• TargetMol
    您的购物车当前为空

Anti-Leptin Polyclonal Antibody

一键复制产品信息
Rating icon 还可以
货号 TMAB-01059

别名 obese, ob, leptin

Anti-Leptin Polyclonal Antibody 是一种 Rabbit 抗体,靶向 Leptin。Anti-Leptin Polyclonal Antibody 可用于 IF,IHC-Fr,IHC-P。

Anti-Leptin Polyclonal Antibody

Anti-Leptin Polyclonal Antibody

一键复制产品信息
Rating icon 还可以
货号 TMAB-01059 别名 obese, ob, leptin

Anti-Leptin Polyclonal Antibody 是一种 Rabbit 抗体,靶向 Leptin。Anti-Leptin Polyclonal Antibody 可用于 IF,IHC-Fr,IHC-P。

规格价格库存数量
50 μL
¥ 1,170
5日内发货
100 μL
¥ 1,960
5日内发货
200 μL
¥ 2,780
5日内发货
库存状态实时更新,以官网显示为准,现货产品可直接加购物车下单
大包装 & 定制
加入购物车
TargetMol的所有产品仅用作科学研究或药证申报,不能被用于人体,我们不向个人提供产品和服务。请您遵守承诺用途,不得违反法律法规规定用于任何其他用途。
实验操作小课堂
常见问题解答
查看更多
资源下载:

产品介绍


生物活性
产品描述
Anti-Leptin Polyclonal Antibody is a Rabbit antibody targeting Leptin. Anti-Leptin Polyclonal Antibody can be used in IF,IHC-Fr,IHC-P.
别名obese, ob, leptin
Ig Type
IgG
反应种属
Human,Mouse,Rat (predicted:Pig,Sheep)
验证活性
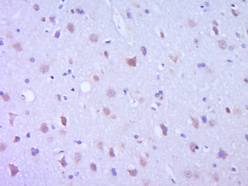
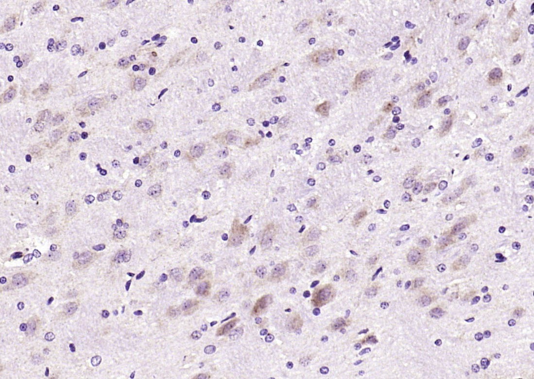
1. Paraformaldehyde-fixed, paraffin embedded (Rat brain); Antigen retrieval by boiling in sodium citrate buffer (pH6.0) for 15 min; Block endogenous peroxidase by 3% hydrogen peroxide for 20 min; Blocking buffer (normal goat serum) at 37°C for 30 min; Antibody incubation with (Leptin) Polyclonal Antibody, Unconjugated (TMAB-01059) at 1:400 overnight at 4°C, followed by operating according to SP Kit (Rabbit) instructions and DAB staining.
2. Paraformaldehyde-fixed, paraffin embedded (mouse brain); Antigen retrieval by boiling in sodium citrate buffer (pH6.0) for 15 min; Block endogenous peroxidase by 3% hydrogen peroxide for 20 min; Blocking buffer (normal goat serum) at 37°C for 30 min; Antibody incubation with (Leptin) Polyclonal Antibody, Unconjugated (TMAB-01059) at 1:200 overnight at 4°C, followed by operating according to SP Kit (Rabbit) instructionsand DAB staining.
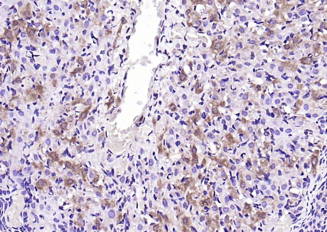
3. Paraformaldehyde-fixed, paraffin embedded (rat ovary); Antigen retrieval by boiling in sodium citrate buffer (pH6.0) for 15 min; Block endogenous peroxidase by 3% hydrogen peroxide for 20 min; Blocking buffer (normal goat serum) at 37°C for 30 min; Antibody incubation with (Leptin) Polyclonal Antibody, Unconjugated (TMAB-01059) at 1:200 overnight at 4°C, followed by operating according to SP Kit (Rabbit) instructionsand DAB staining.
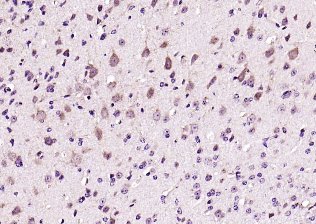
4. Paraformaldehyde-fixed, paraffin embedded (rat brain); Antigen retrieval by boiling in sodium citrate buffer (pH6.0) for 15 min; Block endogenous peroxidase by 3% hydrogen peroxide for 20 min; Blocking buffer (normal goat serum) at 37°C for 30 min; Antibody incubation with (Leptin) Polyclonal Antibody, Unconjugated (TMAB-01059) at 1:200 overnight at 4°C, followed by operating according to SP Kit (Rabbit) instructionsand DAB staining.
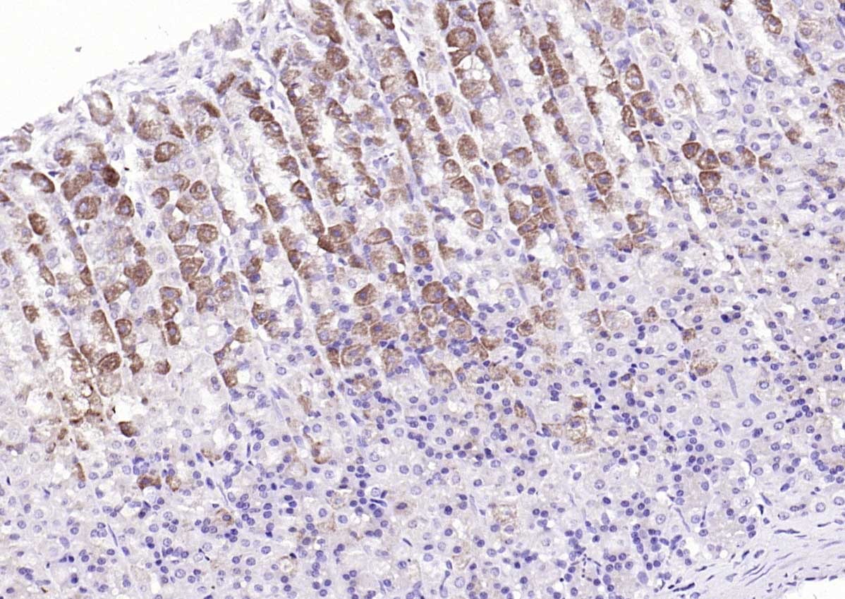
5. Paraformaldehyde-fixed, paraffin embedded (rat stomach); Antigen retrieval by boiling in sodium citrate buffer (pH6.0) for 15 min; Block endogenous peroxidase by 3% hydrogen peroxide for 20 min; Blocking buffer (normal goat serum) at 37°C for 30 min; Antibody incubation with (Leptin) Polyclonal Antibody, Unconjugated (TMAB-01059) at 1:2000 overnight at 4°C, followed by operating according to SP Kit (Rabbit) instructionsand DAB staining.
verifiedActivityverifiedActivityverifiedActivityverifiedActivityverifiedActivity
应用IFIHC-FrIHC-P
推荐剂量
IHC-P: 1:100-500; IHC-Fr: 1:100-500; IF: 1:100-500
抗体种类
Polyclonal
宿主来源Rabbit
亚细胞定位Secreted.
构建方式Polyclonal Antibody
纯化方式Protein A purified
性状Liquid
缓冲液0.01M TBS (pH7.4) with 1% BSA, 0.02% Proclin300 and 50% Glycerol.
浓度1 mg/mL
研究背景Leptin, the product of the ob (obese) gene, is a 16kD protein consisting of 146 amino acid residues. Leptin is produced in the adipose tissue, and is considered to play an important role in appetite control, fat metabolism and regulation of body weight. It targets the central nervous system, particularly hypothalamus, affecting food intake. Leptin levels are high in most obese individuals. Studies have shown that it may also influence reproductive function.
抗原信息
免疫原
KLH conjugated synthetic peptide: human Leptin
抗原种属
Human
基因名称
LEP
基因ID
蛋白名称
Leptin
Uniprot ID
研究领域
Adipogenesis,Hormones,Metabolism,Obesity,Heart disease,Cancer,Diabetes associated
功能
May function as part of a signaling pathway that acts to regulate the size of the body fat depot. An increase in the level of LEP may act directly or indirectly on the CNS to inhibit food intake and/or regulate energy expenditure as part of a homeostatic mechanism to maintain constancy of the adipose mass.
化学信息
分子量Theoretical: 16 kDa.
储存&溶解度
储存方式Store at -20°C or -80°C for 12 months. Avoid repeated freeze-thaw cycles.
运输方式Shipping with blue ice.
存储store at low temperature | store at -20°C

计算器

  • 稀释 计算器
Related Tags: buy Anti-Leptin Polyclonal Antibody | purchase Anti-Leptin Polyclonal Antibody | Anti-Leptin Polyclonal Antibody cost | order Anti-Leptin Polyclonal Antibody | Anti-Leptin Polyclonal Antibody molecular weight