购物车
  • TargetMol
    您的购物车当前为空

Anti-MMP-1 Polyclonal Antibody 2

Synonyms: matrix metallopeptidase 1, CLGN, CLG
货号 TMAB-01150 一键复制产品信息
Rating icon 还可以

Anti-MMP-1 Polyclonal Antibody 2 是一种 Rabbit 抗体,靶向 MMP-1。Anti-MMP-1 Polyclonal Antibody 2 可用于 IF,IHC-Fr,IHC-P,WB。

Anti-MMP-1 Polyclonal Antibody 2

一键复制产品信息
Rating icon 还可以
货号 TMAB-01150

别名 matrix metallopeptidase 1, CLGN, CLG

Anti-MMP-1 Polyclonal Antibody 2 是一种 Rabbit 抗体,靶向 MMP-1。Anti-MMP-1 Polyclonal Antibody 2 可用于 IF,IHC-Fr,IHC-P,WB。

Anti-MMP-1 Polyclonal Antibody 2
规格价格库存数量
50 μL
¥ 1,160
5日内发货
100 μL
¥ 1,965
5日内发货
200 μL
¥ 2,785
5日内发货
库存状态实时更新,以官网显示为准,现货产品可直接加购物车下单
大包装 & 定制
加入购物车

TargetMol的所有产品仅用作科学研究或药证申报,不能被用于人体,我们不向个人提供产品和服务。请您遵守承诺用途,不得违反法律法规规定用于任何其他用途。

实验操作小课堂
常见问题解答
查看更多

资源下载:产品操作手册

产品介绍


生物活性
产品描述
Anti-MMP-1 Polyclonal Antibody 2 is a Rabbit antibody targeting MMP-1. Anti-MMP-1 Polyclonal Antibody 2 can be used in IF,IHC-Fr,IHC-P,WB.
别名
matrix metallopeptidase 1, CLGN, CLG
Ig Type
IgG
反应种属
Human,Mouse,Rat (predicted:Dog,Cow,Horse,Rabbit,Sheep)
验证活性
1. Paraformaldehyde-fixed, paraffin embedded (rat brain tissue); Antigen retrieval by boiling in sodium citrate buffer (pH6.0) for 15 min; Block endogenous peroxidase by 3% hydrogen peroxide for 20 min; Blocking buffer (normal goat serum) at 37°C for 30 min; Antibody incubation with (MMP-1) Polyclonal Antibody, Unconjugated (TMAB-01150) at 1:400 overnight at 4°C, followed by operating according to SP Kit (Rabbit) instructionsand DAB staining.
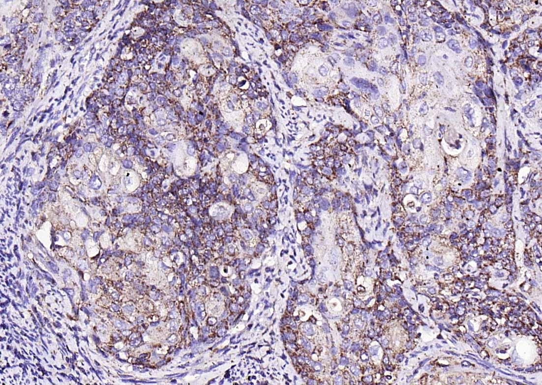
2. Paraformaldehyde-fixed, paraffin embedded (human gastric carcinoma); Antigen retrieval by boiling in sodium citrate buffer (pH6.0) for 15 min; Block endogenous peroxidase by 3% hydrogen peroxide for 20 min; Blocking buffer (normal goat serum) at 37°C for 30 min; Antibody incubation with (MMP-1) Polyclonal Antibody, Unconjugated (TMAB-01150) at 1:200 overnight at 4°C, followed by operating according to SP Kit (Rabbit) instructionsand DAB staining.
3. Sample:
Lane 1: Testis (Rat) Lysate at 40 μg
Lane 2: Testis (Mouse) Lysate at 40 μg
Primary: Anti-MMP-1 (TMAB-01150) at 1/1000 dilution
Secondary: IRDye800CW Goat Anti-Rabbit IgG at 1/20000 dilution
Predicted band size: 54 kDa
Observed band size: 54 kDa
