购物车
  • TargetMol
    您的购物车当前为空

Anti-KRT19 Antibody (2L986)

Synonyms: type I cytoskeletal 19, KRT19, Keratin-19 (K19), Keratin, type I cytoskeletal 19, Cytokeratin-19 (CK-19)
货号 TMAB-01038 一键复制产品信息
Rating icon 还可以

Anti-KRT19 Antibody (2L986) 是一种 Mouse 抗体,靶向 KRT19。Anti-KRT19 Antibody (2L986) 可用于 ICC/IF, IF, IHC-Fr, IHC-P, WB。

Anti-KRT19 Antibody (2L986)

一键复制产品信息
Rating icon 还可以
货号 TMAB-01038

别名 type I cytoskeletal 19, KRT19, Keratin-19 (K19), Keratin, type I cytoskeletal 19, Cytokeratin-19 (CK-19)

Anti-KRT19 Antibody (2L986) 是一种 Mouse 抗体,靶向 KRT19。Anti-KRT19 Antibody (2L986) 可用于 ICC/IF, IF, IHC-Fr, IHC-P, WB。

Anti-KRT19 Antibody (2L986)
规格价格库存数量
50 μL
¥ 1,160
5日内发货
100 μL
¥ 1,965
5日内发货
200 μL
¥ 2,795
5日内发货
库存状态实时更新,以官网显示为准,现货产品可直接加购物车下单
大包装 & 定制
加入购物车

