购物车
  • TargetMol
    您的购物车当前为空

Anti-MBP Polyclonal Antibody 2

Synonyms: Shi, Myelin basic protein, Myelin A1 protein, Mbp
货号 TMAB-01110 一键复制产品信息
Rating icon 还可以

Anti-MBP Polyclonal Antibody 2 是一种 Rabbit 抗体,靶向 MBP。Anti-MBP Polyclonal Antibody 2 可用于 IF,IHC-Fr,IHC-P,WB。

Anti-MBP Polyclonal Antibody 2

一键复制产品信息
Rating icon 还可以
货号 TMAB-01110

别名 Shi, Myelin basic protein, Myelin A1 protein, Mbp

Anti-MBP Polyclonal Antibody 2 是一种 Rabbit 抗体,靶向 MBP。Anti-MBP Polyclonal Antibody 2 可用于 IF,IHC-Fr,IHC-P,WB。

Anti-MBP Polyclonal Antibody 2
规格价格库存数量
50 μL
¥ 1,170
5日内发货
100 μL
¥ 1,970
5日内发货
200 μL
¥ 2,790
5日内发货
库存状态实时更新,以官网显示为准,现货产品可直接加购物车下单
大包装 & 定制
加入购物车

TargetMol的所有产品仅用作科学研究或药证申报,不能被用于人体,我们不向个人提供产品和服务。请您遵守承诺用途,不得违反法律法规规定用于任何其他用途。

实验操作小课堂
常见问题解答
查看更多

资源下载:产品操作手册

产品介绍


生物活性
产品描述
Anti-MBP Polyclonal Antibody 2 is a Rabbit antibody targeting MBP. Anti-MBP Polyclonal Antibody 2 can be used in IF,IHC-Fr,IHC-P,WB.
别名
Shi, Myelin basic protein, Myelin A1 protein, Mbp
Ig Type
IgG
反应种属
Human,Mouse,Rat (predicted:Dog,Pig,Cow,Horse,Rabbit,Sheep)
验证活性
1. Sample:
Lane 1: Mouse Cerebrum tissue lysates
Lane 2: Rat Cerebrum tissue lysates
Lane 3: Rat Cerebellum tissue lysates
Primary: Anti-MBP (TMAB-01110) at 1/1000 dilution
Secondary: IRDye800CW Goat Anti-Rabbit IgG at 1/20000 dilution
Predicted band size: 33 kDa
Observed band size: 14-21 kDa
2. Paraformaldehyde-fixed, paraffin embedded (rat brain); Antigen retrieval by boiling in sodium citrate buffer (pH6.0) for 15 min; Blocking buffer (normal goat serum) at 37°C for 30 min; Antibody incubation with (MBP) Polyclonal Antibody, Unconjugated (TMAB-01110) at 1:200 overnight at 4°C, followed by a conjugated Goat Anti-Rabbit IgG antibody for 90 minutes, and DAPI for nucleus staining.
3. Paraformaldehyde-fixed, paraffin embedded (human brain); Antigen retrieval by boiling in sodium citrate buffer (pH6.0) for 15 min; Blocking buffer (normal goat serum) at 37°C for 30 min; Antibody incubation with (MBP) Polyclonal Antibody, Unconjugated (TMAB-01110) at 1:200 overnight at 4°C, followed by a conjugated Goat Anti-Rabbit IgG antibody for 90 minutes, and DAPI for nucleus staining.
4. Paraformaldehyde-fixed, paraffin embedded (rat brain); Antigen retrieval by boiling in sodium citrate buffer (pH6.0) for 15 min; Block endogenous peroxidase by 3% hydrogen peroxide for 20 min; Blocking buffer (normal goat serum) at 37°C for 30 min; Antibody incubation with (MBP) Polyclonal Antibody, Unconjugated (TMAB-01110) at 1:200 overnight at 4°C, followed by operating according to SP Kit (Rabbit) instructionsand DAB staining.
5. Paraformaldehyde-fixed, paraffin embedded (mouse brain); Antigen retrieval by boiling in sodium citrate buffer (pH6.0) for 15 min; Block endogenous peroxidase by 3% hydrogen peroxide for 20 min; Blocking buffer (normal goat serum) at 37°C for 30 min; Antibody incubation with (MBP) Polyclonal Antibody, Unconjugated (TMAB-01110) at 1:200 overnight at 4°C, followed by operating according to SP Kit (Rabbit) instructionsand DAB staining.
