• TargetMol
    您的购物车当前为空

Anti-NEK7 Polyclonal Antibody

一键复制产品信息
Rating icon 还可以
货号 TMAB-01213

别名 NIMA-related kinase 7

Anti-NEK7 Polyclonal Antibody 是一种 Rabbit 抗体,靶向 NEK7。Anti-NEK7 Polyclonal Antibody 可用于 IF,IHC-Fr,IHC-P。

Anti-NEK7 Polyclonal Antibody

Anti-NEK7 Polyclonal Antibody

一键复制产品信息
Rating icon 还可以
货号 TMAB-01213 别名 NIMA-related kinase 7

Anti-NEK7 Polyclonal Antibody 是一种 Rabbit 抗体,靶向 NEK7。Anti-NEK7 Polyclonal Antibody 可用于 IF,IHC-Fr,IHC-P。

规格价格库存数量
50 μL
¥ 1,160
5日内发货
100 μL
¥ 1,970
5日内发货
200 μL
¥ 2,790
5日内发货
库存状态实时更新,以官网显示为准,现货产品可直接加购物车下单
大包装 & 定制
加入购物车
TargetMol的所有产品仅用作科学研究或药证申报,不能被用于人体,我们不向个人提供产品和服务。请您遵守承诺用途,不得违反法律法规规定用于任何其他用途。
实验操作小课堂
常见问题解答
查看更多
资源下载:

