• TargetMol
    您的购物车当前为空

Anti-NFKB1 Antibody (3N127)

一键复制产品信息
Rating icon 还可以
货号 TMAC-02809

别名 Nuclear factor of kappa light polypeptide gene enhancer in B-cells 1, Nuclear factor NF-kappa-B p105 subunit, NFKB1, EBP-1, DNA-binding factor KBF1

Anti-NFKB1 Antibody (3N127) 是一种 Rabbit 抗体,靶向 NFKB1。Anti-NFKB1 Antibody (3N127) 可用于 IHC,WB。

Anti-NFKB1 Antibody (3N127)

Anti-NFKB1 Antibody (3N127)

一键复制产品信息
Rating icon 还可以
货号 TMAC-02809 别名 Nuclear factor of kappa light polypeptide gene enhancer in B-cells 1, Nuclear factor NF-kappa-B p105 subunit, NFKB1, EBP-1, DNA-binding factor KBF1

Anti-NFKB1 Antibody (3N127) 是一种 Rabbit 抗体,靶向 NFKB1。Anti-NFKB1 Antibody (3N127) 可用于 IHC,WB。

规格价格库存数量
50 μL
¥ 1,490
5日内发货
100 μL
¥ 2,490
5日内发货
库存状态实时更新,以官网显示为准,现货产品可直接加购物车下单
大包装 & 定制
加入购物车
TargetMol的所有产品仅用作科学研究或药证申报,不能被用于人体,我们不向个人提供产品和服务。请您遵守承诺用途,不得违反法律法规规定用于任何其他用途。
实验操作小课堂
常见问题解答
查看更多
资源下载:

产品介绍


生物活性
产品描述
Anti-NFKB1 Antibody (3N127) is a Rabbit antibody targeting NFKB1. Anti-NFKB1 Antibody (3N127) can be used in IHC,WB.
别名Nuclear factor of kappa light polypeptide gene enhancer in B-cells 1, Nuclear factor NF-kappa-B p105 subunit, NFKB1, EBP-1, DNA-binding factor KBF1
Ig Type
IgG
克隆号
3N127
反应种属
Human,Mouse,Rat
验证活性
1. Western blot analysis of NF-κB p105/p50 expression in (1)PC-12 cell lysate; (2) NIH/3T3 cell lysate.
2. All lanes use the Antibody at 1:1K dilution for 1 hour at room temperature.
3. All lanes use the Antibody at 1:3K dilution for 1 hour at room temperature.
4. All lanes use the Antibody at 1:3K dilution for 1 hour at room temperature.
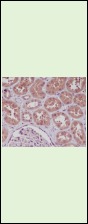
5. Immunohistochemical analysis of paraffin-embedded human kidney, using NF-κB p105/p50 Antibody.
verifiedActivityverifiedActivityverifiedActivityverifiedActivityverifiedActivity
应用IHCWB
推荐剂量
WB: 1:500-2000; IHC: 1:50-200
抗体种类
Monoclonal
宿主来源Rabbit
构建方式Recombinant Antibody
纯化方式Affinity-chromatography
性状Liquid
缓冲液Rabbit IgG in phosphate buffered saline , pH 7.4, 150mM NaCl, 0.02% sodium azide and 50% glycerol.
研究背景NF-κB-p105 a transcription factor of the nuclear factor-kappaB (NF-κB) group. Undergoes cotranslational processing by the 26S proteasome to produce a 50 kD protein. The 105 kD protein is a Rel protein-specific transcription inhibitor and the 50 kD protein is a DNA binding subunit of NF-κB. NF-κB is a transcription regulator that is activated by various intra- and extra-cellular stimuli such as cytokines, oxidant-free radicals, ultraviolet irradiation, and bacterial or viral products.
偶联与修饰
偶联
Unconjugated
抗原信息
免疫原
A synthesized peptide: human NF-κB (p105/p50)
抗原种属
human
Uniprot ID
化学信息
分子量Theoretical: 50/120 kDa.
储存&溶解度
储存方式Store at 2°C-8°C for 1 month. Store at -20°C or -80°C for 12 months. Avoid repeated freeze-thaw cycles.
运输方式Shipping with blue ice.
存储store at low temperature | -20°C for 1 year

计算器

  • 稀释 计算器

关键词

Related Tags: buy Anti-NFKB1 Antibody (3N127) | purchase Anti-NFKB1 Antibody (3N127) | Anti-NFKB1 Antibody (3N127) cost | order Anti-NFKB1 Antibody (3N127) | Anti-NFKB1 Antibody (3N127) molecular weight