购物车
  • TargetMol
    您的购物车当前为空

Anti-ODC1 Polyclonal Antibody

Synonyms: Ornithine decarboxylase, ODC1
货号 TMAB-01282 一键复制产品信息
Rating icon 还可以

Anti-ODC1 Polyclonal Antibody 是一种 Rabbit 抗体,靶向 ODC1。Anti-ODC1 Polyclonal Antibody 可用于 IF,IHC-Fr,IHC-P,WB。

Anti-ODC1 Polyclonal Antibody

一键复制产品信息
Rating icon 还可以
货号 TMAB-01282

别名 Ornithine decarboxylase, ODC1

Anti-ODC1 Polyclonal Antibody 是一种 Rabbit 抗体,靶向 ODC1。Anti-ODC1 Polyclonal Antibody 可用于 IF,IHC-Fr,IHC-P,WB。

Anti-ODC1 Polyclonal Antibody
规格价格库存数量
50 μL
¥ 1,170
5日内发货
100 μL
¥ 1,965
5日内发货
200 μL
¥ 2,785
5日内发货
库存状态实时更新,以官网显示为准,现货产品可直接加购物车下单
大包装 & 定制
加入购物车

TargetMol的所有产品仅用作科学研究或药证申报,不能被用于人体,我们不向个人提供产品和服务。请您遵守承诺用途,不得违反法律法规规定用于任何其他用途。

实验操作小课堂
常见问题解答
查看更多

资源下载:产品操作手册

产品介绍


生物活性
产品描述
Anti-ODC1 Polyclonal Antibody is a Rabbit antibody targeting ODC1. Anti-ODC1 Polyclonal Antibody can be used in IF,IHC-Fr,IHC-P,WB.
别名
Ornithine decarboxylase, ODC1
Ig Type
IgG
反应种属
Mouse,Rat (predicted:Human,Dog,Pig,Cow,Horse)
验证活性
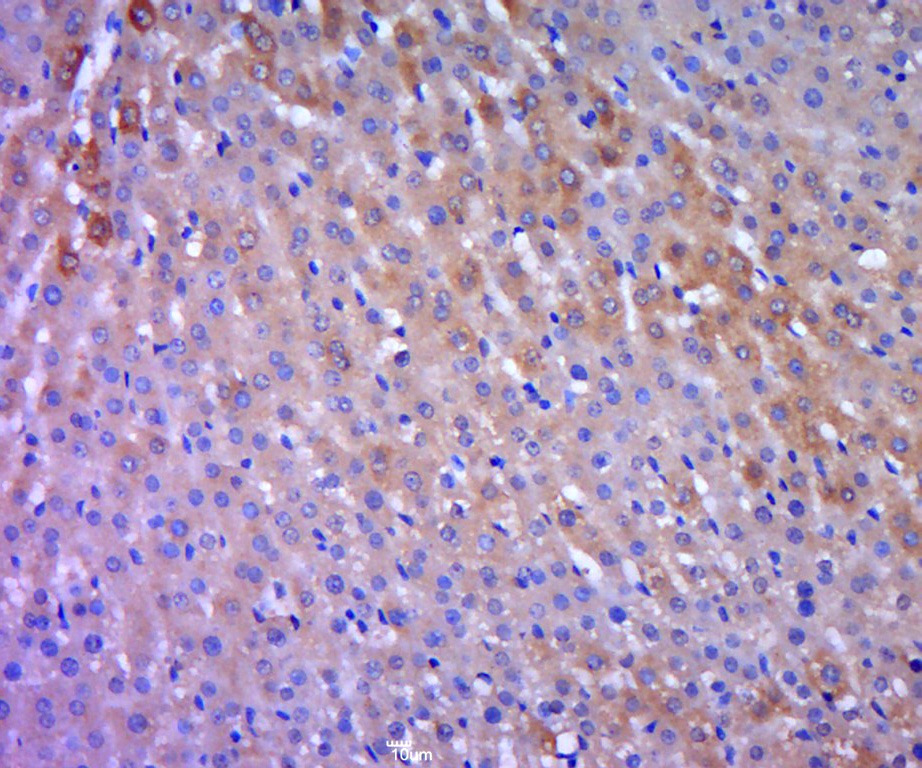
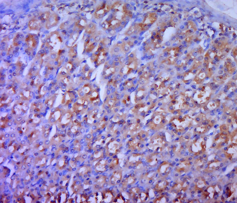
1. Paraformaldehyde-fixed, paraffin embedded (rat stomach tissue); Antigen retrieval by boiling in sodium citrate buffer (pH6.0) for 15 min; Block endogenous peroxidase by 3% hydrogen peroxide for 20 min; Blocking buffer (normal goat serum) at 37°C for 30 min; Antibody incubation with (ODC) Polyclonal Antibody, Unconjugated (TMAB-01282) at 1:400 overnight at 4°C, followed by a conjugated secondary for 20 min and DAB staining.
2. Sample: Kidney (Mouse) lysate at 30 μg;
Primary: Anti-ODc (TMAB-01282) at 1:300 dilution;
Secondary: HRP conjugated Goat-Anti-rabbit Igg (secondary antibody) at 1: 5000 dilution;
Predicted band size:51 kDa
Observed band size:51 kDa
3. Sample: Liver (Mouse) lysate at 30 μg;
Primary: Anti-ODc (TMAB-01282) at 1:300 dilution;
Secondary: AP conjugated Goat Anti-Rabbit Igg at 1: 5000 dilution;
Predicted band size: 51 kDa
Observed band size: 51 kDa
4. Sample: Kidney (Mouse) lysate at 30 μg;
Primary: Anti-ODc (TMAB-01282) at 1:300 dilution;
