购物车
  • TargetMol
    您的购物车当前为空

Anti-KIBRA Polyclonal Antibody

Synonyms: WWC1, WW domain-containing protein 1, WW C2 and coiled-coil domain containing 1, WW and C2 domain containing 1, Protein WWC1, Kidney and brain protein, KIBRA, KIAA0869, HBEBP36, HBeAg-binding protein 3
货号 TMAB-01021 一键复制产品信息
Rating icon 还可以

Anti-KIBRA Polyclonal Antibody 是一种 Rabbit 抗体,靶向 KIBRA。Anti-KIBRA Polyclonal Antibody 可用于 IF,IHC-Fr,IHC-P,WB。

Anti-KIBRA Polyclonal Antibody

一键复制产品信息
Rating icon 还可以
货号 TMAB-01021

别名 WWC1, WW domain-containing protein 1, WW C2 and coiled-coil domain containing 1, WW and C2 domain containing 1, Protein WWC1, Kidney and brain protein, KIBRA, KIAA0869, HBEBP36, HBeAg-binding protein 3

Anti-KIBRA Polyclonal Antibody 是一种 Rabbit 抗体,靶向 KIBRA。Anti-KIBRA Polyclonal Antibody 可用于 IF,IHC-Fr,IHC-P,WB。

Anti-KIBRA Polyclonal Antibody
规格价格库存数量
50 μL
¥ 1,170
5日内发货
100 μL
¥ 1,970
5日内发货
200 μL
¥ 2,780
5日内发货
库存状态实时更新,以官网显示为准,现货产品可直接加购物车下单
大包装 & 定制
加入购物车

