购物车
  • TargetMol
    您的购物车当前为空

Anti-Klotho Polyclonal Antibody

Synonyms: Klotho, Kl
货号 TMAB-01030 一键复制产品信息
Rating icon 还可以

Anti-Klotho Polyclonal Antibody 是一种 Rabbit 抗体,靶向 Klotho。Anti-Klotho Polyclonal Antibody 可用于 IF, IHC-Fr, IHC-P, WB。

Anti-Klotho Polyclonal Antibody

一键复制产品信息
Rating icon 还可以
货号 TMAB-01030

别名 Klotho, Kl

Anti-Klotho Polyclonal Antibody 是一种 Rabbit 抗体,靶向 Klotho。Anti-Klotho Polyclonal Antibody 可用于 IF, IHC-Fr, IHC-P, WB。

Anti-Klotho Polyclonal Antibody
规格价格库存数量
50 μL
¥ 1,170
5日内发货
100 μL
¥ 1,970
5日内发货
200 μL
¥ 2,785
5日内发货
库存状态实时更新,以官网显示为准,现货产品可直接加购物车下单
大包装 & 定制
加入购物车

TargetMol的所有产品仅用作科学研究或药证申报,不能被用于人体,我们不向个人提供产品和服务。请您遵守承诺用途,不得违反法律法规规定用于任何其他用途。

实验操作小课堂
常见问题解答
查看更多

资源下载:产品操作手册

产品介绍


生物活性
产品描述
Anti-Klotho Polyclonal Antibody is a Rabbit antibody targeting Klotho. Anti-Klotho Polyclonal Antibody can be used in IF, IHC-Fr, IHC-P, WB.
别名
Klotho, Kl
Ig Type
IgG
反应种属
Human,Mouse,Rat (predicted:Dog,Pig,Cow,Horse,Rabbit)
验证活性
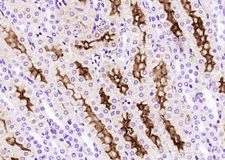
1. Paraformaldehyde-fixed, paraffin embedded (Mouse kidney); Antigen retrieval by boiling in sodium citrate buffer (pH6.0) for 15 min; Block endogenous peroxidase by 3% hydrogen peroxide for 20 min; Blocking buffer (normal goat serum) at 37°C for 30 min; Antibody incubation with (Klotho) Polyclonal Antibody, Unconjugated (TMAB-01030) at 1:400 overnight at 4°C, followed by operating according to SP Kit (Rabbit) instructionsand DAB staining.
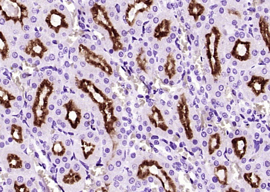
2. Paraformaldehyde-fixed, paraffin embedded (Rat kidney); Antigen retrieval by boiling in sodium citrate buffer (pH6.0) for 15 min; Block endogenous peroxidase by 3% hydrogen peroxide for 20 min; Blocking buffer (normal goat serum) at 37°C for 30 min; Antibody incubation with (Klotho) Polyclonal Antibody, Unconjugated (TMAB-01030) at 1:400 overnight at 4°C, followed by operating according to SP Kit (Rabbit) instructionsand DAB staining.
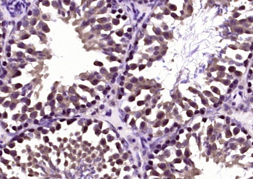
3. Paraformaldehyde-fixed, paraffin embedded (Mouse testis); Antigen retrieval by boiling in sodium citrate buffer (pH6.0) for 15 min; Block endogenous peroxidase by 3% hydrogen peroxide for 20 min; Blocking buffer (normal goat serum) at 37°C for 30 min; Antibody incubation with (Klotho) Polyclonal Antibody, Unconjugated (TMAB-01030) at 1:400 overnight at 4°C, followed by operating according to SP Kit (Rabbit) instructionsand DAB staining.
4. Sample:
Lane 1: Human MCF-7 cell lysates
Lane 2: Human HL-60 cell lysates
Primary: Anti-Klotho (TMAB-01030) at 1/200 dilution
Secondary: IRDye800CW Goat Anti-Rabbit IgG at 1/20000 dilution
Predicted band size: 113 kDa
Observed band size: 130 kDa
verifiedActivityverifiedActivityverifiedActivityverifiedActivity
应用IFIHC-FrIHC-PWB
推荐剂量
IF=1:100-500; IHC-Fr=1:100-500; IHC-P=1:100-500; WB=1:500-2000
抗体种类
Polyclonal
宿主来源Rabbit
亚细胞定位Isoform 1: Cell membrane; Single-pass type I membrane protein. Note=Isoform 1 shedding leads to a soluble peptide.Isoform 2: Secreted.Klotho peptide: Secreted.
组织特异性Present in cortical renal tubules (at protein level). Soluble peptide is present in serum and cerebrospinal fluid. Expressed in kidney, placenta, small intestine and prostate. Down-regulated in renal cell carcinomas, hepatocellular carcinomas, and in chro
构建方式Polyclonal Antibody
纯化方式Protein A purified
性状Liquid
缓冲液0.01M TBS (pH7.4) with 1% BSA, 0.02% Proclin300 and 50% Glycerol.
浓度1 mg/mL
研究背景May have weak glycosidase activity towards glucuronylated steroids. However, it lacks essential active site Glu residues at positions 239 and 872, suggesting it may be inactive as a glycosidase in vivo. May be involved in the regulation of calcium and phosphorus homeostasis by inhibiting the synthesis of active vitamin D (By similarity). Essential factor for the specific interaction between FGF23 and FGFR1. The Klotho peptide generated by cleavage of the membrane-bound isoform may be an anti-aging circulating hormone which would extend life span by inhibiting insulin/IGF1 signaling.
抗原信息
免疫原
KLH conjugated synthetic peptide: human Klotho
抗原种属
Human
基因名称
KL
基因ID
蛋白名称
Klotho
Uniprot ID
研究领域
Energy Metabolism,Energy Metabolism,Aging
功能
May have weak glycosidase activity towards glucuronylated steroids. However, it lacks essential active site Glu residues at positions 239 and 872, suggesting it may be inactive as a glycosidase in vivo. May be involved in the regulation of calcium and phosphorus homeostasis by inhibiting the synthesis of active vitamin D (By similarity). Essential factor for the specific interaction between FGF23 and FGFR1 (By similarity).The Klotho peptide generated by cleavage of the membrane-bound isoform may be an anti-aging circulating hormone which would extend life span by inhibiting insulin/IGF1 signaling (By similarity).
化学信息
分子量Theoretical: 113 kDa. Actual: 130 kDa.
储存&溶解度
储存方式Store at -20°C or -80°C for 12 months. Avoid repeated freeze-thaw cycles.
运输方式Shipping with blue ice.

计算器

  • 稀释 计算器
  • 配液 计算器
Related Tags: buy Anti-Klotho Polyclonal Antibody | purchase Anti-Klotho Polyclonal Antibody | Anti-Klotho Polyclonal Antibody cost | order Anti-Klotho Polyclonal Antibody | Anti-Klotho Polyclonal Antibody molecular weight