购物车
  • TargetMol
    您的购物车当前为空

Anti-NPFFR1 Polyclonal Antibody

Synonyms: RFamide related peptide receptor OT7T022, NPFFR1, NPFF1R1, NPFF1 Receptor, NPFF1, Neuropeptide FF receptor 1, G-protein coupled receptor 147, GPR147
货号 TMAB-01257 一键复制产品信息
Rating icon 还可以

Anti-NPFFR1 Polyclonal Antibody 是一种 Rabbit 抗体,靶向 NPFFR1。Anti-NPFFR1 Polyclonal Antibody 可用于 IF,IHC-Fr,IHC-P,WB。

Anti-NPFFR1 Polyclonal Antibody

一键复制产品信息
Rating icon 还可以
货号 TMAB-01257

别名 RFamide related peptide receptor OT7T022, NPFFR1, NPFF1R1, NPFF1 Receptor, NPFF1, Neuropeptide FF receptor 1, G-protein coupled receptor 147, GPR147

Anti-NPFFR1 Polyclonal Antibody 是一种 Rabbit 抗体,靶向 NPFFR1。Anti-NPFFR1 Polyclonal Antibody 可用于 IF,IHC-Fr,IHC-P,WB。

Anti-NPFFR1 Polyclonal Antibody
规格价格库存数量
50 μL
¥ 1,175
5日内发货
100 μL
¥ 1,960
5日内发货
200 μL
¥ 2,785
5日内发货
库存状态实时更新,以官网显示为准,现货产品可直接加购物车下单
大包装 & 定制
加入购物车