产品介绍


生物活性
产品描述
Anti-NEK7 Polyclonal Antibody is a Rabbit antibody targeting NEK7. Anti-NEK7 Polyclonal Antibody can be used in IF,IHC-Fr,IHC-P.
别名NIMA-related kinase 7
Ig Type
IgG
反应种属
Mouse,Rat (predicted:Human,Chicken,Pig,Cow,Rabbit,Sheep)
验证活性
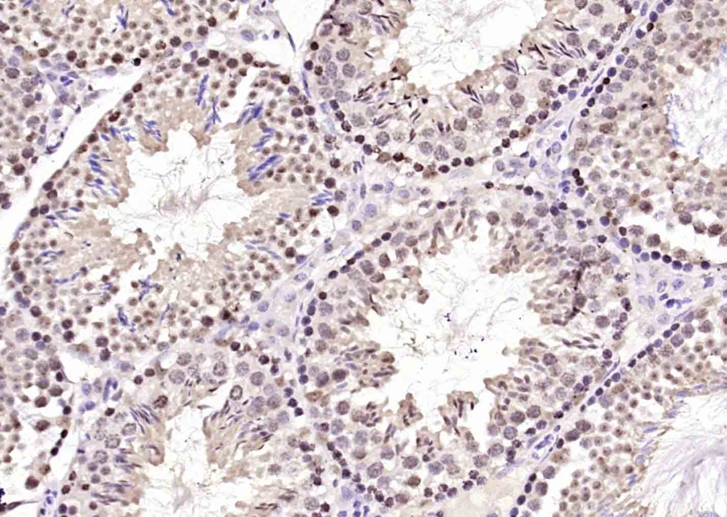
1. Paraformaldehyde-fixed, paraffin embedded (mouse testis); Antigen retrieval by boiling in sodium citrate buffer (pH6.0) for 15 min; Block endogenous peroxidase by 3% hydrogen peroxide for 20 min; Blocking buffer (normal goat serum) at 37°C for 30 min; Antibody incubation with (NEK7) Polyclonal Antibody, Unconjugated (TMAB-01213) at 1:200 overnight at 4°C, followed by operating according to SP Kit (Rabbit) instructionsand DAB staining.
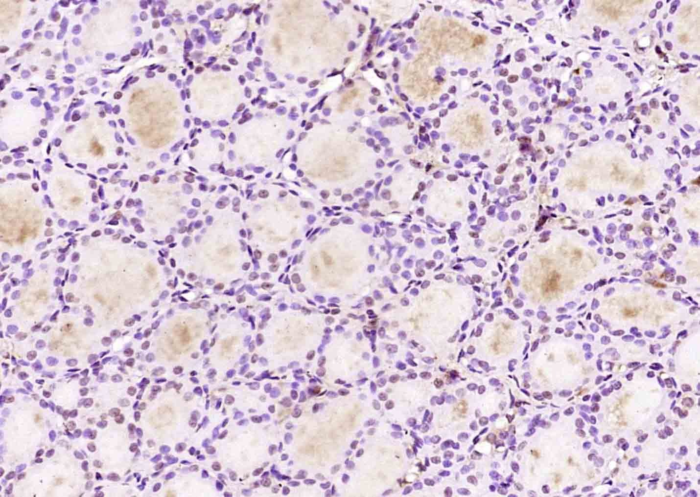
2. Paraformaldehyde-fixed, paraffin embedded (rat thyroid gland); Antigen retrieval by boiling in sodium citrate buffer (pH6.0) for 15 min; Block endogenous peroxidase by 3% hydrogen peroxide for 20 min; Blocking buffer (normal goat serum) at 37°C for 30 min; Antibody incubation with (NEK7) Polyclonal Antibody, Unconjugated (TMAB-01213) at 1:200 overnight at 4°C, followed by operating according to SP Kit (Rabbit) instructionsand DAB staining.
3. Paraformaldehyde-fixed, paraffin embedded (mouse brain); Antigen retrieval by boiling in sodium citrate buffer (pH6.0) for 15 min; Block endogenous peroxidase by 3% hydrogen peroxide for 20 min; Blocking buffer (normal goat serum) at 37°C for 30 min; Antibody incubation with (NEK7) Polyclonal Antibody, Unconjugated (TMAB-01213) at 1:200 overnight at 4°C, followed by operating according to SP Kit (Rabbit) instructionsand DAB staining.
verifiedActivityverifiedActivityverifiedActivity
应用IFIHC-FrIHC-P
推荐剂量
IHC-P: 1:100-500; IHC-Fr: 1:100-500; IF: 1:100-500
抗体种类
Polyclonal
宿主来源Rabbit
亚细胞定位Nucleus. Cytoplasm. Cytoplasm, cytoskeleton, spindle pole. Cytoplasm, cytoskeleton, centrosome. Note=Present at centrosome throughout the cell cycle. Also detected at spindle midzone of the anaphase cells and eventually concentrates at the midbody.
组织特异性Highly expressed in lung, muscle, testis, brain, heart, liver, leukocyte and spleen. Lower expression in ovary, prostate and kidney. No expression seen in small intestine.
构建方式Polyclonal Antibody
纯化方式Protein A purified
性状Liquid
缓冲液0.01M TBS (pH7.4) with 1% BSA, 0.02% Proclin300 and 50% Glycerol.
浓度1 mg/mL
研究背景Tissue specificity: Highly expressed in lung, muscle, testis, brain, heart, liver, leukocyte and spleen. Lower expression in ovary, prostate and kidney.
抗原信息
免疫原
KLH conjugated synthetic peptide: human NEK7
抗原种属
Human
基因名称
NEK7
基因ID
蛋白名称
Serine/threonine-protein kinase Nek7
Uniprot ID
研究领域
Cytokinesis,Other cell division antibodies,Kinases/Phosphatases,Other Kinases
功能
Protein kinase which plays an important role in mitotic cell cycle progression. Required for microtubule nucleation activity of the centrosome, robust mitotic spindle formation and cytokinesis. Phosphorylates RPS6KB1.
化学信息
分子量Theoretical: 35 kDa.
储存&溶解度
储存方式Store at -20°C or -80°C for 12 months. Avoid repeated freeze-thaw cycles.
运输方式Shipping with blue ice.
存储store at low temperature | store at -20°C

计算器

  • 稀释 计算器
Related Tags: buy Anti-NEK7 Polyclonal Antibody | purchase Anti-NEK7 Polyclonal Antibody | Anti-NEK7 Polyclonal Antibody cost | order Anti-NEK7 Polyclonal Antibody | Anti-NEK7 Polyclonal Antibody molecular weight