购物车
  • TargetMol
    您的购物车当前为空

Anti-Lipoyl synthase Polyclonal Antibody

Synonyms: mitochondrial, Lipoyl synthase, mitochondrial, Lipoic acid synthase, Lipoate synthase (LS;Lip-syn), LIAS, LAS
货号 TMAB-01075 一键复制产品信息
Rating icon 还可以

Anti-Lipoyl synthase Polyclonal Antibody 是一种 Rabbit 抗体,靶向 Lipoyl synthase。Anti-Lipoyl synthase Polyclonal Antibody 可用于 IF, IHC-Fr, IHC-P, WB。

Anti-Lipoyl synthase Polyclonal Antibody

一键复制产品信息
Rating icon 还可以
货号 TMAB-01075

别名 mitochondrial, Lipoyl synthase, mitochondrial, Lipoic acid synthase, Lipoate synthase (LS;Lip-syn), LIAS, LAS

Anti-Lipoyl synthase Polyclonal Antibody 是一种 Rabbit 抗体,靶向 Lipoyl synthase。Anti-Lipoyl synthase Polyclonal Antibody 可用于 IF, IHC-Fr, IHC-P, WB。

Anti-Lipoyl synthase Polyclonal Antibody
规格价格库存数量
50 μL
¥ 1,170
5日内发货
100 μL
¥ 1,970
5日内发货
200 μL
¥ 2,780
5日内发货
库存状态实时更新,以官网显示为准,现货产品可直接加购物车下单
大包装 & 定制
加入购物车

TargetMol的所有产品仅用作科学研究或药证申报,不能被用于人体,我们不向个人提供产品和服务。请您遵守承诺用途,不得违反法律法规规定用于任何其他用途。

实验操作小课堂
常见问题解答
查看更多

资源下载:产品操作手册

产品介绍


生物活性
产品描述
Anti-Lipoyl synthase Polyclonal Antibody is a Rabbit antibody targeting Lipoyl synthase. Anti-Lipoyl synthase Polyclonal Antibody can be used in IF, IHC-Fr, IHC-P, WB.
别名
mitochondrial, Lipoyl synthase, mitochondrial, Lipoic acid synthase, Lipoate synthase (LS;Lip-syn), LIAS, LAS
Ig Type
IgG
反应种属
Mouse (predicted:Human,Rat,Chicken,Dog,Pig,Cow,Horse,Rabbit,Sheep)
验证活性
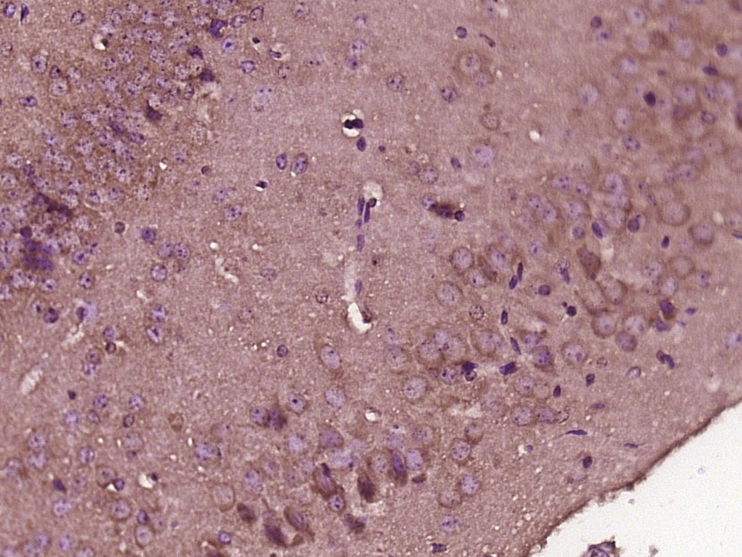
Paraformaldehyde-fixed, paraffin embedded (Mouse brain); Antigen retrieval by boiling in sodium citrate buffer (pH6.0) for 15 min; Block endogenous peroxidase by 3% hydrogen peroxide for 20 min; Blocking buffer (normal goat serum) at 37°C for 30 min; Antibody incubation with (LIAS) Polyclonal Antibody, Unconjugated (TMAB-01075) at 1:500 overnight at 4°C, followed by a conjugated secondary for 20 min and DAB staining.
verifiedActivity
应用IFIHC-FrIHC-PWB
推荐剂量
IF=1:100-500; IHC-Fr=1:100-500; IHC-P=1:100-500; WB=1:500-2000
抗体种类
Polyclonal
宿主来源Rabbit
亚细胞定位Mitochondrial
构建方式Polyclonal Antibody
纯化方式Protein A purified
性状Liquid
缓冲液0.01M TBS (pH7.4) with 1% BSA, 0.02% Proclin300 and 50% Glycerol.
浓度1 mg/mL
研究背景The protein encoded by this gene belongs to the biotin and lipoic acid synthetases family. It localizes in mitochondrion and plays an important role in alpha-(+)-lipoic acid synthesis. It may also function in the sulfur insertion chemistry in lipoate biosynthesis. Alternative splicing occurs at this locus and two transcript variants encoding distinct isoforms have been identified. [provided by RefSeq, Jul 2008]
抗原信息
免疫原
KLH conjugated synthetic peptide: human LIAS
抗原种属
Human
基因名称
LIAS
基因ID
蛋白名称
Lipoyl synthase, mitochondrial
Uniprot ID
研究领域
Mitochondria,Mitochondrial,Mitochondrial markers
功能
LIAS (Lipoic acid synthetase) is involved in the synthesis of alpha-(+)-lipoic acid. It may have a role in the sulfur insertion chemistry in lipoate biosynthesis.
化学信息
分子量Theoretical: 39 kDa.
储存&溶解度
储存方式Store at -20°C or -80°C for 12 months. Avoid repeated freeze-thaw cycles.
运输方式Shipping with blue ice.

计算器

  • 稀释 计算器
  • 配液 计算器

关键词

Related Tags: buy Anti-Lipoyl synthase Polyclonal Antibody | purchase Anti-Lipoyl synthase Polyclonal Antibody | Anti-Lipoyl synthase Polyclonal Antibody cost | order Anti-Lipoyl synthase Polyclonal Antibody | Anti-Lipoyl synthase Polyclonal Antibody molecular weight