购物车
  • TargetMol
    您的购物车当前为空

Anti-MCU Polyclonal Antibody

Synonyms: Mitochondrial Calcium Uniporter, Coiled-coil domain-containing protein 109A, Ccdc109a, C10orf42
货号 TMAB-01121 一键复制产品信息
Rating icon 还可以

Anti-MCU Polyclonal Antibody 是一种 Rabbit 抗体,靶向 MCU。Anti-MCU Polyclonal Antibody 可用于 ELISA,ICC/IF,IF,IHC-Fr,IHC-P,WB。

Anti-MCU Polyclonal Antibody

一键复制产品信息
Rating icon 还可以
货号 TMAB-01121

别名 Mitochondrial Calcium Uniporter, Coiled-coil domain-containing protein 109A, Ccdc109a, C10orf42

Anti-MCU Polyclonal Antibody 是一种 Rabbit 抗体,靶向 MCU。Anti-MCU Polyclonal Antibody 可用于 ELISA,ICC/IF,IF,IHC-Fr,IHC-P,WB。

Anti-MCU Polyclonal Antibody
规格价格库存数量
50 μL
¥ 1,160
5日内发货
100 μL
¥ 1,970
5日内发货
200 μL
¥ 2,780
5日内发货
库存状态实时更新,以官网显示为准,现货产品可直接加购物车下单
大包装 & 定制
加入购物车

TargetMol的所有产品仅用作科学研究或药证申报,不能被用于人体,我们不向个人提供产品和服务。请您遵守承诺用途,不得违反法律法规规定用于任何其他用途。

实验操作小课堂
常见问题解答
查看更多

资源下载:产品操作手册

产品介绍


生物活性
产品描述
Anti-MCU Polyclonal Antibody is a Rabbit antibody targeting MCU. Anti-MCU Polyclonal Antibody can be used in ELISA,ICC/IF,IF,IHC-Fr,IHC-P,WB.
别名
Mitochondrial Calcium Uniporter, Coiled-coil domain-containing protein 109A, Ccdc109a, C10orf42
Ig Type
IgG
反应种属
Mouse,Rat (predicted:Human,Dog,Pig,Cow,Horse,Rabbit,Sheep)
验证活性
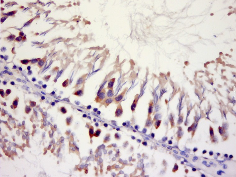
Paraformaldehyde-fixed, paraffin embedded (rat testis); Antigen retrieval by boiling in sodium citrate buffer (pH6.0) for 15 min; Block endogenous peroxidase by 3% hydrogen peroxide for 20 min; Blocking buffer (normal goat serum) at 37°C for 30 min; Antibody incubation with (MCU) Polyclonal Antibody, Unconjugated (TMAB-01121) at 1:500 overnight at 4°C, followed by a conjugated secondary for 20 min and DAB staining.
verifiedActivity
应用ELISAICC/IFIFIHC-FrIHC-PWB
推荐剂量
WB: 1:500-2000; IHC-P: 1:100-500; IHC-Fr: 1:100-500; ICC/IF: 1:100-500; IF: 1:100-500; ELISA: 1:5000-10000
抗体种类
Polyclonal
宿主来源Rabbit
亚细胞定位Membrane.
构建方式Polyclonal Antibody
纯化方式Protein A purified
性状Liquid
缓冲液Preservative: 0.02% Proclin300, Constituents: 1% BSA, 0.01M PBS, pH7.4.
浓度1 mg/mL
研究背景This gene encodes a calcium transporter that localizes to the mitochondrial inner membrane. The encoded protein interacts with mitochondrial calcium uptake 1. Alternative splicing results in multiple transcript variants. [provided by RefSeq, Jul 2012]
抗原信息
免疫原
KLH conjugated synthetic peptide: human MCU
抗原种属
Human
基因名称
MCU
基因ID
蛋白名称
Calcium uniporter protein, mitochondrial
Uniprot ID
研究领域
Cardiac metabolism,Mitochondrial markers
功能
Mitochondrial inner membrane calcium uniporter that mediates calcium uptake into mitochondria. Mitochondrial calcium homeostasis plays key roles in cellular physiology and regulates cell bioenergetics, cytoplasmic calcium signals and activation of cell death pathways. Activity is regulated by MICU1 and MICU2 that stimulate and inhibit MCU activity, respectively. Regulates glucose-dependent insulin secretion in pancreatic beta-cells by regulating mitochondrial calcium uptake. Involved in buffering the amplitude of systolic calcium rises in cardiomyocytes.
化学信息
分子量Theoretical: 40 kDa. Actual: 42 kDa.
储存&溶解度
储存方式Store at -20°C or -80°C for 12 months. Avoid repeated freeze-thaw cycles.
运输方式Shipping with blue ice.

计算器

  • 稀释 计算器
  • 配液 计算器
Related Tags: buy Anti-MCU Polyclonal Antibody | purchase Anti-MCU Polyclonal Antibody | Anti-MCU Polyclonal Antibody cost | order Anti-MCU Polyclonal Antibody | Anti-MCU Polyclonal Antibody molecular weight