TargetMol的所有产品仅用作科学研究或药证申报,不能被用于人体,我们不向个人提供产品和服务。请您遵守承诺用途,不得违反法律法规规定用于任何其他用途。

实验操作小课堂
常见问题解答
查看更多

资源下载:产品操作手册

产品介绍


生物活性
产品描述
Anti-KRT19 Antibody (2L986) is a Mouse antibody targeting KRT19. Anti-KRT19 Antibody (2L986) can be used in ICC/IF, IF, IHC-Fr, IHC-P, WB.
别名
type I cytoskeletal 19, KRT19, Keratin-19 (K19), Keratin, type I cytoskeletal 19, Cytokeratin-19 (CK-19)
Ig Type
IgG
克隆号
2L986
反应种属
Human,Mouse,Rat
验证活性
1. MCF-7 cell; 4% Paraformaldehyde-fixed; Triton X-100 at room temperature for 20 min; Blocking buffer (normal goat serum) at 37°C for 20 min; Antibody incubation with (Cytokeratin 19) monoclonal Antibody, Unconjugated (TMAB-01038) 1:100, 90 minutes at 37°C; followed by a conjugated Goat Anti-Mouse IgG antibody at 37°C for 90 minutes, DAPI (blue) was used to stain the cell nucleus.
2. Paraformaldehyde-fixed, paraffin embedded (Human pancreas); Antigen retrieval by boiling in sodium citrate buffer (pH6.0) for 15 min; Block endogenous peroxidase by 3% hydrogen peroxide for 20 min; Blocking buffer (normal goat serum) at 37°C for 30 min; Antibody incubation with (Cytokeratin 19) Monoclonal Antibody, Unconjugated (ascites of TMAB-01038) at 1:2000 overnight at 4°C, followed by operating according to SP Kit (Mouse) instructions and DAB staining.
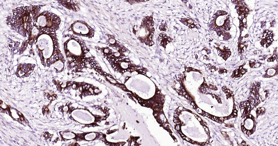
3. Paraformaldehyde-fixed, paraffin embedded (mouse colon); Antigen retrieval by boiling in sodium citrate buffer (pH6.0) for 15 min; Block endogenous peroxidase by 3% hydrogen peroxide for 20 min; Blocking buffer (normal goat serum) at 37°C for 30 min; Antibody incubation with (Cytokeratin 19) Monoclonal Antibody, Unconjugated (TMAB-01038) at 1:200 overnight at 4°C, followed by operating according to SP Kit (Mouse) instructionsand DAB staining.
4. Paraformaldehyde-fixed, paraffin embedded (Human esophageal); Antigen retrieval by boiling in sodium citrate buffer (pH6.0) for 15 min; Block endogenous peroxidase by 3% hydrogen peroxide for 20 min; Blocking buffer (normal goat serum) at 37°C for 30 min; Antibody incubation with (Cytokeratin 19) Monoclonal Antibody, Unconjugated (TMAB-01038) at 1:200 overnight at 4°C, followed by operating according to SP Kit (Mouse) instructionsand DAB staining.
