购物车
  • 全部删除
  • TargetMol
    您的购物车当前为空

Anti-LAMP1 Antibody (8L40)

一键复制产品信息
Rating icon 还可以
产品编号 TMAC-02366
别名 lysosomal-associated membrane protein 1

Anti-LAMP1 Antibody (8L40) 是一种 Rabbit 抗体,靶向 LAMP1。Anti-LAMP1 Antibody (8L40) 可用于 IHC,WB。

Anti-LAMP1 Antibody (8L40)

Anti-LAMP1 Antibody (8L40)

一键复制产品信息
Rating icon 还可以
产品编号 TMAC-02366 别名 lysosomal-associated membrane protein 1

Anti-LAMP1 Antibody (8L40) 是一种 Rabbit 抗体,靶向 LAMP1。Anti-LAMP1 Antibody (8L40) 可用于 IHC,WB。

规格价格库存数量
50 μL
¥ 1,480
5日内发货
100 μL
¥ 2,480
5日内发货
大包装 & 定制
加入购物车
TargetMol 的所有产品仅用作科学研究或药证申报,不能被用于人体,我们不向个人提供产品和服务。请您遵守承诺用途,不得违反法律法规规定用于任何其他用途。
实验操作小课堂
常见问题解答
查看更多
联系我们获取更多批次信息
资源下载

产品介绍

生物活性
产品描述
Anti-LAMP1 Antibody (8L40) is a Rabbit antibody targeting LAMP1. Anti-LAMP1 Antibody (8L40) can be used in IHC,WB.
别名lysosomal-associated membrane protein 1
Ig Type
IgG
克隆号
8L40
交叉反应
Human
验证活性
1. Western blot analysis of LAMP1 on different lysates using anti-LAMP1 antibody at 1/1,000 dilution. Positive control: Lane 1: Hela, Lane 2: Jurkat.
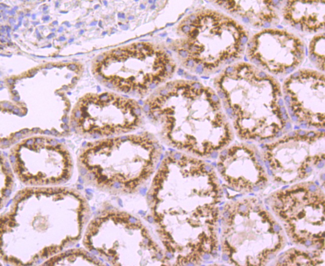
2. Immunohistochemical analysis of paraffin-embedded human kidney tissue using anti-LAMP1 antibody. Counter stained with hematoxylin.
verifiedActivityverifiedActivity
应用IHCWB
推荐剂量
WB: 1:1000-2000; IHC: 1:50-200
抗体种类
Monoclonal
宿主来源Rabbit
构建方式Recombinant Antibody
纯化方式ProA affinity purified
性状Liquid
缓冲液1*TBS (pH7.4), 1%BSA, 40%Glycerol. Preservative: 0.05% Sodium Azide.
研究背景Lysosome-associated membrane proteins (LAMP) are glycosylated type I membrane proteins that play a role in the biogenesis of the pigment melanin. LAMP-1 (also designated CD107a) and LAMP-2 (also designated CD107b) are involved in a variety of functions, including cellular adhesion, and are thought to participate in the process of tumor invasion and metastasis. Newly synthesized LAMP-1 and LAMP-2 proteins are sorted at the trans-Golgi network and are transported intracellularly via a pathway that is distinct from the Clathrin-coated vesicles used for the mannose-6 phosphate receptor. LAMP-1 is expressed on the surface of Thrombin-activated but not resting platelets, and it is thought to be involved in the adhesive, prothrombic properties of these cells. Both LAMP-1 and LAMP-2 are involved in maintaining lysosome acidity and protecting the lysosomal membranes from autodigestion, and their expression is increased in patients with lysosomal storage disorders.
偶联与修饰
偶联
Unconjugated
抗原信息
免疫原
Recombinant Protein
Uniprot ID
化学信息
分子量Theoretical: 120 kDa.
存储&运输
储存方式Store at -20°C or -80°C for 12 months. Avoid repeated freeze-thaw cycles.
运输方式Shipping with blue ice.

计算器

  • 稀释 计算器

评论列表

4个月前
5.0
Rating icon 很棒

评论内容

Related Tags: buy Anti-LAMP1 Antibody (8L40) | purchase Anti-LAMP1 Antibody (8L40) | Anti-LAMP1 Antibody (8L40) cost | order Anti-LAMP1 Antibody (8L40) | Anti-LAMP1 Antibody (8L40) molecular weight