• TargetMol
    您的购物车当前为空

Anti-NUMA1 Polyclonal Antibody

一键复制产品信息
Rating icon 还可以
货号 TMAB-01275

别名 SP-H antigen, NuMA protein, NUMA 1, NUMA, Nuclear mitotic apparatus protein 1, Nuclear mitotic apparatus protein, Nuclear matrix protein-22, NMP-22, NMP22

Anti-NUMA1 Polyclonal Antibody 是一种 Rabbit 抗体,靶向 NUMA1。Anti-NUMA1 Polyclonal Antibody 可用于 IF,IHC-Fr,IHC-P。

Anti-NUMA1 Polyclonal Antibody

Anti-NUMA1 Polyclonal Antibody

一键复制产品信息
Rating icon 还可以
货号 TMAB-01275 别名 SP-H antigen, NuMA protein, NUMA 1, NUMA, Nuclear mitotic apparatus protein 1, Nuclear mitotic apparatus protein, Nuclear matrix protein-22, NMP-22, NMP22

Anti-NUMA1 Polyclonal Antibody 是一种 Rabbit 抗体,靶向 NUMA1。Anti-NUMA1 Polyclonal Antibody 可用于 IF,IHC-Fr,IHC-P。

规格价格库存数量
50 μL
¥ 1,175
5日内发货
100 μL
¥ 1,960
5日内发货
200 μL
¥ 2,785
5日内发货
库存状态实时更新,以官网显示为准,现货产品可直接加购物车下单
大包装 & 定制
加入购物车
TargetMol的所有产品仅用作科学研究或药证申报,不能被用于人体,我们不向个人提供产品和服务。请您遵守承诺用途,不得违反法律法规规定用于任何其他用途。
实验操作小课堂
常见问题解答
查看更多
资源下载:

产品介绍


生物活性
产品描述
Anti-NUMA1 Polyclonal Antibody is a Rabbit antibody targeting NUMA1. Anti-NUMA1 Polyclonal Antibody can be used in IF,IHC-Fr,IHC-P.
别名SP-H antigen, NuMA protein, NUMA 1, NUMA, Nuclear mitotic apparatus protein 1, Nuclear mitotic apparatus protein, Nuclear matrix protein-22, NMP-22, NMP22
Ig Type
IgG
反应种属
Human (predicted:Mouse,Rat,Dog)
验证活性
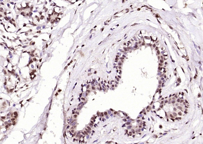
Paraformaldehyde-fixed, paraffin embedded (human breast); Antigen retrieval by boiling in sodium citrate buffer (pH6.0) for 15 min; Block endogenous peroxidase by 3% hydrogen peroxide for 20 min; Blocking buffer (normal goat serum) at 37°C for 30 min; Antibody incubation with (NuMA) Polyclonal Antibody, Unconjugated (TMAB-01275) at 1:200 overnight at 4°C, followed by operating according to SP Kit (Rabbit) instructionsand DAB staining.
verifiedActivity
应用IFIHC-FrIHC-P
推荐剂量
IHC-P: 1:100-500; IHC-Fr: 1:100-500; IF: 1:100-500
抗体种类
Polyclonal
宿主来源Rabbit
亚细胞定位Nucleus matrix. Chromosome. Cytoplasm, cytoskeleton, spindle pole. Note=Resides in the nuclear matrix during interphases. Dissociates from condensing chromosomes during early prophase, and relocates to the spindle poles via dynein/dynamin association, it remain there until the anaphase onset. Before the complete disintegration of the nuclear lamina. As mitosis progresses it reassociates with telophase chromosomes very early during nuclear reformation, before substantial accumulation of lamins on chromosomal surfaces is evident. Isoform Numa-m: Cytoplasm. Note=Mainly clustered at the centrosomal region. Isoform Numa-s: Cytoplasm. Note=Mainly clustered at the centrosomal region.
构建方式Polyclonal Antibody
纯化方式Protein A purified
性状Liquid
缓冲液0.01M TBS (pH7.4) with 1% BSA, 0.02% Proclin300 and 50% Glycerol.
浓度1 mg/mL
研究背景Healthy individuals generally have very small amounts of NMP22 protein in the urine. However, the level of NMP22 protein is often elevated in the urine of patients with bladder cancer, even at early stages of the disease.1 The Alere NMP22 Test is an enzyme immunoassay for the quantitative determination of nuclear mitotic apparatus protein (NuMA) in stabilized voided urine. NuMA is an abundant component of the nuclear matrix proteins (NMP22). The Alere NMP22?BladderChek?Test is the only in-office test approved by the FDA as an aid in the diagnosis and monitoring of bladder cancer in conjunction with standard diagnostic procedures. Both assays are painless and non-invasive and detect elevated levels of NMP22 protein.
抗原信息
免疫原
KLH conjugated synthetic peptide: human NuMA
抗原种属
Human
基因名称
NUMA1
基因ID
蛋白名称
Nuclear mitotic apparatus protein 1
Uniprot ID
研究领域
Spindle,Markers
功能
Highly abundant component of the nuclear matrix where it may serve a non-mitotic structural role, occupies the majority if the nuclear volume. Required for maintenance and establishment of the mitotic spindle poles, functionning as a tether linking bulk microtubules of the spindle to centrosomes. May be involved in coordination of the alignment of the mitotic spindle to the cellular polarity axis, which is a prerequisite for asymmetric cell divisions.
化学信息
分子量Theoretical: 238 kDa.
储存&溶解度
储存方式Store at -20°C or -80°C for 12 months. Avoid repeated freeze-thaw cycles.
运输方式Shipping with blue ice.
存储store at low temperature | store at -20°C

计算器

  • 稀释 计算器
Related Tags: buy Anti-NUMA1 Polyclonal Antibody | purchase Anti-NUMA1 Polyclonal Antibody | Anti-NUMA1 Polyclonal Antibody cost | order Anti-NUMA1 Polyclonal Antibody | Anti-NUMA1 Polyclonal Antibody molecular weight