5. Paraformaldehyde-fixed, paraffin embedded (mouse bladder); Antigen retrieval by boiling in sodium citrate buffer (pH6.0) for 15 min; Block endogenous peroxidase by 3% hydrogen peroxide for 20 min; Blocking buffer (normal goat serum) at 37°C for 30 min; Antibody incubation with (Cytokeratin 19) Monoclonal Antibody, Unconjugated (ascites of TMAB-01038) at 1:2000 overnight at 4°C, followed by operating according to SP Kit (Mouse) instructions and DAB staining.
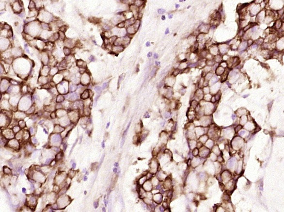
6. Paraformaldehyde-fixed, paraffin embedded (Human breast cancer); Antigen retrieval by boiling in sodium citrate buffer (pH6.0) for 15 min; Block endogenous peroxidase by 3% hydrogen peroxide for 20 min; Blocking buffer (normal goat serum) at 37°C for 30 min; Antibody incubation with (Cytokeratin 19) Monoclonal Antibody, Unconjugated (ascites of TMAB-01038) at 1:2000 overnight at 4°C, followed by operating according to SP Kit (Mouse) instructions and DAB staining.
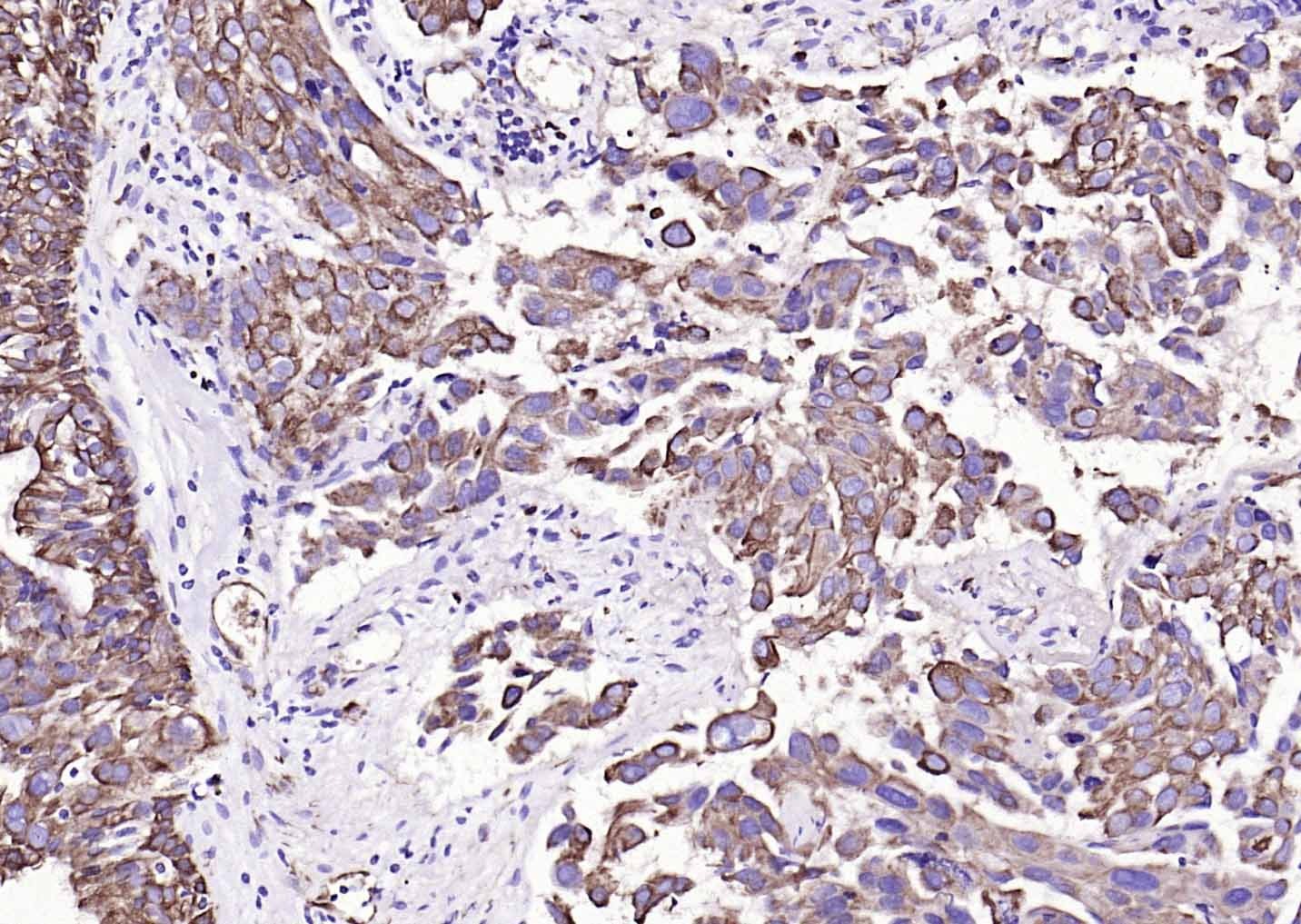
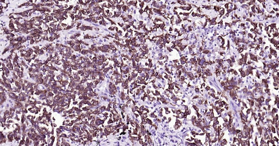
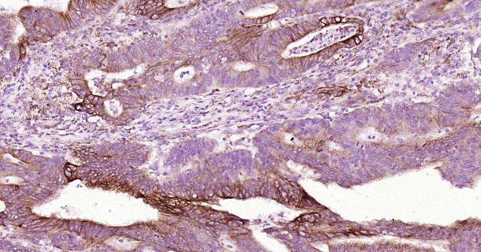
7. Paraformaldehyde-fixed, paraffin embedded (Human stomach cancer); Antigen retrieval by boiling in sodium citrate buffer (pH6.0) for 15 min; Block endogenous peroxidase by 3% hydrogen peroxide for 20 min; Blocking buffer (normal goat serum) at 37°C for 30 min; Antibody incubation with (Cytokeratin 19) Monoclonal Antibody, Unconjugated (TMAB-01038) at 1:400 overnight at 4°C, followed by operating according to SP Kit (Mouse) instructionsand DAB staining.
8. Paraformaldehyde-fixed, paraffin embedded Human Lung Cancer; Antigen retrieval by boiling in sodium citrate buffer (pH6.0) for 15 min; Antibody incubation with Cytokeratin 19 Monoclonal Antibody, Unconjugated (ascites of TMAB-01038) at 1:800 overnight at 4°C, followed by conjugation to the secondary antibody and DAB staining.
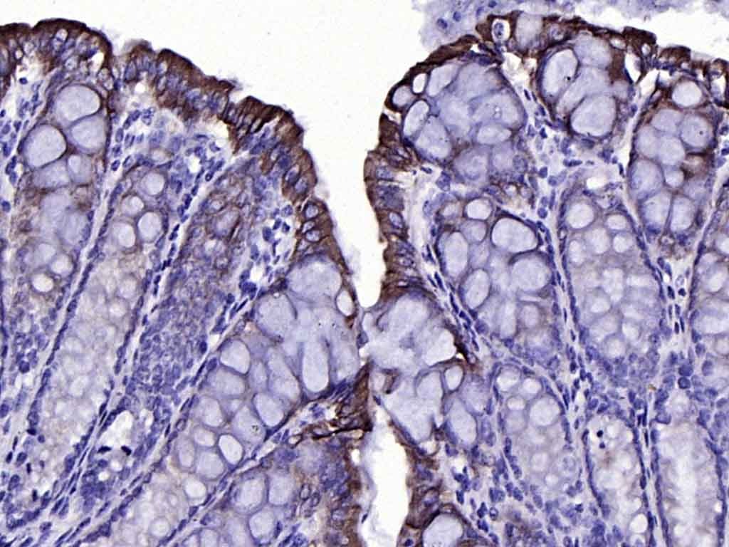
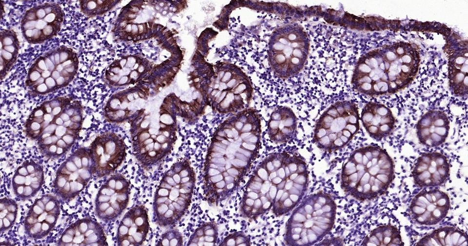
9. Paraformaldehyde-fixed, paraffin embedded Human Colon; Antigen retrieval by boiling in sodium citrate buffer (pH6.0) for 15 min; Antibody incubation with Cytokeratin 19 Monoclonal Antibody, Unconjugated (ascites of TMAB-01038) at 1:800 overnight at 4°C, followed by conjugation to the secondary antibody and DAB staining.