Secondary: HRP conjugated Goat-Anti-rabbit Igg (secondary antibody) at 1: 5000 dilution;
Predicted band size:51 kDa
Observed band size:51 kDa
5. Paraformaldehyde-fixed, paraffin embedded (rat liver tissue); Antigen retrieval by boiling in sodium citrate buffer (pH6.0) for 15 min; Block endogenous peroxidase by 3% hydrogen peroxide for 20 min; Blocking buffer (normal goat serum) at 37°C for 30 min; Antibody incubation with (ODC) Polyclonal Antibody, Unconjugated (TMAB-01282) at 1:400 overnight at 4°C, followed by a conjugated secondary for 20 min and DAB staining.
verifiedActivityverifiedActivityverifiedActivityverifiedActivityverifiedActivity
应用IFIHC-FrIHC-PWB
推荐剂量
WB: 1:500-2000; IHC-P: 1:100-500; IHC-Fr: 1:100-500; IF: 1:100-500
抗体种类
Polyclonal
宿主来源Rabbit
构建方式Polyclonal Antibody
纯化方式Protein A purified
性状Liquid
缓冲液0.01M TBS (pH7.4) with 1% BSA, 0.02% Proclin300 and 50% Glycerol.
浓度1 mg/mL
研究背景Ornithine Decarboxylase (ODC) is the initial and rate limiting enzyme in the biosynthetic pathway of polyamines and is involved in the conversion of ornithine to putrescine. The biological activity of ODC is rapidly induced in response to virtually all agents known to promote cell proliferation including hormones, drugs, growth factors, mitogens, and tumor promoters. Reportedly, ODC mRNA levels are elevated in lung carcinomas as well as in colon adenomas and carcinomas. ODC activity in colorectal carcinomas is greater than those in adenomas and normal mucosa.
抗原信息
免疫原
KLH conjugated synthetic peptide: human ODC1
抗原种属
Human
基因名称
ODC1
基因ID
蛋白名称
Ornithine decarboxylase
Uniprot ID
研究领域
Amino acid metabolism,Amino Acids
化学信息
分子量Theoretical: 51 kDa. Actual: 51 kDa.
储存&溶解度
储存方式Store at -20°C or -80°C for 12 months. Avoid repeated freeze-thaw cycles.
运输方式Shipping with blue ice.

计算器

  • 稀释 计算器
  • 配液 计算器

关键词

Related Tags: buy Anti-ODC1 Polyclonal Antibody | purchase Anti-ODC1 Polyclonal Antibody | Anti-ODC1 Polyclonal Antibody cost | order Anti-ODC1 Polyclonal Antibody | Anti-ODC1 Polyclonal Antibody molecular weight