TargetMol的所有产品仅用作科学研究或药证申报,不能被用于人体,我们不向个人提供产品和服务。请您遵守承诺用途,不得违反法律法规规定用于任何其他用途。

实验操作小课堂
常见问题解答
查看更多

资源下载:产品操作手册

产品介绍


生物活性
产品描述
Anti-NPFFR1 Polyclonal Antibody is a Rabbit antibody targeting NPFFR1. Anti-NPFFR1 Polyclonal Antibody can be used in IF,IHC-Fr,IHC-P,WB.
别名
RFamide related peptide receptor OT7T022, NPFFR1, NPFF1R1, NPFF1 Receptor, NPFF1, Neuropeptide FF receptor 1, G-protein coupled receptor 147, GPR147
Ig Type
IgG
反应种属
Human,Mouse,Rat (predicted:Dog,Pig,Cow,Horse,Rabbit,Sheep)
验证活性
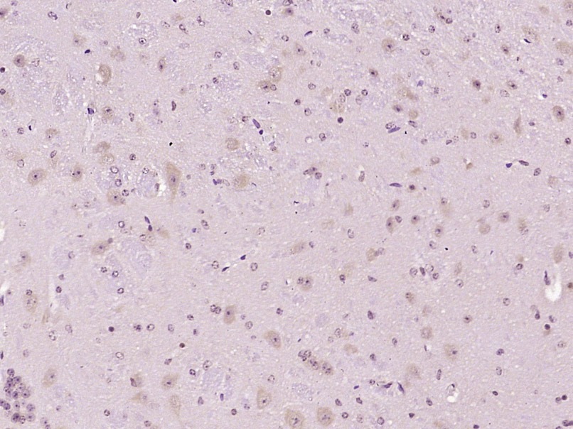
1. Paraformaldehyde-fixed, paraffin embedded (Rat brain); Antigen retrieval by boiling in sodium citrate buffer (pH6.0) for 15 min; Block endogenous peroxidase by 3% hydrogen peroxide for 20 min; Blocking buffer (normal goat serum) at 37°C for 30 min; Antibody incubation with (NPFF1 Receptor) Polyclonal Antibody, Unconjugated (TMAB-01257) at 1:400 overnight at 4°C, followed by operating according to SP Kit (Rabbit) instructionsand DAB staining.
2. Sample:
U251 (Human) Cell Lysate at 30 μg
Primary: Anti-NPFF1 Receptor (TMAB-01257) at 1/300 dilution
Secondary: IRDye800CW Goat Anti-Rabbit IgG at 1/20000 dilution
Predicted band size: 48 kDa
Observed band size: 48 kDa
3. Paraformaldehyde-fixed, paraffin embedded (Mouse brain); Antigen retrieval by boiling in sodium citrate buffer (pH6.0) for 15 min; Block endogenous peroxidase by 3% hydrogen peroxide for 20 min; Blocking buffer (normal goat serum) at 37°C for 30 min; Antibody incubation with (NPFF1 Receptor) Polyclonal Antibody, Unconjugated (TMAB-01257) at 1:400 overnight at 4°C, followed by operating according to SP Kit (Rabbit) instructionsand DAB staining.
4. Sample:
Lane 1: Mouse Cerebellum tissue lysates
Lane 2: Mouse Cerebrum tissue lysates
Lane 3: Rat Cerebellum tissue lysates
Lane 4: Rat Cerebrum tissue lysates
Primary: Anti-NPFF1 Receptor (TMAB-01257) at 1/1000 dilution
Secondary: IRDye800CW Goat Anti-Rabbit IgG at 1/20000 dilution
Predicted band size: 48 kDa
Observed band size: 48 kDa
verifiedActivityverifiedActivityverifiedActivityverifiedActivity
应用IFIHC-FrIHC-PWB
推荐剂量
WB: 1:500-2000; IHC-P: 1:100-500; IHC-Fr: 1:100-500; IF: 1:100-500
抗体种类
Polyclonal
宿主来源Rabbit
亚细胞定位Cell membrane.
构建方式Polyclonal Antibody
纯化方式Protein A purified
性状Liquid
缓冲液0.01M TBS (pH7.4) with 1% BSA, 0.02% Proclin300 and 50% Glycerol.
浓度1 mg/mL
研究背景Neuropeptide FF 1 Receptor (NPFF1 or hFF1) and Neuropeptide FF 2 Receptor (NPFF2) belong to the G protein-coupled receptor 1 family. Both NPFF1 and NPFF2 are integral membrane proteins that act as receptors for NPAF (A-18- F-amide) and NPFF (F-8-F-amide) neuropeptides. Both NPFF proteins may be activated by synthetic or naturally occurring FMRF-amide-like ligands. The receptors are mediated by association with G proteins that activate a phosphatidylinositol-calcium second messenger system. NPFF1 Receptors is highly expressed in the human hypothalamus and amygdala, indicating a possible role for NPFF1 in central autonomic and neuroendocrine control in the human brain. Based in part on NPFF2 Receptor expression in diencephalon and superficial layers of the spinal cord, NPFF2 Receptor is thought to be involved in the modulation of sensory input and opioid analgesia.
抗原信息
免疫原
KLH conjugated synthetic peptide: human GPR147/NPFF1 Receptor
抗原种属
Human
基因名称
NPFFR1
基因ID
蛋白名称
Neuropeptide FF receptor 1
Uniprot ID
功能
Receptor for NPAF (A-18-F-amide) and NPFF (F-8-F-amide) neuropeptides, also known as morphine-modulating peptides. Can also be activated by a variety of naturally occurring or synthetic FMRF-amide like ligands. This receptor mediates its action by association with G proteins that activate a phosphatidylinositol-calcium second messenger system.
化学信息
分子量Theoretical: 48 kDa. Actual: 48 kDa.
储存&溶解度
储存方式Store at -20°C or -80°C for 12 months. Avoid repeated freeze-thaw cycles.
运输方式Shipping with blue ice.

计算器

  • 稀释 计算器
  • 配液 计算器
Related Tags: buy Anti-NPFFR1 Polyclonal Antibody | purchase Anti-NPFFR1 Polyclonal Antibody | Anti-NPFFR1 Polyclonal Antibody cost | order Anti-NPFFR1 Polyclonal Antibody | Anti-NPFFR1 Polyclonal Antibody molecular weight