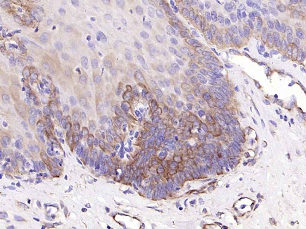
10. Paraformaldehyde-fixed, paraffin embedded Human Rectal Cancer; Antigen retrieval by boiling in sodium citrate buffer (pH6.0) for 15 min; Antibody incubation with Cytokeratin 19 Monoclonal Antibody, Unconjugated (ascites of TMAB-01038) at 1:800 overnight at 4°C, followed by conjugation to the secondary antibody and DAB staining.
11. Paraformaldehyde-fixed, paraffin embedded Human Colon Cancer; Antigen retrieval by boiling in sodium citrate buffer (pH6.0) for 15 min; Antibody incubation with Cytokeratin 19 Monoclonal Antibody, Unconjugated (ascites of TMAB-01038) at 1:800 overnight at 4°C, followed by conjugation to the secondary antibody and DAB staining.
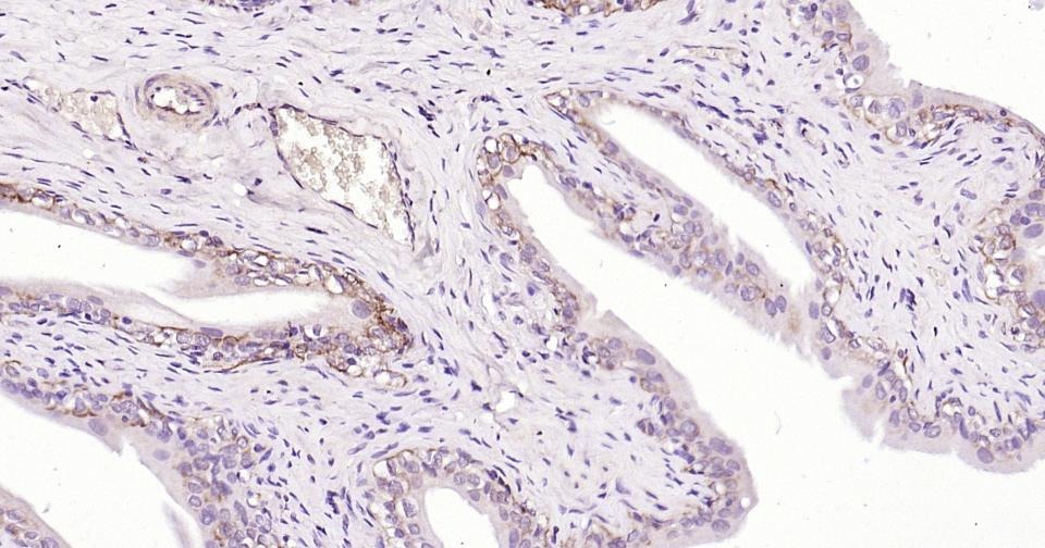
12. Paraformaldehyde-fixed, paraffin embedded Rat Bladder; Antigen retrieval by boiling in sodium citrate buffer (pH6.0) for 15 min; Antibody incubation with Cytokeratin 19 Monoclonal Antibody, Unconjugated (TMAB-01038) at 1:200 overnight at 4°C, followed by conjugation to the secondary antibody and DAB staining.
13. 25 μg total protein per Lane of various lysates probed with Cytokeratin 19 monoclonal antibody, unconjugated (TMAB-01038) at 1:2000 dilution and 4°C overnight incubation. Followed by conjugated secondary antibody incubation at RT for 60 min.
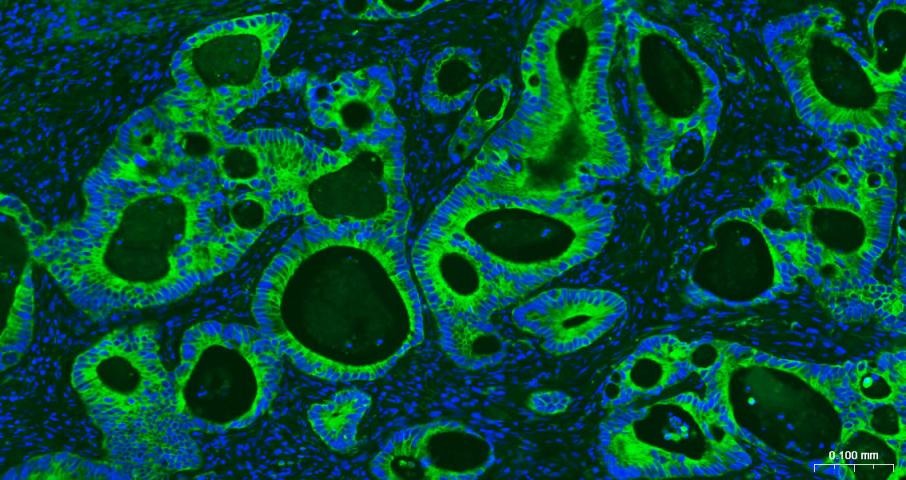
14. Paraformaldehyde-fixed, paraffin embedded Human Colon Cancer; Antigen retrieval by boiling in sodium citrate buffer (pH6.0) for 15 min; Antibody incubation with Cytokeratin 19 Monoclonal Antibody, Unconjugated (TMAB-01038) at 1:500 overnight at 4°C. Followed by conjugated Goat Anti-Mouse IgG antibody (green), DAPI (blue) was used to stain the cell nucleus.
15. Paraformaldehyde-fixed, paraffin embedded Human Colon; Antigen retrieval by boiling in sodium citrate buffer (pH6.0) for 15 min; Antibody incubation with Cytokeratin 19 Monoclonal Antibody, Unconjugated (TMAB-01038) at 1:500 overnight at 4°C. Followed by conjugated Goat Anti-Mouse IgG antibody (green), DAPI (blue) was used to stain the cell nucleus.