4. Paraformaldehyde-fixed, paraffin embedded (rat stomach); Antigen retrieval by boiling in sodium citrate buffer (pH6.0) for 15 min; Block endogenous peroxidase by 3% hydrogen peroxide for 20 min; Blocking buffer (normal goat serum) at 37°C for 30 min; Antibody incubation with (MMP-1) Polyclonal Antibody, Unconjugated (TMAB-01150) at 1:200 overnight at 4°C, followed by operating according to SP Kit (Rabbit) instructionsand DAB staining.
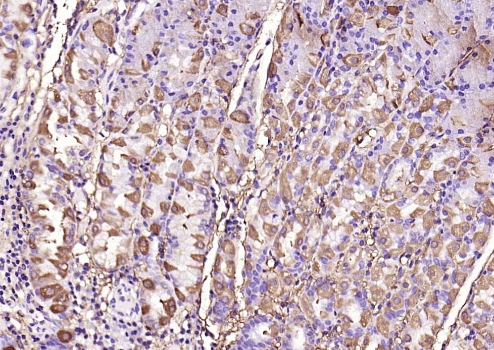
5. Paraformaldehyde-fixed, paraffin embedded (human cervical carcinoma); Antigen retrieval by boiling in sodium citrate buffer (pH6.0) for 15 min; Block endogenous peroxidase by 3% hydrogen peroxide for 20 min; Blocking buffer (normal goat serum) at 37°C for 30 min; Antibody incubation with (MMP-1) Polyclonal Antibody, Unconjugated (TMAB-01150) at 1:200 overnight at 4°C, followed by operating according to SP Kit (Rabbit) instructionsand DAB staining.
6. Paraformaldehyde-fixed, paraffin embedded (rat ovary); Antigen retrieval by boiling in sodium citrate buffer (pH6.0) for 15 min; Block endogenous peroxidase by 3% hydrogen peroxide for 20 min; Blocking buffer (normal goat serum) at 37°C for 30 min; Antibody incubation with (MMP-1) Polyclonal Antibody, Unconjugated (TMAB-01150) at 1:200 overnight at 4°C, followed by operating according to SP Kit (Rabbit) instructionsand DAB staining.
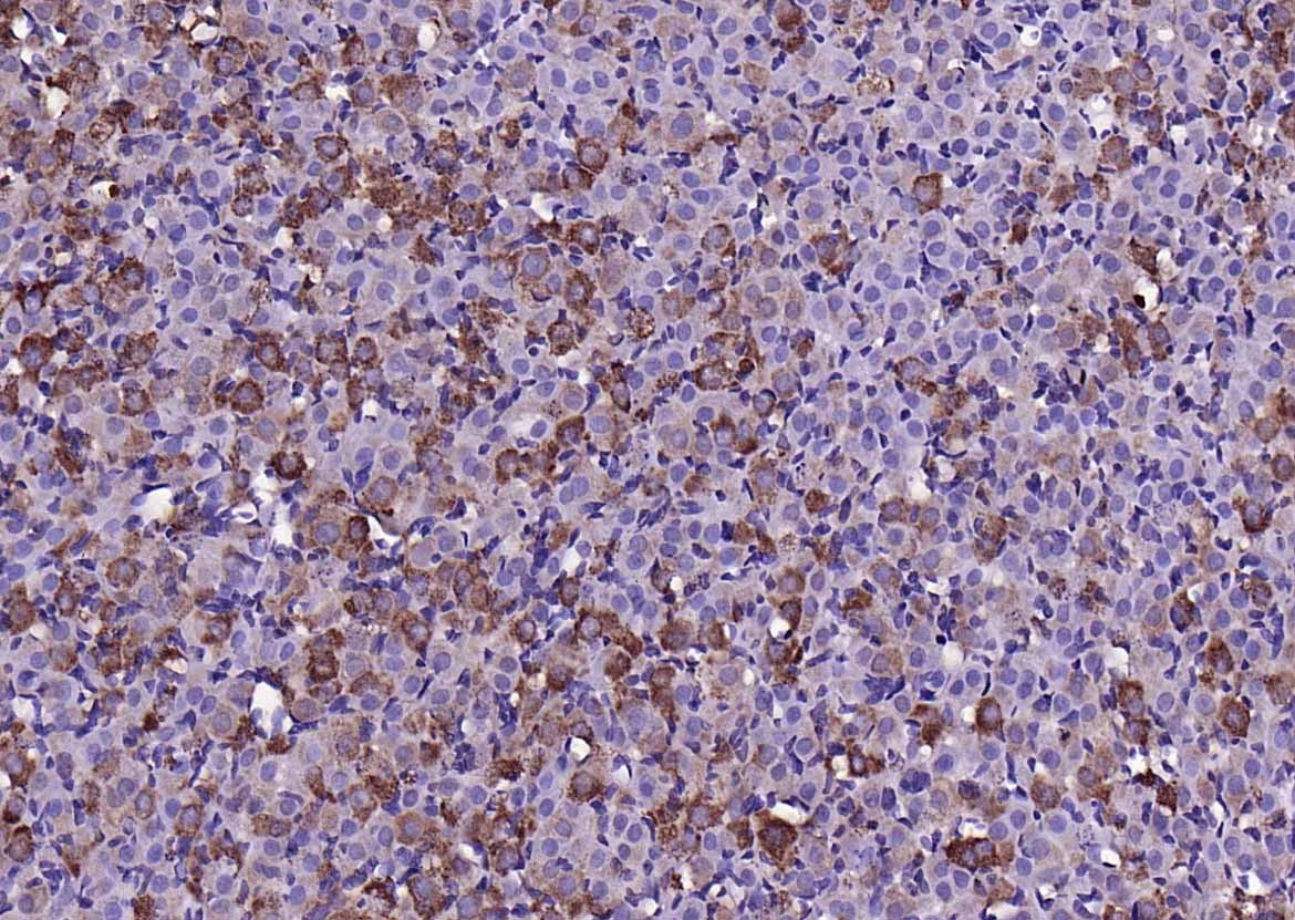
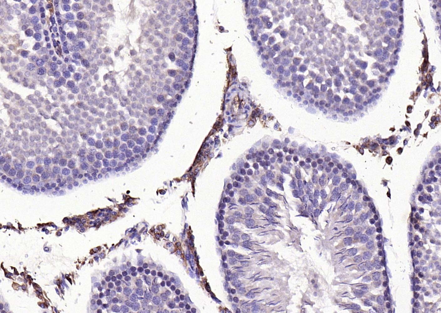
7. Paraformaldehyde-fixed, paraffin embedded (rat testis); Antigen retrieval by boiling in sodium citrate buffer (pH6.0) for 15 min; Block endogenous peroxidase by 3% hydrogen peroxide for 20 min; Blocking buffer (normal goat serum) at 37°C for 30 min; Antibody incubation with (MMP-1) Polyclonal Antibody, Unconjugated (TMAB-01150) at 1:200 overnight at 4°C, followed by operating according to SP Kit (Rabbit) instructionsand DAB staining.
verifiedActivityverifiedActivityverifiedActivityverifiedActivityverifiedActivityverifiedActivityverifiedActivity
应用IFIHC-FrIHC-PWB
推荐剂量
WB: 1:500-2000; IHC-P: 1:100-500; IHC-Fr: 1:100-500; IF: 1:100-500
抗体种类
Polyclonal
宿主来源Rabbit
亚细胞定位Secreted, extracellular space, extracellular matrix (Probable).
构建方式Polyclonal Antibody
