• TargetMol
    您的购物车当前为空

Anti-NeuN Polyclonal Antibody 2

一键复制产品信息
Rating icon 还可以
货号 TMAB-01219

别名 RNA binding protein fox-1 homolog 3, RFOX3, RBFOX3, Neuronal nuclei antigen(NeuN antigen), HRNBP3, FOX-3, FOX3, Fox-1 homolog C

Anti-NeuN Polyclonal Antibody 2 是一种 Rabbit 抗体,靶向 NeuN。Anti-NeuN Polyclonal Antibody 2 可用于 IF,IHC-Fr,IHC-P,WB。

Anti-NeuN Polyclonal Antibody 2

Anti-NeuN Polyclonal Antibody 2

一键复制产品信息
Rating icon 还可以
货号 TMAB-01219 别名 RNA binding protein fox-1 homolog 3, RFOX3, RBFOX3, Neuronal nuclei antigen(NeuN antigen), HRNBP3, FOX-3, FOX3, Fox-1 homolog C

Anti-NeuN Polyclonal Antibody 2 是一种 Rabbit 抗体,靶向 NeuN。Anti-NeuN Polyclonal Antibody 2 可用于 IF,IHC-Fr,IHC-P,WB。

规格价格库存数量
50 μL
¥ 1,160
5日内发货
100 μL
¥ 1,960
5日内发货
200 μL
¥ 2,780
5日内发货
库存状态实时更新,以官网显示为准,现货产品可直接加购物车下单
大包装 & 定制
加入购物车
TargetMol的所有产品仅用作科学研究或药证申报,不能被用于人体,我们不向个人提供产品和服务。请您遵守承诺用途,不得违反法律法规规定用于任何其他用途。
实验操作小课堂
常见问题解答
查看更多
资源下载:

