购物车
  • 全部删除
  • TargetMol
    您的购物车当前为空

Anti-macroH2A.1 Antibody (7A412)

一键复制产品信息
Rating icon 还可以
产品编号 TMAC-02442

Anti-macroH2A.1 Antibody (7A412) 是一种 Rabbit 抗体,靶向 macroH2A.1。Anti-macroH2A.1 Antibody (7A412) 可用于 ICC/IF,IHC,WB。

Anti-macroH2A.1 Antibody (7A412)

Anti-macroH2A.1 Antibody (7A412)

一键复制产品信息
Rating icon 还可以
产品编号 TMAC-02442

Anti-macroH2A.1 Antibody (7A412) 是一种 Rabbit 抗体,靶向 macroH2A.1。Anti-macroH2A.1 Antibody (7A412) 可用于 ICC/IF,IHC,WB。

规格价格库存数量
50 μL
¥ 1,495
5日内发货
100 μL
¥ 2,480
5日内发货
大包装 & 定制
加入购物车
TargetMol 的所有产品仅用作科学研究或药证申报,不能被用于人体,我们不向个人提供产品和服务。请您遵守承诺用途,不得违反法律法规规定用于任何其他用途。
实验操作小课堂
常见问题解答
查看更多
联系我们获取更多批次信息
资源下载

产品介绍

生物活性
产品描述
Anti-macroH2A.1 Antibody (7A412) is a Rabbit antibody targeting macroH2A.1. Anti-macroH2A.1 Antibody (7A412) can be used in ICC/IF,IHC,WB.
Ig Type
IgG
克隆号
7A412
交叉反应
Human,Mouse,Rat
验证活性
1. Western blot analysis of macroH2A.1 on different lysates using anti-macroH2A.1 antibody at 1/500 dilution. Positive control: Lane 1: Hela, Lane 2: Mouse placenta tissue, Lane 3: MCF-7.
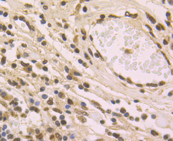
2. Immunohistochemical analysis of paraffin-embedded human lung cancer tissue using anti-macroH2A.1 antibody. Counter stained with hematoxylin.
3. Immunohistochemical analysis of paraffin-embedded human thyroid gland tissue using anti-macroH2A.1 antibody. Counter stained with hematoxylin.
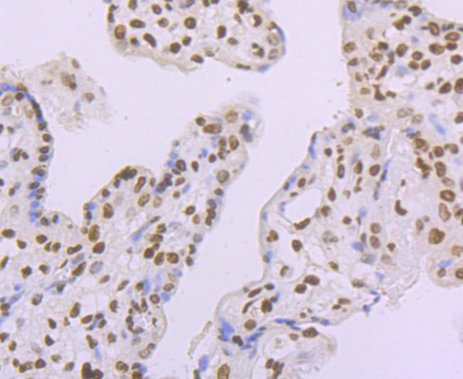
4. Immunohistochemical analysis of paraffin-embedded human placenta tissue using anti-macroH2A.1 antibody. Counter stained with hematoxylin.
5. Immunohistochemical analysis of paraffin-embedded mouse fallopian tube tissue using anti-macroH2A.1 antibody. Counter stained with hematoxylin.
6. ICC staining macroH2A.1 in Hela cells (green). The nuclear counter stain is DAPI (blue). Cells were fixed in paraformaldehyde, permeabilised with 0.25% Triton X100/PBS.
7. ICC staining macroH2A.1 in HepG2 cells (green). The nuclear counter stain is DAPI (blue). Cells were fixed in paraformaldehyde, permeabilised with 0.25% Triton X100/PBS.
8. ICC staining macroH2A.1 in PC-3M cells (green). The nuclear counter stain is DAPI (blue). Cells were fixed in paraformaldehyde, permeabilised with 0.25% Triton X100/PBS.
verifiedActivityverifiedActivityverifiedActivityverifiedActivityverifiedActivityverifiedActivityverifiedActivityverifiedActivity
应用ICC/IFIHCWB
推荐剂量
WB: 1:500-2000; IHC: 1:50-200; ICC/IF: 1:50-200
抗体种类
Monoclonal
宿主来源Rabbit
构建方式Recombinant Antibody
纯化方式ProA affinity purified
性状Liquid
缓冲液1*TBS (pH7.4), 1%BSA, 40%Glycerol. Preservative: 0.05% Sodium Azide.
研究背景Variant histone H2A which replaces conventional H2A in a subset of nucleosomes where it represses transcription. Nucleosomes wrap and compact DNA into chromatin, limiting DNA accessibility to the cellular machineries which require DNA as a template. Histones thereby play a central role in transcription regulation, DNA repair, DNA replication and chromosomal stability. DNA accessibility is regulated via a complex set of post-translational modifications of histones, also called histone code, and nucleosome remodeling. Involved in stable X chromosome inactivation. Inhibits the binding of transcription factors and interferes with the activity of remodeling SWI/SNF complexes. Inhibits histone acetylation by EP300 and recruits class I HDACs, which induces an hypoacetylated state of chromatin. In addition, isoform 1, but not isoform 2, binds ADP-ribose and O-acetyl-ADP-ribose, and may be involved in ADP-ribose-mediated chromatin modulation.
偶联与修饰
偶联
Unconjugated
抗原信息
免疫原
Recombinant Protein
Uniprot ID
化学信息
分子量Theoretical: 40 kDa.
存储&运输
储存方式Store at -20°C or -80°C for 12 months. Avoid repeated freeze-thaw cycles.
运输方式Shipping with blue ice.

计算器

  • 稀释 计算器

评论列表

4个月前
5.0
Rating icon 很棒

评论内容

Related Tags: buy Anti-macroH2A.1 Antibody (7A412) | purchase Anti-macroH2A.1 Antibody (7A412) | Anti-macroH2A.1 Antibody (7A412) cost | order Anti-macroH2A.1 Antibody (7A412) | Anti-macroH2A.1 Antibody (7A412) molecular weight