购物车
  • 全部删除
  • TargetMol
    您的购物车当前为空

Anti-Lipocalin-2/LCN2 Antibody (7O248)

一键复制产品信息
Rating icon 还可以
产品编号 TMAC-02840
别名 Siderocalin LCN2, p25, Oncogene 24p3, NGAL, MSFI, Lipocalin-2

Anti-Lipocalin-2/LCN2 Antibody (7O248) 是一种 Mouse 抗体,靶向 Lipocalin-2/LCN2。Anti-Lipocalin-2/LCN2 Antibody (7O248) 可用于 ICC,IHC,WB。

Anti-Lipocalin-2/LCN2 Antibody (7O248)

Anti-Lipocalin-2/LCN2 Antibody (7O248)

一键复制产品信息
Rating icon 还可以
产品编号 TMAC-02840 别名 Siderocalin LCN2, p25, Oncogene 24p3, NGAL, MSFI, Lipocalin-2

Anti-Lipocalin-2/LCN2 Antibody (7O248) 是一种 Mouse 抗体,靶向 Lipocalin-2/LCN2。Anti-Lipocalin-2/LCN2 Antibody (7O248) 可用于 ICC,IHC,WB。

规格价格库存数量
50 μL
¥ 1,995
5日内发货
100 μL
¥ 2,985
5日内发货
大包装 & 定制
加入购物车
TargetMol 的所有产品仅用作科学研究或药证申报,不能被用于人体,我们不向个人提供产品和服务。请您遵守承诺用途,不得违反法律法规规定用于任何其他用途。
实验操作小课堂
常见问题解答
查看更多
联系我们获取更多批次信息
资源下载

产品介绍

生物活性
产品描述
Anti-Lipocalin-2/LCN2 Antibody (7O248) is a Mouse antibody targeting Lipocalin-2/LCN2. Anti-Lipocalin-2/LCN2 Antibody (7O248) can be used in ICC,IHC,WB.
别名Siderocalin LCN2, p25, Oncogene 24p3, NGAL, MSFI, Lipocalin-2
克隆号
7O248
交叉反应
Human
验证活性
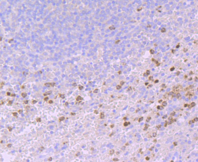
1. Immunohistochemical analysis of paraffin-embedded human spleen tissue using anti-NGAL Tubulin antibody. Counter stained with hematoxylin.
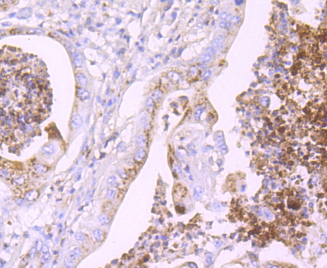
2. Immunohistochemical analysis of paraffin-embedded human stomach cancer tissue using anti-NGAL antibody. Counter stained with hematoxylin.
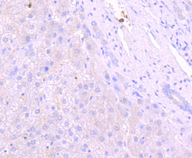
3. Immunohistochemical analysis of paraffin-embedded huamn liver tissue using anti-NGAL antibody. Counter stained with hematoxylin.
4. ICC staining NGAL in A431 cells (red). The nuclear counter stain is DAPI (blue). Cells were fixed in paraformaldehyde, permeabilised with 0.25% Triton X100/PBS.
5. ICC staining NGAL in NIH-3T3 cells (red). The nuclear counter stain is DAPI (blue). Cells were fixed in paraformaldehyde, permeabilised with 0.25% Triton X100/PBS.
6. ICC staining NGAL in SW480 cells (red). The nuclear counter stain is DAPI (blue).Cells were fixed in paraformaldehyde, permeabilised with 0.25% Triton X100/PBS.
verifiedActivityverifiedActivityverifiedActivityverifiedActivityverifiedActivityverifiedActivity
应用ICCIHCWB
推荐剂量
WB: 1:1000; IHC: 1:50-200; ICC: 1:50-200
抗体种类
Monoclonal
宿主来源Mouse
构建方式Hybridoma Monoclonal Antibody
性状Liquid
缓冲液1*TBS (pH7.4), 1%BSA, 40%Glycerol. Preservative: 0.11% Sodium Azide.
研究背景In addition to the monomeric mammalian progelatinase, two additional forms of progelatinase have been identified. The shorter of these additional forms is a covalently linked, disulfide-bridged protein that heterodimerizes with a short protein; an α2-Microglobulin-related protein known as neutrophil gelatinase-associated lipocalin (NGAL), which is moderately expressed in breast and lung tissues. NGAL belongs to the lipocalin family and has a high degree of similarity with rat α2-Microglobulin-related protein and mouse protein 24p3. NGAL is able to bind a derivative of the bacterial chemotactic peptide, suggesting that it has important immuno-modulatory functions. NGAL has been described as an inflammatory protein; it is released into the circulation as a result of the inflammatory activation of leukocytes initiated by the extra-corporeal circulation. In addition, NGAL synthesis is induced in epithelial cells in inflammatory and neoplastic colorectal diseases. In conclusion, NGAL may serve as a scavenger of bacterial products to function in the inflammatory process.
偶联与修饰
偶联
Unconjugated
抗原信息
免疫原
Recombinant Protein
Uniprot ID
化学信息
分子量Theoretical: 22 kDa.
存储&运输
储存方式Store at -20°C or -80°C for 12 months. Avoid repeated freeze-thaw cycles.
运输方式Shipping with blue ice.

计算器

  • 稀释 计算器

评论列表

4个月前
5.0
Rating icon 很棒

评论内容

Related Tags: buy Anti-Lipocalin-2/LCN2 Antibody (7O248) | purchase Anti-Lipocalin-2/LCN2 Antibody (7O248) | Anti-Lipocalin-2/LCN2 Antibody (7O248) cost | order Anti-Lipocalin-2/LCN2 Antibody (7O248) | Anti-Lipocalin-2/LCN2 Antibody (7O248) molecular weight