TargetMol的所有产品仅用作科学研究或药证申报,不能被用于人体,我们不向个人提供产品和服务。请您遵守承诺用途,不得违反法律法规规定用于任何其他用途。

实验操作小课堂
常见问题解答
查看更多

资源下载:产品操作手册

产品介绍


生物活性
产品描述
Anti-KIBRA Polyclonal Antibody is a Rabbit antibody targeting KIBRA. Anti-KIBRA Polyclonal Antibody can be used in IF,IHC-Fr,IHC-P,WB.
别名
WWC1, WW domain-containing protein 1, WW C2 and coiled-coil domain containing 1, WW and C2 domain containing 1, Protein WWC1, Kidney and brain protein, KIBRA, KIAA0869, HBEBP36, HBeAg-binding protein 3
Ig Type
IgG
反应种属
Human,Mouse,Rat (predicted:Dog,Cow,Rabbit,Sheep)
验证活性
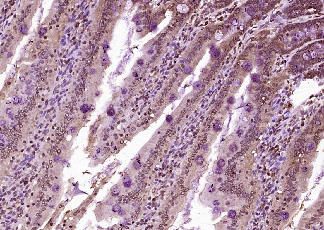
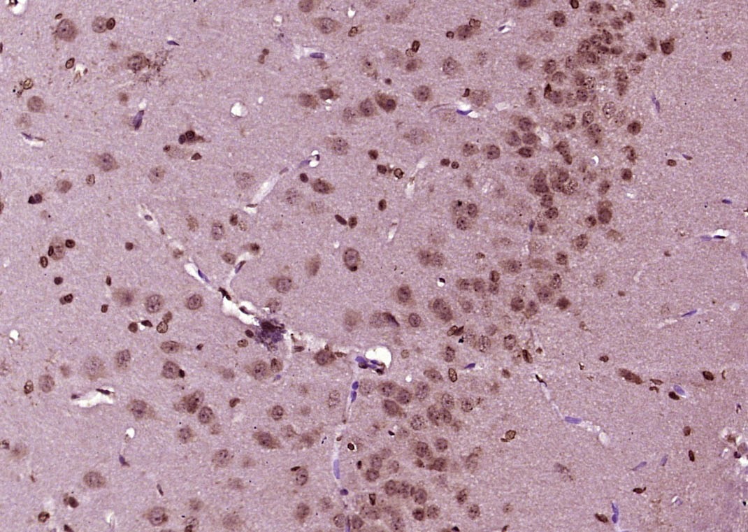
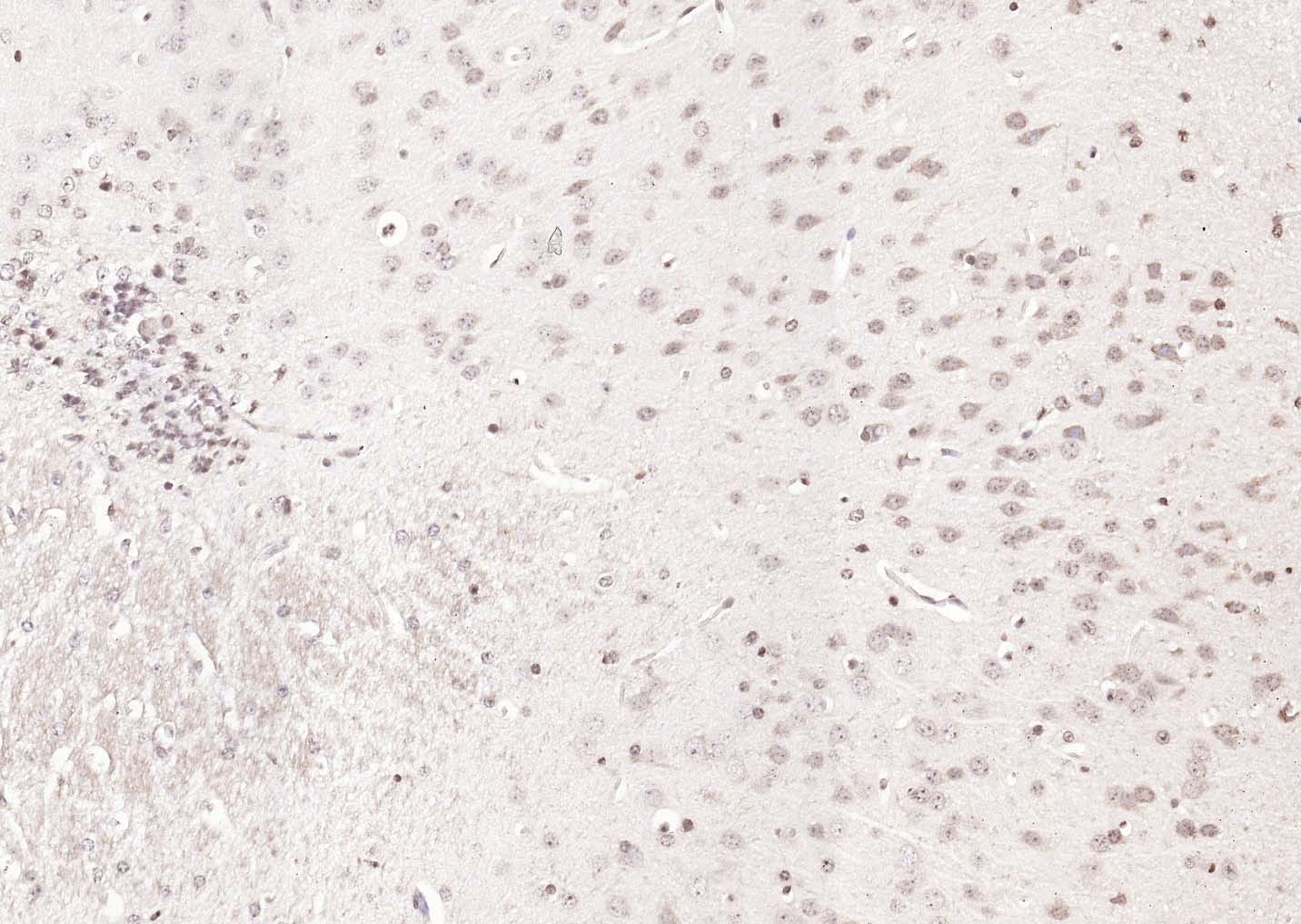
1. Paraformaldehyde-fixed, paraffin embedded (mouse brain); Antigen retrieval by boiling in sodium citrate buffer (pH6.0) for 15 min; Block endogenous peroxidase by 3% hydrogen peroxide for 20 min; Blocking buffer (normal goat serum) at 37°C for 30 min; Antibody incubation with (KIBRA) Polyclonal Antibody, Unconjugated (TMAB-01021) at 1:200 overnight at 4°C, followed by operating according to SP Kit (Rabbit) instructionsand DAB staining.
2. Paraformaldehyde-fixed, paraffin embedded (Rat brain); Antigen retrieval by boiling in sodium citrate buffer (pH6.0) for 15 min; Block endogenous peroxidase by 3% hydrogen peroxide for 20 min; Blocking buffer (normal goat serum) at 37°C for 30 min; Antibody incubation with (KIBRA) Polyclonal Antibody, Unconjugated (TMAB-01021) at 1:400 overnight at 4°C, followed by operating according to SP Kit (Rabbit) instructionsand DAB staining.
