购物车
  • TargetMol
    您的购物车当前为空

Anti-Osteocalcin Polyclonal Antibody 2

Synonyms: Osteocalcin, Gamma-carboxyglutamic acid-containing protein, Bone Gla protein (BGP), BGLAP
货号 TMAB-01296 一键复制产品信息
Rating icon 还可以

Anti-Osteocalcin Polyclonal Antibody 2 是一种 Rabbit 抗体,靶向 Osteocalcin。Anti-Osteocalcin Polyclonal Antibody 2 可用于 ELISA, IF, IHC-Fr, IHC-P, WB。

Anti-Osteocalcin Polyclonal Antibody 2

一键复制产品信息
Rating icon 还可以
货号 TMAB-01296

别名 Osteocalcin, Gamma-carboxyglutamic acid-containing protein, Bone Gla protein (BGP), BGLAP

Anti-Osteocalcin Polyclonal Antibody 2 是一种 Rabbit 抗体,靶向 Osteocalcin。Anti-Osteocalcin Polyclonal Antibody 2 可用于 ELISA, IF, IHC-Fr, IHC-P, WB。

Anti-Osteocalcin Polyclonal Antibody 2
规格价格库存数量
50 μL
¥ 1,170
5日内发货
100 μL
¥ 1,970
5日内发货
库存状态实时更新,以官网显示为准,现货产品可直接加购物车下单
大包装 & 定制
加入购物车

TargetMol的所有产品仅用作科学研究或药证申报,不能被用于人体,我们不向个人提供产品和服务。请您遵守承诺用途,不得违反法律法规规定用于任何其他用途。

实验操作小课堂
常见问题解答
查看更多

选择批次:
颜色: 无色透明
性状: Liquid
资源下载: COA产品操作手册

产品介绍


生物活性
产品描述
Anti-Osteocalcin Polyclonal Antibody 2 is a Rabbit antibody targeting Osteocalcin. Anti-Osteocalcin Polyclonal Antibody 2 can be used in ELISA, IF, IHC-Fr, IHC-P, WB.
别名
Osteocalcin, Gamma-carboxyglutamic acid-containing protein, Bone Gla protein (BGP), BGLAP
Ig Type
IgG
反应种属
Human,Mouse,Rat
验证活性
1. Sample:
Lane 1: Mouse NIH/3T3 cell lysates
Lane 2: Human MG63 cell lysates
Lane 3: Human A549 cell lysates
Lane 4: Human U-2 OS cell lysates
Primary: Anti-Osteocalcin (TMAB-01296) at 1/500 dilution
Secondary: IRDye800CW Goat Anti-Rabbit IgG at 1/20000 dilution
Predicted band size: 11 kDa
Observed band size: 11 kDa
2. Paraformaldehyde-fixed, paraffin embedded (human skeletal muscle); Antigen retrieval by boiling in sodium citrate buffer (pH6.0) for 15 min; Blocking buffer (normal goat serum) at 37°C for 30 min; Incubation with (Osteocalcin) Polyclonal Antibody, Unconjugated (TMAB-01296) at 1:100 overnight at 4°C, followed by a conjugated Goat Anti-Rabbit IgG antibody for 90 minutes, and DAPI for nucleus staining.
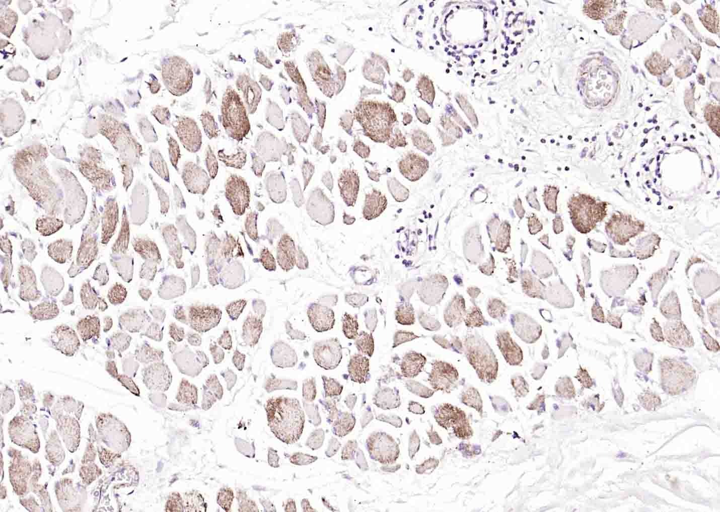
3. Paraformaldehyde-fixed, paraffin embedded (human skeletal muscle); Antigen retrieval by boiling in sodium citrate buffer (pH6.0) for 15 min; Block endogenous peroxidase by 3% hydrogen peroxide for 20 min; Blocking buffer (normal goat serum) at 37°C for 30 min; Incubation with (Osteocalcin) Polyclonal Antibody, Unconjugated (TMAB-01296) at 1:100 overnight at 4°C, followed by operating according to SP Kit (Rabbit) instructionsand DAB staining.
verifiedActivityverifiedActivityverifiedActivity
应用ELISAIFIHC-FrIHC-PWB
推荐剂量
WB: 1:500-2000; IHC-P: 1:100-500; IHC-Fr: 1:100-500; IF: 1:100-500; ELISA: 1:5000-10000
抗体种类
Polyclonal
宿主来源Rabbit
亚细胞定位Secreted.
构建方式Polyclonal Antibody
纯化方式Protein A purified
性状Liquid
缓冲液0.01M TBS (pH7.4) with 1% BSA, 0.02% Proclin300 and 50% Glycerol.
浓度1 mg/mL
研究背景Osteocalcin belongs to the osteocalcin/matrix Gla protein family and constitutes 1 to 2% of the total bone protein. It is a 49 amino acid single chain vitamin K dependent protein, made by osteoblasts, and is a major component of the noncollagenous bone matrix. Post translational modification by a vitamin K dependent carboxylase produces three gamma carboxyglutamic acid residues at positions 17, 21 and 24, giving it a high affinity for calcium. It also binds strongly to apatite.
抗原信息
免疫原
KLH conjugated synthetic peptide: human Osteocalcin
抗原种属
Human
基因名称
BGLAP
基因ID
蛋白名称
Osteocalcin
Uniprot ID
研究领域
Bone,Osteogenesis
功能
Constitutes 1-2% of the total bone protein. It binds strongly to apatite and calcium.
化学信息
分子量Theoretical: 11 kDa. Actual: 11 kDa.
储存&溶解度
储存方式Store at -20°C or -80°C for 12 months. Avoid repeated freeze-thaw cycles.
运输方式Shipping with blue ice.

计算器

  • 稀释 计算器
  • 配液 计算器
Related Tags: buy Anti-Osteocalcin Polyclonal Antibody 2 | purchase Anti-Osteocalcin Polyclonal Antibody 2 | Anti-Osteocalcin Polyclonal Antibody 2 cost | order Anti-Osteocalcin Polyclonal Antibody 2 | Anti-Osteocalcin Polyclonal Antibody 2 molecular weight