodium citrate buffer (pH6.0) for 15 min; Block endogenous peroxidase by 3% hydrogen peroxide for 20 min; Blocking buffer (normal goat serum) at 37°C for 30 min; Antibody incubation with (OPG) Polyclonal Antibody, Unconjugated (TMAB-01301) at 1:400 overnight at 4°C, followed by operating according to SP Kit (Rabbit) instructionsand DAB staining.
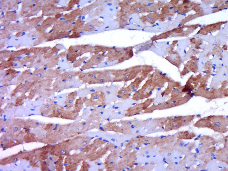
2. Paraformaldehyde-fixed, paraffin embedded (Rat heart); Antigen retrieval by boiling in sodium citrate buffer (pH6.0) for 15 min; Block endogenous peroxidase by 3% hydrogen peroxide for 20 min; Blocking buffer (normal goat serum) at 37°C for 30 min; Antibody incubation with (OPG) Polyclonal Antibody, Unconjugated (TMAB-01301) at 1:400 overnight at 4°C, followed by operating according to SP Kit (Rabbit) instructionsand DAB staining.
3. Sample:
Lane 1: Raji (Human) Cell Lysate at 30 μg
Lane 2: U2os (Human) Cell Lysate at 30 μg
Lane 3: Heart (Mouse) Lysate at 40 μg
Lane 4: Heart (Rat) Lysate at 40 μg
Lane 5: Liver (Mouse) Lysate at 40 μg
Lane 6: Liver (Rat) Lysate at 40 μg
Lane 7: Kidney (Mouse) Lysate at 40 μg
Lane 8: Kidney (Rat) Lysate at 40 μg
Primary: Anti-OPG (TMAB-01301) at 1/1000 dilution
Secondary: IRDye800CW Goat Anti-Rabbit IgG at 1/20000 dilution
Predicted band size: 55 kDa
Observed band size: 55 kDa
verifiedActivityverifiedActivityverifiedActivity
应用IFIHC-FrIHC-PWB
推荐剂量
WB: 1:500-2000; IHC-P: 1:100-500; IHC-Fr: 1:100-500; IF: 1:100-500
抗体种类
Polyclonal
宿主来源Rabbit
亚细胞定位Secreted.
组织特异性Highly expressed in adult lung, heart, kidney, liver, spleen, thymus, prostate, ovary, small intestine, thyroid, lymph node, trachea, adrenal gland, testis, and bone marrow. Detected at very low levels in brain, placenta and skeletal muscle. Highly expres
构建方式Polyclonal Antibody
纯化方式Protein A purified
性状Liquid
缓冲液0.01M TBS (pH7.4) with 1% BSA, 0.02% Proclin300 and 50% Glycerol.
浓度1 mg/mL
研究背景Osteoprotegerin (OPG, or osteoclastogenesis inhibitory factor) is a secretory glycoprotein belonging to TNF receptor superfamily. Acts as decoy receptor for RANKL and thereby neutralizes its function in osteoclastogenesis. Inhibits the activation of osteoclasts and promotes osteoclast apoptosis. Bone homeostasis seems to depend on the local RANKL/OPG ratio. May also play a role in preventing arterial calcification. May act as decoy receptor for TRAIL and protect against apoptosis. TRAIL binding blocks the inhibition of osteoclastogenesis. OPG acts as a soluble factor in the regulation of bone mass and may be beneficial in the treatment of osteoporosis with increased osteoclast activity. OPG consists of 401 amino acids with a molecular weight of 44 kDa as a monomer and 90 kDa as a disulphide-linked dimer.
抗原信息
免疫原
KLH conjugated synthetic peptide: human OPG
抗原种属
Human
基因名称
TNFRSF11B
基因ID
蛋白名称
Tumor necrosis factor receptor superfamily member 11B
Uniprot ID
研究领域
Inflammatory mediators,Blood,Bone,TNF Superfamily,Obesity,Bone,TNF
功能
Acts as decoy receptor for RANKL and thereby neutralizes its function in osteoclastogenesis. Inhibits the activation of osteoclasts and promotes osteoclast apoptosis in vitro. Bone homeostasis seems to depend on the local RANKL/OPG ratio. May also play a role in preventing arterial calcification. May act as decoy receptor for TRAIL and protect against apoptosis. TRAIL binding blocks the inhibition of osteoclastogenesis.
化学信息
分子量Theoretical: 44 kDa. Actual: 55 kDa.
储存&溶解度
储存方式Store at -20°C or -80°C for 12 months. Avoid repeated freeze-thaw cycles.
运输方式Shipping with blue ice.

计算器

  • 稀释 计算器
  • 配液 计算器
Related Tags: buy Anti-Osteoprotegerin Polyclonal Antibody 2 | purchase Anti-Osteoprotegerin Polyclonal Antibody 2 | Anti-Osteoprotegerin Polyclonal Antibody 2 cost | order Anti-Osteoprotegerin Polyclonal Antibody 2 | Anti-Osteoprotegerin Polyclonal Antibody 2 molecular weight