购物车
  • TargetMol
    您的购物车当前为空

Anti-MSY2 Antibody (2H206)

Synonyms: YBX2, YBX 2, Y-box-binding protein 2, YBOX2_HUMAN, Y box binding protein 2, RGD1305068, OTTMUSP00000006276, MSY2 homolog, MSY 2, MGC45104, MGC118270, Germ cell-specific Y-box-binding protein, Germ cell specific Y box binding protein, FRGY2 homolog, DNA-binding protein C, DNA binding protein C, Dbpc, CSDA3, CSDA 3, Contrin
货号 TMAC-02670 一键复制产品信息
Rating icon 还可以

Anti-MSY2 Antibody (2H206) 是一种 Mouse 抗体,靶向 MSY2。Anti-MSY2 Antibody (2H206) 可用于 IHC,WB。

Anti-MSY2 Antibody (2H206)

一键复制产品信息
Rating icon 还可以
货号 TMAC-02670

别名 YBX2, YBX 2, Y-box-binding protein 2, YBOX2_HUMAN, Y box binding protein 2, RGD1305068, OTTMUSP00000006276, MSY2 homolog, MSY 2, MGC45104, MGC118270, Germ cell-specific Y-box-binding protein, Germ cell specific Y box binding protein, FRGY2 homolog, DNA-binding protein C, DNA binding protein C, Dbpc, CSDA3, CSDA 3, Contrin

Anti-MSY2 Antibody (2H206) 是一种 Mouse 抗体,靶向 MSY2。Anti-MSY2 Antibody (2H206) 可用于 IHC,WB。

Anti-MSY2 Antibody (2H206)
规格价格库存数量
50 μL
¥ 1,980
5日内发货
100 μL
¥ 2,985
5日内发货
库存状态实时更新,以官网显示为准,现货产品可直接加购物车下单
大包装 & 定制
加入购物车

TargetMol的所有产品仅用作科学研究或药证申报,不能被用于人体,我们不向个人提供产品和服务。请您遵守承诺用途,不得违反法律法规规定用于任何其他用途。

实验操作小课堂
常见问题解答
查看更多

资源下载:产品操作手册

产品介绍


生物活性
产品描述
Anti-MSY2 Antibody (2H206) is a Mouse antibody targeting MSY2. Anti-MSY2 Antibody (2H206) can be used in IHC,WB.
别名
YBX2, YBX 2, Y-box-binding protein 2, YBOX2_HUMAN, Y box binding protein 2, RGD1305068, OTTMUSP00000006276, MSY2 homolog, MSY 2, MGC45104, MGC118270, Germ cell-specific Y-box-binding protein, Germ cell specific Y box binding protein, FRGY2 homolog, DNA-binding protein C, DNA binding protein C, Dbpc, CSDA3, CSDA 3, Contrin
克隆号
2H206
反应种属
Human,Mouse,Rat
验证活性
1. Western blot analysis of MYS2 on MCF-7 cell (1) and mouse testis tissue lysate using anti-MSY2 antibody at 1/1,000 dilution.
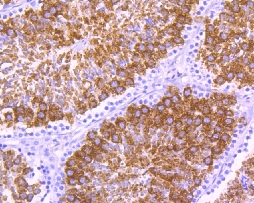
2. Immunohistochemical analysis of paraffin-embedded mouse testis tissue using anti-MSY2 antibody. Counter stained with hematoxylin.
verifiedActivityverifiedActivity
应用IHCWB
推荐剂量
WB: 1:500-2000; IHC: 1:50-200
抗体种类
Monoclonal
宿主来源Mouse
构建方式Hybridoma Monoclonal Antibody
纯化方式ProG affinity purified
性状Liquid
缓冲液1*TBS (pH7.4), 0.5%BSA, 50%Glycerol. Preservative: 0.05% Sodium Azide.
研究背景Major constituent of messenger ribonucleoprotein particles (mRNPs). Involved in the regulation of the stability and/or translation of germ cell mRNAs. Binds to Y-box consensus promoter element. Binds to full-length mRNA with high affinity in a sequence-independent manner. Binds to short RNA sequences containing the consensus site 5'-UCCAUCA-3' with low affinity and limited sequence specificity. Its binding with maternal mRNAs is necessary for its cytoplasmic retention. May mark specific mRNAs (those transcribed from Y-box promoters) in the nucleus for cytoplasmic storage, thereby linking transcription and mRNA storage/translational delay.
偶联与修饰
偶联
Unconjugated
抗原信息
免疫原
Peptide
Uniprot ID
化学信息
分子量Theoretical: 38.5 kDa.
储存&溶解度
储存方式Store at 2°C-8°C for 12 months, do not freeze.
运输方式Shipping with blue ice.

计算器

  • 稀释 计算器
  • 配液 计算器
Related Tags: buy Anti-MSY2 Antibody (2H206) | purchase Anti-MSY2 Antibody (2H206) | Anti-MSY2 Antibody (2H206) cost | order Anti-MSY2 Antibody (2H206) | Anti-MSY2 Antibody (2H206) molecular weight