• TargetMol
    您的购物车当前为空

Anti-LOR/Loricrin Polyclonal Antibody

一键复制产品信息
Rating icon 还可以
货号 TMAB-01079

别名 OTTHUMP00000015823, MGC111513, LRN, Loricrin, LORI, LOR

Anti-LOR/Loricrin Polyclonal Antibody 是一种 Rabbit 抗体,靶向 LOR/Loricrin。Anti-LOR/Loricrin Polyclonal Antibody 可用于 IF,IHC-Fr,IHC-P。

Anti-LOR/Loricrin Polyclonal Antibody

Anti-LOR/Loricrin Polyclonal Antibody

一键复制产品信息
Rating icon 还可以
货号 TMAB-01079 别名 OTTHUMP00000015823, MGC111513, LRN, Loricrin, LORI, LOR

Anti-LOR/Loricrin Polyclonal Antibody 是一种 Rabbit 抗体,靶向 LOR/Loricrin。Anti-LOR/Loricrin Polyclonal Antibody 可用于 IF,IHC-Fr,IHC-P。

规格价格库存数量
50 μL
¥ 1,170
5日内发货
100 μL
¥ 1,975
5日内发货
200 μL
¥ 2,785
5日内发货
库存状态实时更新,以官网显示为准,现货产品可直接加购物车下单
大包装 & 定制
加入购物车
TargetMol的所有产品仅用作科学研究或药证申报,不能被用于人体,我们不向个人提供产品和服务。请您遵守承诺用途,不得违反法律法规规定用于任何其他用途。
实验操作小课堂
常见问题解答
查看更多
资源下载:

产品介绍


生物活性
产品描述
Anti-LOR/Loricrin Polyclonal Antibody is a Rabbit antibody targeting LOR/Loricrin. Anti-LOR/Loricrin Polyclonal Antibody can be used in IF,IHC-Fr,IHC-P.
别名OTTHUMP00000015823, MGC111513, LRN, Loricrin, LORI, LOR
Ig Type
IgG
反应种属
Human (predicted:Horse)
验证活性
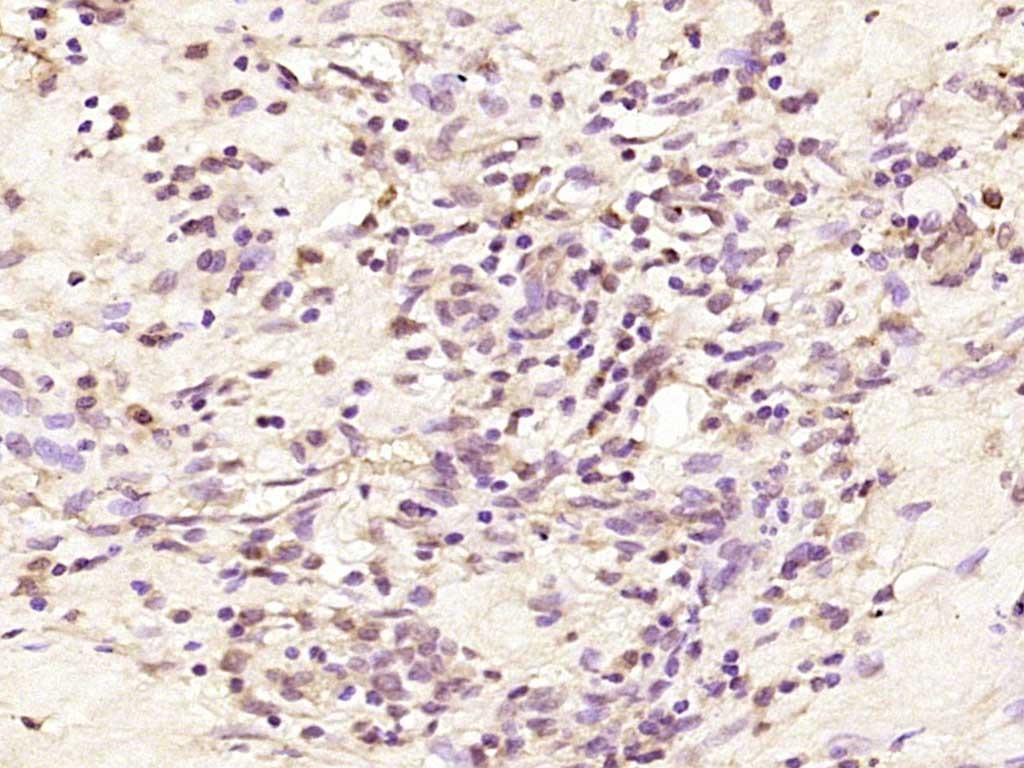
Paraformaldehyde-fixed, paraffin embedded (human skin); Antigen retrieval by boiling in sodium citrate buffer (pH6.0) for 15 min; Block endogenous peroxidase by 3% hydrogen peroxide for 20 min; Blocking buffer (normal goat serum) at 37°C for 30 min; Antibody incubation with (LOR) Polyclonal Antibody, Unconjugated (TMAB-01079) at 1:200 overnight at 4°C, followed by operating according to SP Kit (Rabbit) instructionsand DAB staining.
verifiedActivity
应用IFIHC-FrIHC-P
推荐剂量
IHC-P: 1:100-500; IHC-Fr: 1:100-500; IF: 1:100-500
抗体种类
Polyclonal
宿主来源Rabbit
亚细胞定位Cytoplasm. Nucleus;nucleoplasm.
构建方式Polyclonal Antibody
纯化方式Protein A purified
性状Liquid
缓冲液0.01M TBS (pH7.4) with 1% BSA, 0.02% Proclin300 and 50% Glycerol.
浓度1 mg/mL
研究背景This gene encodes loricrin, a major protein component of the cornified cell envelope found in terminally differentiated epidermal cells. Mutations in this gene are associated with Vohwinkel's syndrome and progressive symmetric erythrokeratoderma, both inherited skin diseases. [provided by RefSeq, Jul 2008]
抗原信息
免疫原
KLH conjugated synthetic peptide: human LOR/Loricrin
抗原种属
Human
基因名称
LORICRIN
基因ID
蛋白名称
Loricrin
Uniprot ID
研究领域
Cell differentiation,Cytokeratin,Other Cell Types
功能
Major keratinocyte cell envelope protein.
化学信息
分子量Theoretical: 26 kDa.
储存&溶解度
储存方式Store at -20°C or -80°C for 12 months. Avoid repeated freeze-thaw cycles.
运输方式Shipping with blue ice.
存储store at low temperature | store at -20°C

计算器

  • 稀释 计算器
Related Tags: buy Anti-LOR/Loricrin Polyclonal Antibody | purchase Anti-LOR/Loricrin Polyclonal Antibody | Anti-LOR/Loricrin Polyclonal Antibody cost | order Anti-LOR/Loricrin Polyclonal Antibody | Anti-LOR/Loricrin Polyclonal Antibody molecular weight