购物车
  • TargetMol
    您的购物车当前为空

Anti-MFN1 Antibody (5U87)

Synonyms: Transmembrane GTPase MFN1, Mitofusin-1, MFN 1, Fzo homolog
货号 TMAB-01130 一键复制产品信息
Rating icon 还可以

Anti-MFN1 Antibody (5U87) 是一种 Mouse 抗体,靶向 MFN1。Anti-MFN1 Antibody (5U87) 可用于 ICC/IF, IF, IHC-Fr, IHC-P, WB。

Anti-MFN1 Antibody (5U87)

一键复制产品信息
Rating icon 还可以
货号 TMAB-01130

别名 Transmembrane GTPase MFN1, Mitofusin-1, MFN 1, Fzo homolog

Anti-MFN1 Antibody (5U87) 是一种 Mouse 抗体,靶向 MFN1。Anti-MFN1 Antibody (5U87) 可用于 ICC/IF, IF, IHC-Fr, IHC-P, WB。

Anti-MFN1 Antibody (5U87)
规格价格库存数量
25 μL
¥ 790
5日内发货
50 μL
¥ 1,380
5日内发货
100 μL
¥ 2,485
5日内发货
库存状态实时更新,以官网显示为准,现货产品可直接加购物车下单
大包装 & 定制
加入购物车

