购物车
  • TargetMol
    您的购物车当前为空

Anti-KLF4 Polyclonal Antibody

Synonyms: Krueppel-like factor 4, KLF 4, Gut-enriched krueppel-like factor, GKLF, EZF, Epithelial zinc finger protein EZF
货号 TMAB-01026 一键复制产品信息
Rating icon 还可以

Anti-KLF4 Polyclonal Antibody 是一种 Rabbit 抗体,靶向 KLF4。Anti-KLF4 Polyclonal Antibody 可用于 FCM, ICC/IF, IF, IHC-Fr, IHC-P, WB。

Anti-KLF4 Polyclonal Antibody

一键复制产品信息
Rating icon 还可以
货号 TMAB-01026

别名 Krueppel-like factor 4, KLF 4, Gut-enriched krueppel-like factor, GKLF, EZF, Epithelial zinc finger protein EZF

Anti-KLF4 Polyclonal Antibody 是一种 Rabbit 抗体,靶向 KLF4。Anti-KLF4 Polyclonal Antibody 可用于 FCM, ICC/IF, IF, IHC-Fr, IHC-P, WB。

Anti-KLF4 Polyclonal Antibody
规格价格库存数量
50 μL
¥ 1,160
5日内发货
100 μL
¥ 1,975
5日内发货
200 μL
¥ 2,780
5日内发货
库存状态实时更新,以官网显示为准,现货产品可直接加购物车下单
大包装 & 定制
加入购物车