纯化方式Protein A purified
性状Liquid
缓冲液0.01M TBS (pH7.4) with 1% BSA, 0.02% Proclin300 and 50% Glycerol.
浓度1 mg/mL
研究背景The matrix metalloproteinases (MMPs) are a family of at least eighteen secreted and membrane bound zincendopeptidases. Collectively, these enzymes can degrade all the components of the extracellular matrix, including fibrillar and non fibrillar collagens, fibronectin, laminin and basement membrane glycoproteins. In general, a signal peptide, a propeptide, and a catalytic domain containing the highly conserved zinc binding site characterizes the structure of the MMPs. In addition, fibronectin like repeats, a hinge region, and a C terminal hemopexin like domain allow categorization of MMPs into the collagenase, gelatinase, stomelysin and membrane type MMP subfamilies. All MMPs are synthesized as proenzymes, and most of them are secreted from the cells as proenzymes. Thus, the activation of these proenzymes is a critical step that leads to extracellular matrix breakdown. MMPs are considered to play an important role in wound healing, apoptosis, bone elongation, embryo development, uterine involution, angiogenesis and tissue remodeling, and in diseases such as multiple sclerosis, Alzheimer's, malignant gliomas, lupus, arthritis, periodontis, glumerulonephritis, atherosclerosis, tissue ulceration, and in cancer cell invasion and metastasis.
抗原信息
免疫原
KLH conjugated synthetic peptide: human MMP-1
抗原种属
Human
基因名称
MMP1
基因ID
蛋白名称
Interstitial collagenase
Uniprot ID
研究领域
MMPs,MMPs,MMP,Endothelial mediators/regulators,MMPs,MMP
功能
Cleaves collagens of types I, II, and III at one site in the helical domain. Also cleaves collagens of types VII and X. In case of HIV infection, interacts and cleaves the secreted viral Tat protein, leading to a decrease in neuronal Tat's mediated neurotoxicity.
化学信息
分子量Theoretical: 27/41/54 kDa. Actual: 54 kDa.
储存&溶解度
储存方式Store at -20°C or -80°C for 12 months. Avoid repeated freeze-thaw cycles.
运输方式Shipping with blue ice.

计算器

  • 稀释 计算器
  • 配液 计算器
Related Tags: buy Anti-MMP-1 Polyclonal Antibody 2 | purchase Anti-MMP-1 Polyclonal Antibody 2 | Anti-MMP-1 Polyclonal Antibody 2 cost | order Anti-MMP-1 Polyclonal Antibody 2 | Anti-MMP-1 Polyclonal Antibody 2 molecular weight