TargetMol的所有产品仅用作科学研究或药证申报,不能被用于人体,我们不向个人提供产品和服务。请您遵守承诺用途,不得违反法律法规规定用于任何其他用途。

实验操作小课堂
常见问题解答
查看更多

资源下载:产品操作手册

产品介绍


生物活性
产品描述
Anti-MFN1 Antibody (5U87) is a Mouse antibody targeting MFN1. Anti-MFN1 Antibody (5U87) can be used in ICC/IF, IF, IHC-Fr, IHC-P, WB.
别名
Transmembrane GTPase MFN1, Mitofusin-1, MFN 1, Fzo homolog
Ig Type
IgG2a, κ
克隆号
5U87
反应种属
Human,Mouse,Rat
验证活性
1. Blocking buffer: 5% NFDM/TBST
Primary dilution: 1:1000
Primary incubation condition: 4°C overnight
Secondary: Goat Anti-Mouse IgG H&L (HRP)
Lysate: HepG2, PC-3, PC-12, EL4.IL-12
Protein loading quantity: 20 μg
Exposure time: 60 s
Predicted MW: 84 kDa
Observed MW: 84 kDa
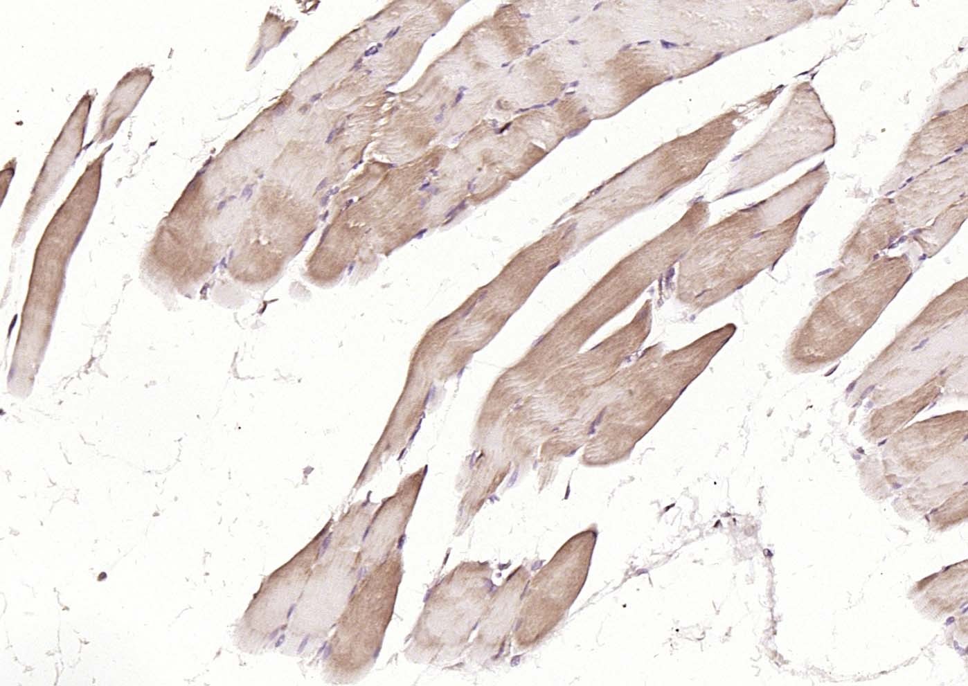
2. Paraformaldehyde-fixed, paraffin embedded (rat skeletal muscle); Antigen retrieval by boiling in sodium citrate buffer (pH6.0) for 15 min; Block endogenous peroxidase by 3% hydrogen peroxide for 20 min; Blocking buffer (normal goat serum) at 37°C for 30 min; Incubation with (MFN1) Monoclonal Antibody, Unconjugated (TMAB-01130) at 1:200 overnight at 4°C, followed by operating according to SP Kit (Mouse) instructionsand DAB staining.
3. Paraformaldehyde-fixed, paraffin embedded (mouse skeletal muscle); Antigen retrieval by boiling in sodium citrate buffer (pH6.0) for 15 min; Block endogenous peroxidase by 3% hydrogen peroxide for 20 min; Blocking buffer (normal goat serum) at 37°C for 30 min; Incubation with (MFN1) Monoclonal Antibody, Unconjugated (TMAB-01130) at 1:200 overnight at 4°C, followed by operating according to SP Kit (Mouse) instructionsand DAB staining.
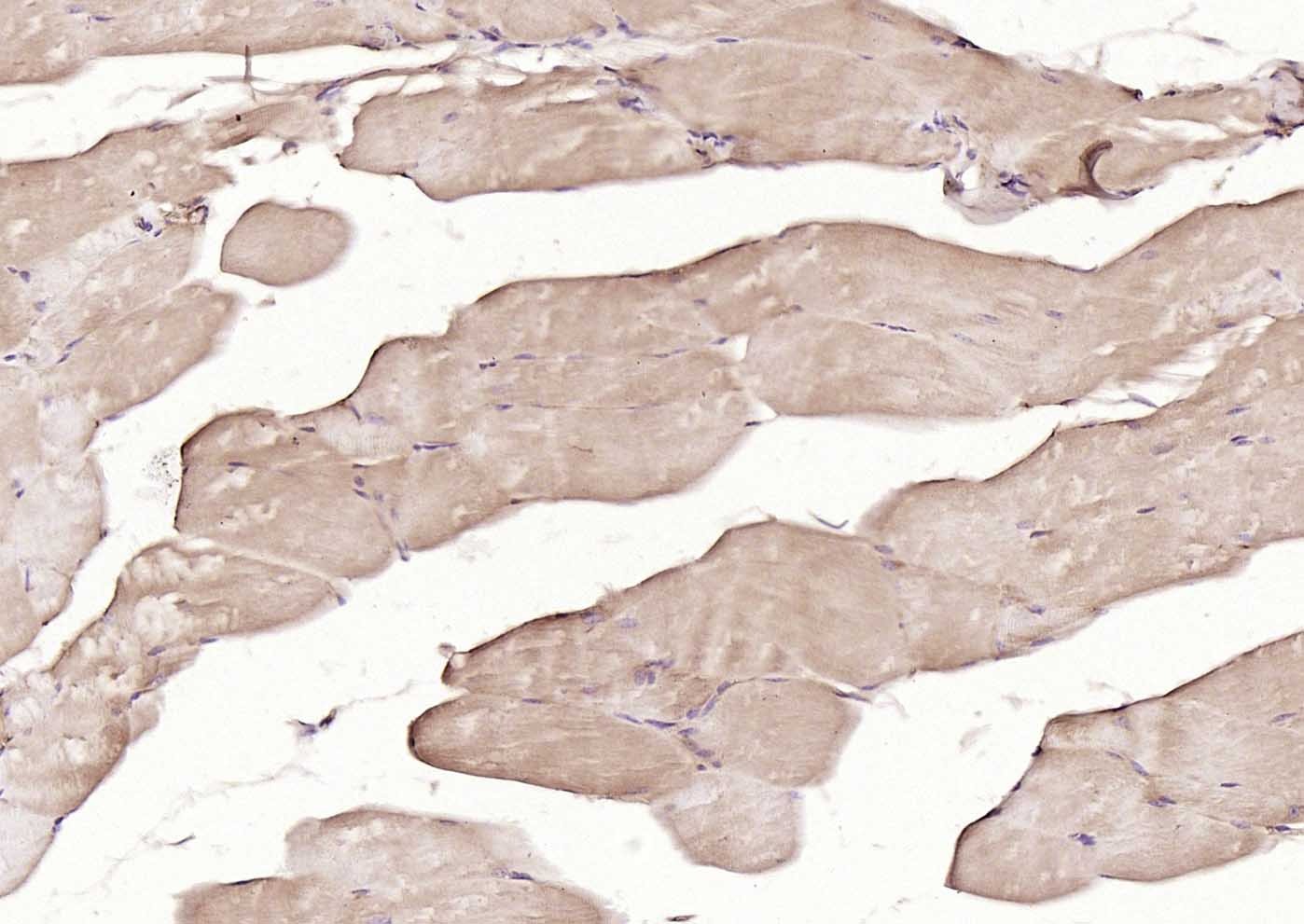
4. Paraformaldehyde-fixed, paraffin embedded (human skeletal muscle); Antigen retrieval by boiling in sodium citrate buffer (pH6.0) for 15 min; Block endogenous peroxidase by 3% hydrogen peroxide for 20 min; Blocking buffer (normal goat serum) at 37°C for 30 min; Incubation with (MFN1) Monoclonal Antibody, Unconjugated (TMAB-01130) at 1:200 overnight at 4°C, followed by operating according to SP Kit (Mouse) instructionsand DAB staining.