TargetMol的所有产品仅用作科学研究或药证申报,不能被用于人体,我们不向个人提供产品和服务。请您遵守承诺用途,不得违反法律法规规定用于任何其他用途。

实验操作小课堂
常见问题解答
查看更多

资源下载:产品操作手册

产品介绍


生物活性
产品描述
Anti-KLF4 Polyclonal Antibody is a Rabbit antibody targeting KLF4. Anti-KLF4 Polyclonal Antibody can be used in FCM, ICC/IF, IF, IHC-Fr, IHC-P, WB.
别名
Krueppel-like factor 4, KLF 4, Gut-enriched krueppel-like factor, GKLF, EZF, Epithelial zinc finger protein EZF
Ig Type
IgG
反应种属
Human,Mouse,Rat
验证活性
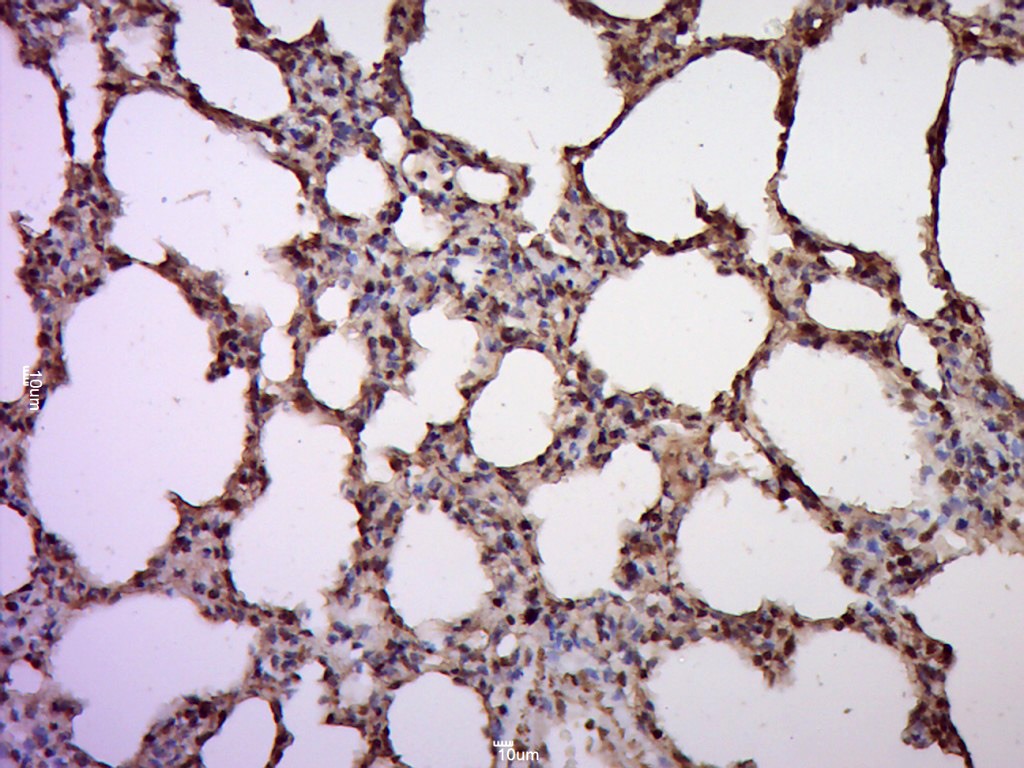
1. Paraformaldehyde-fixed, paraffin embedded (Rat lung); Antigen retrieval by boiling in sodium citrate buffer (pH6.0) for 15 min; Block endogenous peroxidase by 3% hydrogen peroxide for 20 min; Blocking buffer (normal goat serum) at 37°C for 30 min; Antibody incubation with (KLF4) Polyclonal Antibody, Unconjugated (TMAB-01026) at 1:400 overnight at 4°C, followed by a conjugated secondary for 20 min and DAB staining.
2. Blank control: MCF7 (blue). Primary Antibody: Rabbit Anti-KLF4 AF647 Conjugated antibody (TMAB-01026-AF647), Dilution: 1 μg in 100 μL 1X PBS containing 0.5% BSA; Isotype Control Antibody: Rabbit IgG/AF647 (orange),used under the same conditions.
Protocol
The cells were fixed with 2% paraformaldehyde (10 min) and then permeabilized with ice-cold 90% methanol for 30 min on ice. The cells were washed twice with 1 X PBS. The cells were incubated in 1 X PBS containing 0.5% BSA + 10% goat serum (15 min) to block non-specific protein-protein interactions followed by the incubated with antibody (TMAB-01026-AF647, 1 μg/1x10^6 cells) for 30 min on ice.
3. Sample: 293T (human) cell Lysate at 40 μg
Primary: Anti-KLF4 (TMAB-01026) at 1/300 dilution
Secondary: IRDye800CW Goat Anti-Rabbit IgG at 1/20000 dilution
Predicted band size: 56 kDa
Observed band size: 60 kDa
4. Blank control: K562. Primary Antibody (green line): Rabbit Anti-KLF4 antibody (TMAB-01026)
Dilution: 1 μg/10^6 cells;
Isotype Control Antibody (orange line): Rabbit IgG.
Secondary Antibody: Goat anti-rabbit IgG-FITC
Dilution: 1 μg/test.
Protocol
The cells were fixed with 4% PFA (10 min at room temperature) and then permeabilized with 90% ice-cold methanol for 20 min at-20°C. The cells were then incubated in 5% BSA to block non-specific protein-protein interactions for 30 min at room temperature. Cells stained with Primary Antibody for 30 min at room temperature. The secondary antibody used for 40 min at room temperature.
5. Sample:
Hela Cell (Human) lysate at 30 μg
Primary: Anti-KLF4 (TMAB-01026) at 1/300 dilution
Secondary: IRDye800CW Goat Anti-Rabbit IgG at 1/20000 dilution
Predicted band size: 56 kDa
Observed band size: 56 kDa
6. Sample:
Lane 1: Mouse NIH/3T3 cell lysates
Lane 2: Human A431 cell lysates
Lane 3: Human LOVO cell lysates
Lane 4: Human HeLa cell lysates
Lane 5: Human MCF-7 cell lysates
Lane 6: Human A549 cell lysates
Primary: Anti-KLF4 (TMAB-01026) at 1/1000 dilution
Secondary: IRDye800CW Goat Anti-Rabbit IgG at 1/20000 dilution
Predicted band size: 56 kDa
Observed band size: 50 kDa
verifiedActivityverifiedActivityverifiedActivityverifiedActivityverifiedActivityverifiedActivity
应用FCMICC/IFIFIHC-FrIHC-PWB
推荐剂量
FCM=1 μg/Test; ICC/IF=1:100-500; IF=1:50-200; IHC-Fr=1:50-200; IHC-P=1:50-200; WB=1:500-2000
抗体种类
Polyclonal
宿主来源Rabbit
亚细胞定位Nucleus.
构建方式Polyclonal Antibody
纯化方式Protein A purified
性状Liquid
缓冲液0.01M TBS (pH7.4) with 1% BSA, 0.02% Proclin300 and 50% Glycerol.
浓度1 mg/mL
研究背景KLF4 is a transcription factor that works with Sp1 to activate the Laminin gamma1 chain gene. It binds the CACCC core sequence. KLF4 may be involved in the differentiation of epithelial cells and may also function in the development of the skeleton and kidney. KLF4 also has roles as both an oncogene and a tumor suppressor.
抗原信息
免疫原
KLH conjugated synthetic peptide: human KLF4
抗原种属
Human
基因名称
KLF4
基因ID
蛋白名称
Krueppel-like factor 4
Uniprot ID
研究领域
Transcription factors,Tumor suppressors,Endothelial Cell Markers,Transcription factors,Surface molecules,Cell Cycle Inhibitors,Cell Differentiation,Krueppel like factor,Krueppel like factor,Other factors,Transcription Factors,Intracellular
功能
Transcription factor; can act both as activator and as repressor. Binds the 5'-CACCC-3' core sequence. Binds to the promoter region of its own gene and can activate its own transcription. Regulates the expression of key transcription factors during embryonic development. Plays an important role in maintaining embryonic stem cells, and in preventing their differentiation. Required for establishing the barrier function of the skin and for postnatal maturation and maintenance of the ocular surface. Involved in the differentiation of epithelial cells and may also function in skeletal and kidney development. Contributes to the down-regulation of p53/TP53 transcription.
化学信息
分子量Theoretical: 56 kDa. Actual: 50 kDa.
储存&溶解度
储存方式Store at -20°C or -80°C for 12 months. Avoid repeated freeze-thaw cycles.
运输方式Shipping with blue ice.

计算器

  • 稀释 计算器
  • 配液 计算器
Related Tags: buy Anti-KLF4 Polyclonal Antibody | purchase Anti-KLF4 Polyclonal Antibody | Anti-KLF4 Polyclonal Antibody cost | order Anti-KLF4 Polyclonal Antibody | Anti-KLF4 Polyclonal Antibody molecular weight