购物车
  • TargetMol
    您的购物车当前为空

Anti-Nestin/NES Antibody (7Y567)

货号 TMAC-02774 一键复制产品信息
Rating icon 还可以

Anti-Nestin/NES Antibody (7Y567) 是一种 Rabbit 抗体,靶向 Nestin/NES。Anti-Nestin/NES Antibody (7Y567) 可用于 ICC/IF,IHC。

Anti-Nestin/NES Antibody (7Y567)

一键复制产品信息
Rating icon 还可以
货号 TMAC-02774

Anti-Nestin/NES Antibody (7Y567) 是一种 Rabbit 抗体,靶向 Nestin/NES。Anti-Nestin/NES Antibody (7Y567) 可用于 ICC/IF,IHC。

Anti-Nestin/NES Antibody (7Y567)
规格价格库存数量
50 μL
¥ 1,485
5日内发货
100 μL
¥ 2,480
5日内发货
库存状态实时更新,以官网显示为准,现货产品可直接加购物车下单
大包装 & 定制
加入购物车

TargetMol的所有产品仅用作科学研究或药证申报,不能被用于人体,我们不向个人提供产品和服务。请您遵守承诺用途,不得违反法律法规规定用于任何其他用途。

实验操作小课堂
常见问题解答
查看更多

资源下载:产品操作手册

产品介绍


生物活性
产品描述
Anti-Nestin/NES Antibody (7Y567) is a Rabbit antibody targeting Nestin/NES. Anti-Nestin/NES Antibody (7Y567) can be used in ICC/IF,IHC.
Ig Type
IgG
克隆号
7Y567
反应种属
Human
验证活性
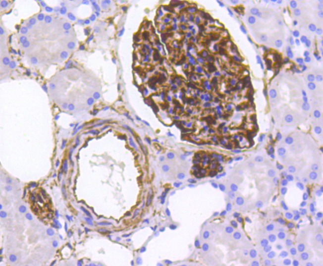
1. Immunohistochemical analysis of paraffin-embedded human kidney tissue using anti-Nestin antibody. Counter stained with hematoxylin.
verifiedActivity
应用ICC/IFIHC
推荐剂量
IHC: 1:50-200; ICC/IF: 1:50-200
抗体种类
Monoclonal
宿主来源Rabbit
构建方式Recombinant Antibody
纯化方式ProA affinity purified
性状Liquid
缓冲液1*TBS (pH7.4), 1%BSA, 40%Glycerol. Preservative: 0.05% Sodium Azide.
研究背景Nestin is a major intermediate filament (IF) protein of embryonic central nervous system progenitor cells. It is also a component of the dynamic IF network during muscle development, where it polymerizes with Desmin and Vimentin. Nestin co-assembles with Vimentin or a-internexin and forms heterodimer coiled-coil molecules which then further assemble into 10 nml IFs. Deletion of the IF consensus rod domain in nestin alters nestin localization in CNS precursor cells and radial glial cells in vivo. Nestin is a marker for neuroepithelial stem cells, glioma cells and tumor endothelial cells during rapid growth. During axon elongation of differen-tiation neurons, nestin localizes to the growth cones and may play a role in growth cone guidance. In the rat adrenal gland, nestin is expressed by the zona fasciculata and the zona reticularis. Nestin is also expressed by dermatomal cells and by myoblasts during the earliest stages of myogenesis.
偶联与修饰
偶联
Unconjugated
抗原信息
免疫原
Recombinant Protein
Uniprot ID
储存&溶解度
储存方式Store at -20°C or -80°C for 12 months. Avoid repeated freeze-thaw cycles.
运输方式Shipping with blue ice.

计算器

  • 稀释 计算器
  • 配液 计算器

关键词

Related Tags: buy Anti-Nestin/NES Antibody (7Y567) | purchase Anti-Nestin/NES Antibody (7Y567) | Anti-Nestin/NES Antibody (7Y567) cost | order Anti-Nestin/NES Antibody (7Y567)