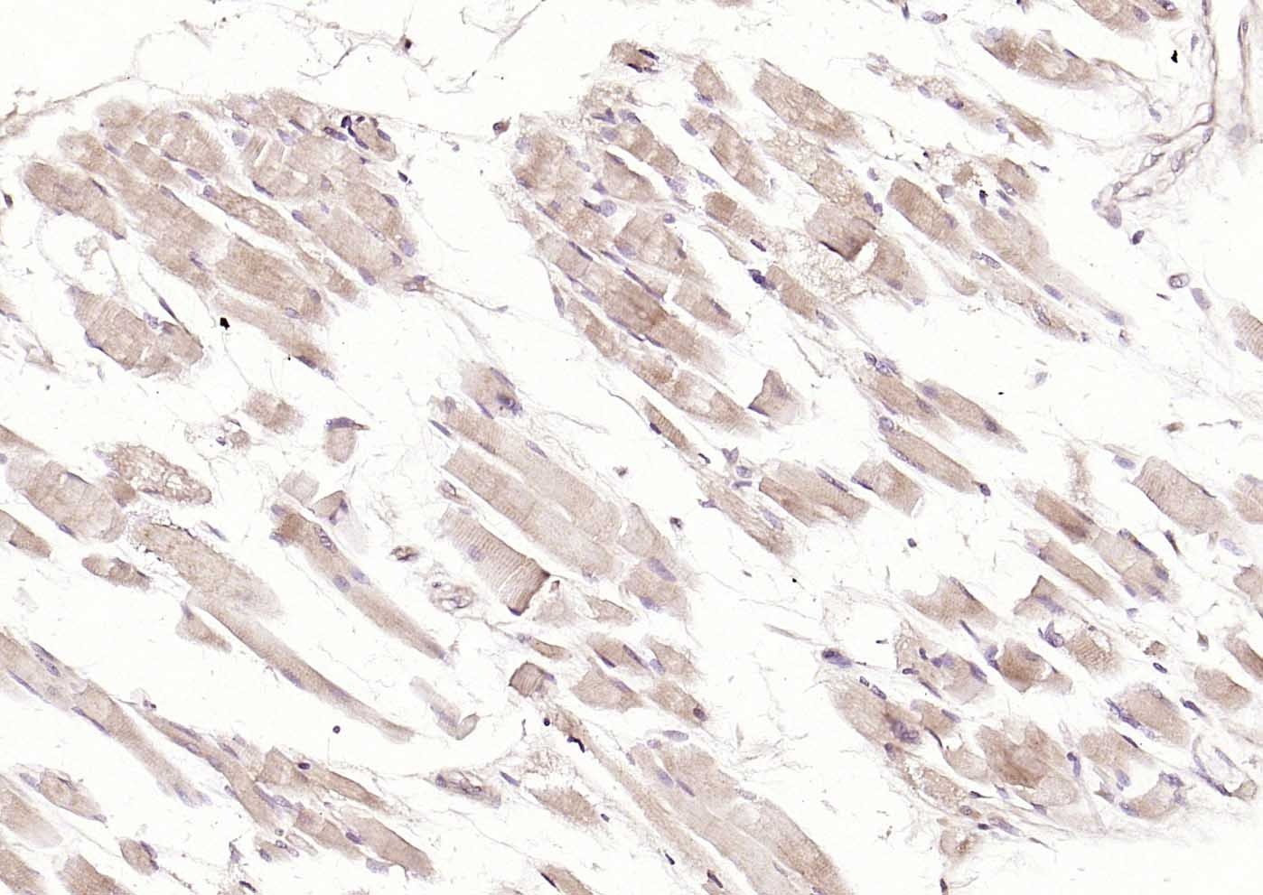
5. Paraformaldehyde-fixed, paraffin embedded (human heart); Antigen retrieval by boiling in sodium citrate buffer (pH6.0) for 15 min; Block endogenous peroxidase by 3% hydrogen peroxide for 20 min; Blocking buffer (normal goat serum) at 37°C for 30 min; Incubation with (MFN1) Monoclonal Antibody, Unconjugated (TMAB-01130) at 1:200 overnight at 4°C, followed by operating according to SP Kit (Mouse) instructionsand DAB staining.
6. Paraformaldehyde-fixed, paraffin embedded (mouse heart); Antigen retrieval by boiling in sodium citrate buffer (pH6.0) for 15 min; Block endogenous peroxidase by 3% hydrogen peroxide for 20 min; Blocking buffer (normal goat serum) at 37°C for 30 min; Incubation with (MFN1) Monoclonal Antibody, Unconjugated (TMAB-01130) at 1:200 overnight at 4°C, followed by operating according to SP Kit (Mouse) instructionsand DAB staining.
7. Paraformaldehyde-fixed, paraffin embedded (rat heart); Antigen retrieval by boiling in sodium citrate buffer (pH6.0) for 15 min; Block endogenous peroxidase by 3% hydrogen peroxide for 20 min; Blocking buffer (normal goat serum) at 37°C for 30 min; Incubation with (MFN1) Monoclonal Antibody, Unconjugated (TMAB-01130) at 1:200 overnight at 4°C, followed by operating according to SP Kit (Mouse) instructionsand DAB staining.
8. Paraformaldehyde-fixed, paraffin embedded (human brain); Antigen retrieval by boiling in sodium citrate buffer (pH6.0) for 15 min; Block endogenous peroxidase by 3% hydrogen peroxide for 20 min; Blocking buffer (normal goat serum) at 37°C for 30 min; Incubation with (MFN1) Monoclonal Antibody, Unconjugated (TMAB-01130) at 1:200 overnight at 4°C, followed by operating according to SP Kit (Mouse) instructionsand DAB staining.
verifiedActivityverifiedActivityverifiedActivityverifiedActivityverifiedActivityverifiedActivityverifiedActivityverifiedActivity
应用ICC/IFIFIHC-FrIHC-PWB
推荐剂量
ICC/IF=1:50-200; IF=1:100-500; IHC-Fr=1:100-500; IHC-P=1:100-500; WB=1:500-2000
抗体种类
Monoclonal
宿主来源Mouse