产品介绍


生物活性
产品描述
Anti-NeuN Polyclonal Antibody 2 is a Rabbit antibody targeting NeuN. Anti-NeuN Polyclonal Antibody 2 can be used in IF,IHC-Fr,IHC-P,WB.
别名RNA binding protein fox-1 homolog 3, RFOX3, RBFOX3, Neuronal nuclei antigen(NeuN antigen), HRNBP3, FOX-3, FOX3, Fox-1 homolog C
Ig Type
IgG
反应种属
Human,Mouse,Rat (predicted:Dog,Cow,Horse)
验证活性
1. Sample:
Lane 1: Cerebrum (Mouse) Lysate at 40 μg
Lane 2: Cerebellum (Mouse) Lysate at 40 μg
Primary:
Anti-NeuN (TMAB-01219) at 1/1000 dilution
Secondary: IRDye800CW Goat Anti-Rabbit IgG at 1/20000 dilution
Predicted band size: 34 kDa
Observed band size: 46/50 kDa
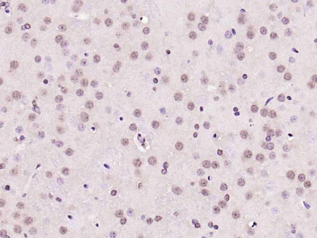
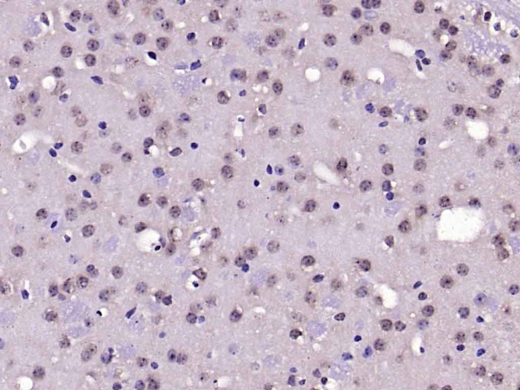
2. Paraformaldehyde-fixed, paraffin embedded (mouse brain); Antigen retrieval by boiling in sodium citrate buffer (pH6.0) for 15 min; Block endogenous peroxidase by 3% hydrogen peroxide for 20 min; Blocking buffer (normal goat serum) at 37°C for 30 min; Antibody incubation with (NeuN) Polyclonal Antibody, Unconjugated (TMAB-01219) at 1:200 overnight at 4°C, followed by operating according to SP Kit (Rabbit) instructionsand DAB staining.
3. Paraformaldehyde-fixed, paraffin embedded (rat brain); Antigen retrieval by boiling in sodium citrate buffer (pH6.0) for 15 min; Block endogenous peroxidase by 3% hydrogen peroxide for 20 min; Blocking buffer (normal goat serum) at 37°C for 30 min; Antibody incubation with (NeuN) Polyclonal Antibody, Unconjugated (TMAB-01219) at 1:200 overnight at 4°C, followed by operating according to SP Kit (Rabbit) instructionsand DAB staining.
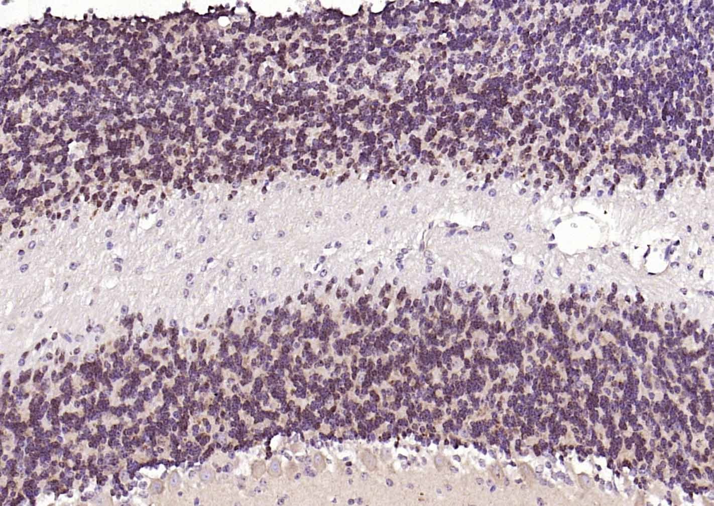
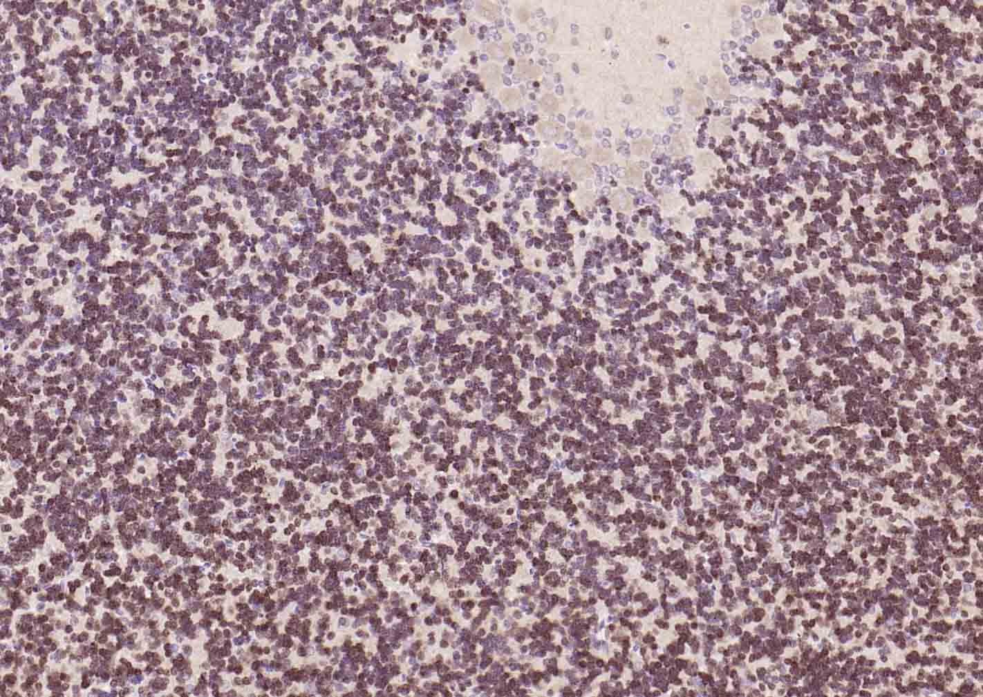
4. Paraformaldehyde-fixed, paraffin embedded (mouse cerebellum); Antigen retrieval by boiling in sodium citrate buffer (pH6.0) for 15 min; Block endogenous peroxidase by 3% hydrogen peroxide for 20 min; Blocking buffer (normal goat serum) at 37°C for 30 min; Incubation with (NeuN) Polyclonal Antibody, Unconjugated (TMAB-01219) at 1:200 overnight at 4°C, followed by operating according to SP Kit (Rabbit) instructionsand DAB staining.