6. Paraformaldehyde-fixed, paraffin embedded Rat Cerebellum; Antigen retrieval by boiling in sodium citrate buffer (pH6.0) for 15 min; Antibody incubation with MBP Polyclonal Antibody, Unconjugated (TMAB-01110) at 1:200 overnight at 4°C. Followed by conjugated Goat Anti-Rabbit IgG antibody (Purple), DAPI (blue) was used to stain the cell nucleus.
7. Paraformaldehyde-fixed, paraffin embedded Human Cerebellum; Antigen retrieval by boiling in sodium citrate buffer (pH6.0) for 15 min; Antibody incubation with MBP Polyclonal Antibody, Unconjugated (TMAB-01110) at 1:200 overnight at 4°C. Followed by conjugated Goat Anti-Rabbit IgG antibody (Purple), DAPI (blue) was used to stain the cell nucleus.
8. Paraformaldehyde-fixed, paraffin embedded Human Left Parietal Lobe; Antigen retrieval by boiling in sodium citrate buffer (pH6.0) for 15 min; Antibody incubation with MBP Polyclonal Antibody, Unconjugated (TMAB-01110) at 1:200 overnight at 4°C. Followed by conjugated Goat Anti-Rabbit IgG antibody (Purple), DAPI (blue) was used to stain the cell nucleus.
9. Paraformaldehyde-fixed, paraffin embedded Mouse Cerebrum; Antigen retrieval by boiling in sodium citrate buffer (pH6.0) for 15 min; Antibody incubation with MBP Polyclonal Antibody, Unconjugated (TMAB-01110) at 1:200 overnight at 4°C. Followed by conjugated Goat Anti-Rabbit IgG antibody (Purple), DAPI (blue) was used to stain the cell nucleus.
10. Paraformaldehyde-fixed, paraffin embedded Mouse Cerebellum; Antigen retrieval by boiling in sodium citrate buffer (pH6.0) for 15 min; Antibody incubation with MBP Polyclonal Antibody, Unconjugated (TMAB-01110) at 1:200 overnight at 4°C. Followed by conjugated Goat Anti-Rabbit IgG antibody (Purple), DAPI (blue) was used to stain the cell nucleus.
11. Paraformaldehyde-fixed, paraffin embedded Mouse Cerebellum; Antigen retrieval by boiling in sodium citrate buffer (pH6.0) for 15 min; The section was incubated with MBP Polyclonal Antibody, Unconjugated (TMAB-01110) at 1:1500 overnight at 4°C, followed by conjugation to the secondary antibody and DAB staining.
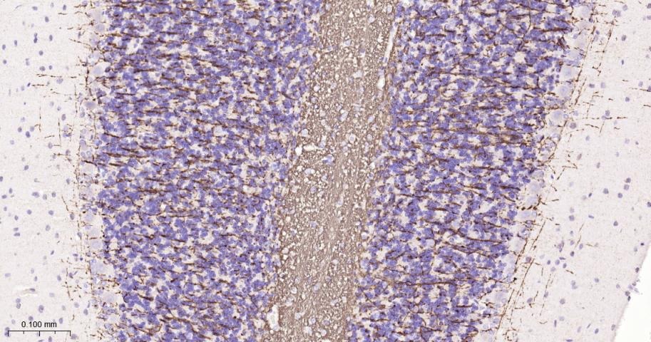
12. Paraformaldehyde-fixed, paraffin embedded Rat Cerebellum; Antigen retrieval by boiling in sodium citrate buffer (pH6.0) for 15 min; The section was incubated with MBP Polyclonal Antibody, Unconjugated (TMAB-01110) at 1:1500 overnight at 4°C, followed by conjugation to the secondary antibody and DAB staining.
13. Paraformaldehyde-fixed, paraffin embedded Human Cerebellum; Antigen retrieval by boiling in sodium citrate buffer (pH6.0) for 15 min; The section was incubated with MBP Polyclonal Antibody, Unconjugated (TMAB-01110) at 1:1500 overnight at 4°C, followed by conjugation to the secondary antibody and DAB staining.
14. Paraformaldehyde-fixed, paraffin embedded Human Cerebrum; Antigen retrieval by boiling in sodium citrate buffer (pH6.0) for 15 min; The section was incubated with MBP Polyclonal Antibody, Unconjugated (TMAB-01110) at 1:1500 overnight at 4°C, followed by conjugation to the secondary antibody and DAB staining.
