• TargetMol
    您的购物车当前为空

Anti-MRE11 Antibody (6B152)

一键复制产品信息
Rating icon 还可以
货号 TMAC-02645

别名 OTTHUMP00000236833, OTTHUMP00000236832, OTTHUMP00000236831, OTTHUMP00000236830, MRE11b, MRE11A, MRE11_HUMAN, MRE11 meiotic recombination 11 homolog A (S. cerevisiae), MRE11 meiotic recombination 11 homolog A, MRE11 homolog A, MRE11 homolog 1, MRE 11b, MRE 11a, Mre 11, MmMRE11A, meiotic recombination 11 homolog A (S. cerevisiae), Meiotic recombination 11 homolog A, Meiotic recombination 11 homolog 1, meiotic recombination (S. cerevisiae) 11 homolog A, HNGS1, endo/exonuclease Mre11, Double-strand break repair protein MRE11A, Double strand break repair protein MRE11A, DNA recombination and repair protein, ATLD, Ataxia telangiectasia disorder like, AT like disease

Anti-MRE11 Antibody (6B152) 是一种 Rabbit 抗体,靶向 MRE11。Anti-MRE11 Antibody (6B152) 可用于 IHC,WB。

Anti-MRE11 Antibody (6B152)

Anti-MRE11 Antibody (6B152)

一键复制产品信息
Rating icon 还可以
货号 TMAC-02645 别名 OTTHUMP00000236833, OTTHUMP00000236832, OTTHUMP00000236831, OTTHUMP00000236830, MRE11b, MRE11A, MRE11_HUMAN, MRE11 meiotic recombination 11 homolog A (S. cerevisiae), MRE11 meiotic recombination 11 homolog A, MRE11 homolog A, MRE11 homolog 1, MRE 11b, MRE 11a, Mre 11, MmMRE11A, meiotic recombination 11 homolog A (S. cerevisiae), Meiotic recombination 11 homolog A, Meiotic recombination 11 homolog 1, meiotic recombination (S. cerevisiae) 11 homolog A, HNGS1, endo/exonuclease Mre11, Double-strand break repair protein MRE11A, Double strand break repair protein MRE11A, DNA recombination and repair protein, ATLD, Ataxia telangiectasia disorder like, AT like disease

Anti-MRE11 Antibody (6B152) 是一种 Rabbit 抗体,靶向 MRE11。Anti-MRE11 Antibody (6B152) 可用于 IHC,WB。

规格价格库存数量
50 μL
¥ 1,495
5日内发货
100 μL
¥ 2,485
5日内发货
库存状态实时更新,以官网显示为准,现货产品可直接加购物车下单
大包装 & 定制
加入购物车
TargetMol的所有产品仅用作科学研究或药证申报,不能被用于人体,我们不向个人提供产品和服务。请您遵守承诺用途,不得违反法律法规规定用于任何其他用途。
实验操作小课堂
常见问题解答
查看更多
资源下载:

产品介绍


生物活性
产品描述
Anti-MRE11 Antibody (6B152) is a Rabbit antibody targeting MRE11. Anti-MRE11 Antibody (6B152) can be used in IHC,WB.
别名OTTHUMP00000236833, OTTHUMP00000236832, OTTHUMP00000236831, OTTHUMP00000236830, MRE11b, MRE11A, MRE11_HUMAN, MRE11 meiotic recombination 11 homolog A (S. cerevisiae), MRE11 meiotic recombination 11 homolog A, MRE11 homolog A, MRE11 homolog 1, MRE 11b, MRE 11a, Mre 11, MmMRE11A, meiotic recombination 11 homolog A (S. cerevisiae), Meiotic recombination 11 homolog A, Meiotic recombination 11 homolog 1, meiotic recombination (S. cerevisiae) 11 homolog A, HNGS1, endo/exonuclease Mre11, Double-strand break repair protein MRE11A, Double strand break repair protein MRE11A, DNA recombination and repair protein, ATLD, Ataxia telangiectasia disorder like, AT like disease
Ig Type
IgG
克隆号
6B152
反应种属
Human,Mouse,Rat
验证活性
1. Western blot analysis of Mre11 on different cells lysates using anti-Mre11 antibody at 1/500 dilution. Positive control: Line 1: 293T, Line 2: Hela.
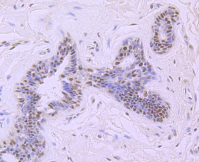
2. Immunohistochemical analysis of paraffin-embedded human breast cancer tissue using anti- Mre11 antibody. Counter stained with hematoxylin.
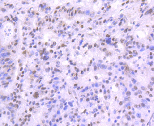
3. Immunohistochemical analysis of paraffin-embedded human stomach cancer tissue using anti- Mre11 antibody. Counter stained with hematoxylin.
verifiedActivityverifiedActivityverifiedActivity
应用IHCWB
推荐剂量
WB: 1:500-1000; IHC: 1:50-200
抗体种类
Monoclonal
宿主来源Rabbit
构建方式Recombinant Antibody
纯化方式ProA affinity purified
性状Liquid
缓冲液1*TBS (pH7.4), 1%BSA, 40%Glycerol. Preservative: 0.05% Sodium Azide.
研究背景Component of the MRN complex, which plays a central role in double-strand break (DSB) repair, DNA recombination, maintenance of telomere integrity and meiosis. The complex possesses single-strand endonuclease activity and double-strand-specific 3'-5' exonuclease activity, which are provided by MRE11. RAD50 may be required to bind DNA ends and hold them in close proximity. This could facilitate searches for short or long regions of sequence homology in the recombining DNA templates, and may also stimulate the activity of DNA ligases and/or restrict the nuclease activity of MRE11 to prevent nucleolytic degradation past a given point. The complex may also be required for DNA damage signaling via activation of the ATM kinase. In telomeres the MRN complex may modulate t-loop formation.
偶联与修饰
偶联
Unconjugated
抗原信息
免疫原
Recombinant Protein
Uniprot ID
化学信息
分子量Theoretical: 81 kDa.
储存&溶解度
储存方式Store at -20°C or -80°C for 12 months. Avoid repeated freeze-thaw cycles.
运输方式Shipping with blue ice.
存储store at low temperature | -20°C for 1 year

计算器

  • 稀释 计算器
Related Tags: buy Anti-MRE11 Antibody (6B152) | purchase Anti-MRE11 Antibody (6B152) | Anti-MRE11 Antibody (6B152) cost | order Anti-MRE11 Antibody (6B152) | Anti-MRE11 Antibody (6B152) molecular weight