亚细胞定位Cytoplasm and Mitochondrion outer membrane.
组织特异性Ubiquitous. Expressed at slightly higher level in kidney and heart. Isoform 2 may be overexpressed in some tumors, such as lung cancers.
构建方式Recombinant Antibody
纯化方式Protein G purified
性状Liquid
缓冲液0.01M TBS (pH7.4) with 1% BSA, 0.02% Proclin300 and 50% Glycerol.
浓度1 mg/mL
研究背景Mitofusin 1 (Mfn1) and mitofusin 2 (Mfn2) are homologs for the Drosophila protein fuzzy onion (Fzo). They are mitochondrial membrane proteins and are mediators of mitochondrial fusion. A GTPase domain is required for Mfn protein function but the molecular mechanisms of the GTPase-dependent reaction as well as the functional division of the two Mfn proteins are unknown. They are essential for embryonic development and may play a role in the pathobiology of obesity. Although the Mfn1 and Mfn2 genes are broadly expressed, they show different levels of expression in different tissues. Two Mfn1 transcripts are elevated in heart, while Mfn2 mRNA is abundantly expressed in heart and muscle tissue but present only at low levels in many other tissues. Mfn1 localizes to mitochondria and participates in at least two different high molecular weight protein complexes in a GTP-dependent manner. Purified recombinant Mfn1 exhibited approximately eightfold higher GTPase activity than Mfn2.
抗原信息
基因名称
MFN1
蛋白名称
Mitofusin-1
研究领域
Mitochondrial markers,Mitophagy fission and fusion,Parkinson's disease,GTP,Mitochondria
功能
Essential transmembrane GTPase, which mediates mitochondrial fusion. Fusion of mitochondria occurs in many cell types and constitutes an important step in mitochondria morphology, which is balanced between fusion and fission. MFN1 acts independently of the cytoskeleton. Overexpression induces the formation of mitochondrial networks.
储存&溶解度
储存方式Store at -20°C or -80°C for 12 months. Avoid repeated freeze-thaw cycles.
运输方式Shipping with blue ice.

计算器

  • 稀释 计算器
  • 配液 计算器
Related Tags: buy Anti-MFN1 Antibody (5U87) | purchase Anti-MFN1 Antibody (5U87) | Anti-MFN1 Antibody (5U87) cost | order Anti-MFN1 Antibody (5U87)