verifiedActivityverifiedActivityverifiedActivityverifiedActivityverifiedActivityverifiedActivityverifiedActivityverifiedActivityverifiedActivityverifiedActivityverifiedActivityverifiedActivityverifiedActivityverifiedActivity
应用IFIHC-FrIHC-PWB
推荐剂量
WB: 1:1000-5000; IHC-P: 1:500-2000; IHC-Fr: 1:500-2000; IF: 1:500-2000
抗体种类
Polyclonal
宿主来源Rabbit
亚细胞定位Myelin membrane; Peripheral membrane protein; Cytoplasmic side. Note=Cytoplasmic side of myelin.
组织特异性MBP isoforms are found in both the central and the peripheral nervous system, whereas Golli-MBP isoforms are expressed in fetal thymus, spleen and spinal cord, as well as in cell lines derived from the immune system.
构建方式Polyclonal Antibody
纯化方式Protein A purified
性状Liquid
缓冲液0.01M TBS (pH7.4) with 1% BSA, 0.02% Proclin300 and 50% Glycerol.
浓度1 mg/mL
研究背景Oligodendrocyte Marker The classic group of Myelin basic protein (MBP) isoforms (isoforms 4 to 14) are with PLP the most abundant protein components of the myelin membrane in the CNS. They have a role in both its formation and stabilization. The smaller isoforms might have an important role in remyelination of denuded axons in multiple sclerosis. The non classic group of MBP isoforms (isoforms 1 to 3/Golli MBPs) may preferentially have a role in the early developing brain long before myelination, maybe as components of transcriptional complexes, and may also be involved in signaling pathways in T cells and neural cells. Differential splicing events combined to optional posttranslational modifications give a wide spectrum of isomers, each of them having maybe a specialized function.
抗原信息
免疫原
KLH conjugated synthetic peptide: human MBP
抗原种属
Human
基因名称
MBP
基因ID
蛋白名称
Myelin basic protein
Uniprot ID
研究领域
Membrane Proteins,Oligodendrocyte marker,Glial
功能
The classic group of MBP isoforms (isoform 4-isoform 14) are with PLP the most abundant protein components of the myelin membrane in the CNS. They have a role in both its formation and stabilization. The smaller isoforms might have an important role in remyelination of denuded axons in multiple sclerosis. The non-classic group of MBP isoforms (isoform 1-isoform 3/Golli-MBPs) may preferentially have a role in the early developing brain long before myelination, maybe as components of transcriptional complexes, and may also be involved in signaling pathways in T-cells and neural cells. Differential splicing events combined with optional post-translational modifications give a wide spectrum of isomers, with each of them potentially having a specialized function. Induces T-cell proliferation.
化学信息
分子量Theoretical: 33 kDa. Actual: 14-21 kDa.
储存&溶解度
储存方式Store at -20°C or -80°C for 12 months. Avoid repeated freeze-thaw cycles.
运输方式Shipping with blue ice.

计算器

  • 稀释 计算器
  • 配液 计算器
Related Tags: buy Anti-MBP Polyclonal Antibody 2 | purchase Anti-MBP Polyclonal Antibody 2 | Anti-MBP Polyclonal Antibody 2 cost | order Anti-MBP Polyclonal Antibody 2 | Anti-MBP Polyclonal Antibody 2 molecular weight