verifiedActivityverifiedActivityverifiedActivityverifiedActivityverifiedActivityverifiedActivityverifiedActivityverifiedActivityverifiedActivityverifiedActivityverifiedActivityverifiedActivityverifiedActivityverifiedActivityverifiedActivity
应用ICC/IFIFIHC-FrIHC-PWB
推荐剂量
ICC/IF=1:100-500; IF=1:100-1500; IHC-Fr=1:100-1500; IHC-P=1:100-1500; WB=1:500-2000
抗体种类
Monoclonal
宿主来源Mouse
组织特异性Expressed in a defined zone of basal keratinocytes in the deep outer root sheath of hair follicles. Also observed in sweat gland and mammary gland ductal and secretory cells, bile ducts, gastrointestinal tract, bladder urothelium, oral epithelia, esophagu
构建方式Hybridoma Monoclonal Antibody
纯化方式Protein G purified
性状Liquid
缓冲液0.01M TBS (pH7.4) with 1% BSA, 0.02% Proclin300 and 50% Glycerol.
浓度1 mg/mL
研究背景The protein encoded by this gene is a member of the keratin family. The keratins are intermediate filament proteins responsible for the structural integrity of epithelial cells and are subdivided into cytokeratins and hair keratins. The type I cytokeratins consist of acidic proteins which are arranged in pairs of heterotypic keratin chains. Unlike its related family members, this smallest known acidic cytokeratin is not paired with a basic cytokeratin in epithelial cells. It is specifically expressed in the periderm, the transiently superficial layer that envelopes the developing epidermis. The type I cytokeratins are clustered in a region of chromosome 17q12-q21.
抗原信息
免疫原
KLH conjugated synthetic peptide: human Cytokeratin 19
抗原种属
Human
基因名称
KRT19
基因ID
蛋白名称
Keratin, type I cytoskeletal 19
Uniprot ID
研究领域
Cytokeratins
功能
Involved in the organization of myofibers. Together with KRT8, helps to link the contractile apparatus to dystrophin at the costameres of striated muscle.
化学信息
分子量Theoretical: 44 kDa. Actual: 40 kDa.
储存&溶解度
储存方式Store at -20°C or -80°C for 12 months. Avoid repeated freeze-thaw cycles.
运输方式Shipping with blue ice.

计算器

  • 稀释 计算器
  • 配液 计算器
Related Tags: buy Anti-KRT19 Antibody (2L986) | purchase Anti-KRT19 Antibody (2L986) | Anti-KRT19 Antibody (2L986) cost | order Anti-KRT19 Antibody (2L986) | Anti-KRT19 Antibody (2L986) molecular weight