5. Paraformaldehyde-fixed, paraffin embedded (rat cerebellum); Antigen retrieval by boiling in sodium citrate buffer (pH6.0) for 15 min; Block endogenous peroxidase by 3% hydrogen peroxide for 20 min; Blocking buffer (normal goat serum) at 37°C for 30 min; Incubation with (NeuN) Polyclonal Antibody, Unconjugated (TMAB-01219) at 1:200 overnight at 4°C, followed by operating according to SP Kit (Rabbit) instructionsand DAB staining.
verifiedActivityverifiedActivityverifiedActivityverifiedActivityverifiedActivity
应用IFIHC-FrIHC-PWB
推荐剂量
WB: 1:500-2000; IHC-P: 1:100-500; IHC-Fr: 1:100-500; IF: 1:100-500
抗体种类
Polyclonal
宿主来源Rabbit
亚细胞定位Nucleus. Cytoplasm.
组织特异性Expressed in activated, but not resting, CD4+ T-cells and activated monocytes.
构建方式Polyclonal Antibody
纯化方式Protein A purified
性状Liquid
缓冲液0.01M TBS (pH7.4) with 1% BSA, 0.02% Proclin300 and 50% Glycerol.
浓度1 mg/mL
研究背景This gene encodes a member of the RNA-binding FOX protein family which is involved in the regulation of alternative splicing of pre-mRNA. The protein has an N-terminal proline-rich region, an RNA recognition motif (RRM) domain, and a C-terminal alanine-rich region. This gene produces the neuronal nuclei (NeuN) antigen that has been widely used as a marker for post-mitotic neurons. This gene has its highest expression in the central nervous system and plays a prominent role in neural tissue development and regulation of adult brain function. Mutations in this gene have been associated with numerous neurological disorders. Alternative splicing of this gene results in multiple transcript variants encoding distinct isoforms. [provided by RefSeq, May 2017]
抗原信息
免疫原
KLH conjugated synthetic peptide: human NeuN
抗原种属
Human
基因名称
RBFOX3
基因ID
蛋白名称
RNA binding protein fox-1 homolog 3
Uniprot ID
研究领域
Other FOXes,Transcription Factors,Soma marker,neun,Neuronal
功能
RNA-binding protein that regulates alternative splicing events.
化学信息
分子量Theoretical: 34 kDa.
储存&溶解度
储存方式Store at -20°C or -80°C for 12 months. Avoid repeated freeze-thaw cycles.
运输方式Shipping with blue ice.
存储store at low temperature | store at -20°C

计算器

  • 稀释 计算器
Related Tags: buy Anti-NeuN Polyclonal Antibody 2 | purchase Anti-NeuN Polyclonal Antibody 2 | Anti-NeuN Polyclonal Antibody 2 cost | order Anti-NeuN Polyclonal Antibody 2 | Anti-NeuN Polyclonal Antibody 2 molecular weight