3. Paraformaldehyde-fixed, paraffin embedded (Rat small intestine); Antigen retrieval by boiling in sodium citrate buffer (pH6.0) for 15 min; Block endogenous peroxidase by 3% hydrogen peroxide for 20 min; Blocking buffer (normal goat serum) at 37°C for 30 min; Antibody incubation with (KIBRA) Polyclonal Antibody, Unconjugated (TMAB-01021) at 1:400 overnight at 4°C, followed by operating according to SP Kit (Rabbit) instructionsand DAB staining.
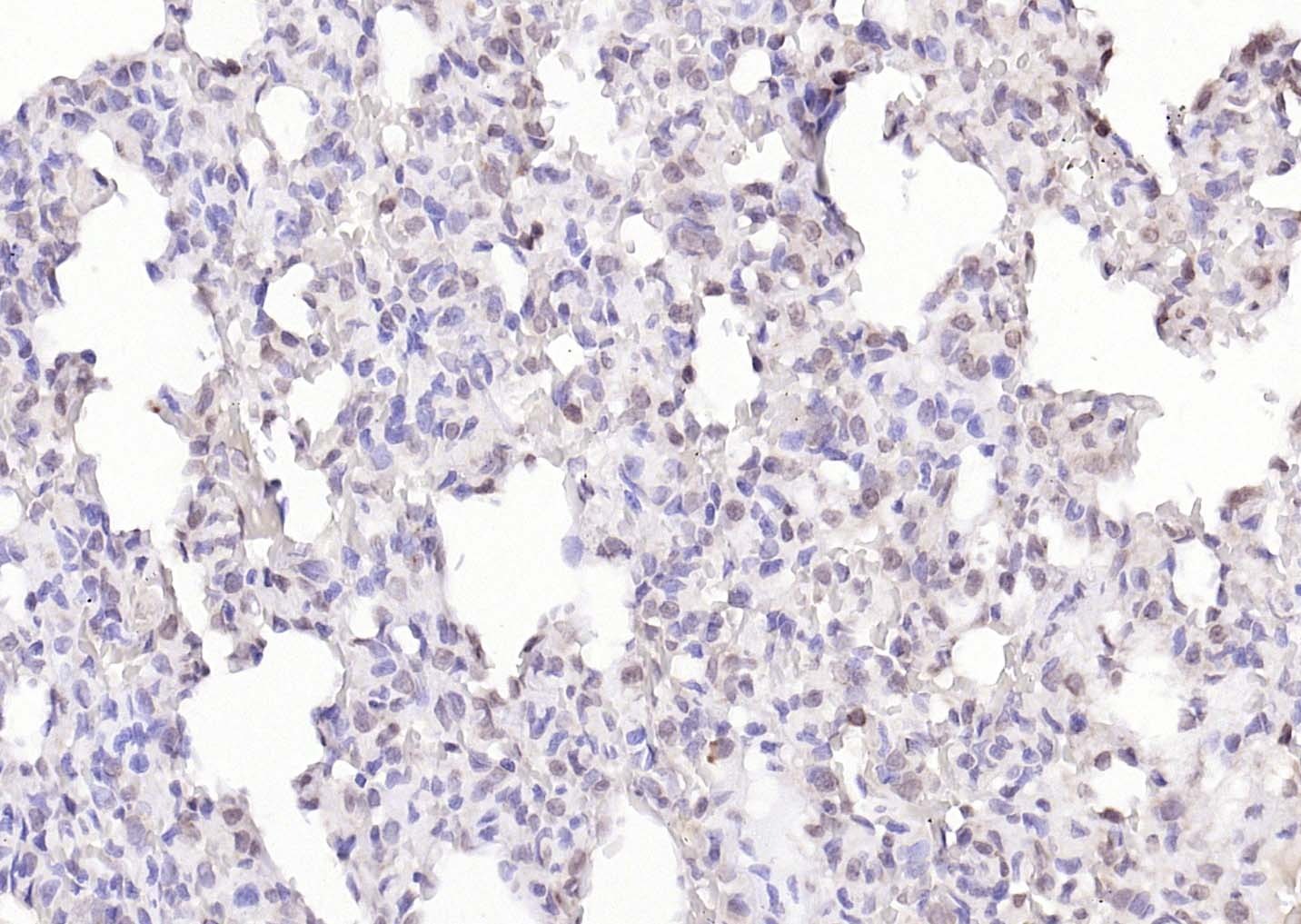
4. Paraformaldehyde-fixed, paraffin embedded (Mouse lung); Antigen retrieval by boiling in sodium citrate buffer (pH6.0) for 15 min; Block endogenous peroxidase by 3% hydrogen peroxide for 20 min; Blocking buffer (normal goat serum) at 37°C for 30 min; Antibody incubation with (KIBRA) Polyclonal Antibody, Unconjugated (TMAB-01021) at 1:200 overnight at 4°C, followed by operating according to SP Kit (Rabbit) instructionsand DAB staining.
5. Sample:
Siha (Human) Cell Lysate at 30 μg
A431 (Human) Cell Lysate at 30 μg
MCF-7 (Human) Cell Lysate at 30 μg
U-2Os (Human) Cell Lysate at 30 μg
Primary: Anti-KIBRA (TMAB-01021) at 1/1000 dilution
Secondary: IRDye800CW Goat Anti-Rabbit IgG at 1/20000 dilution
Predicted band size: 125 kDa
Observed band size:125 kDa
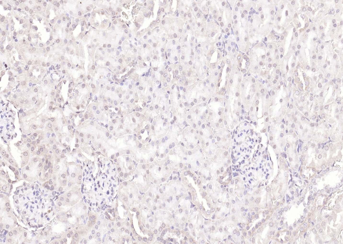
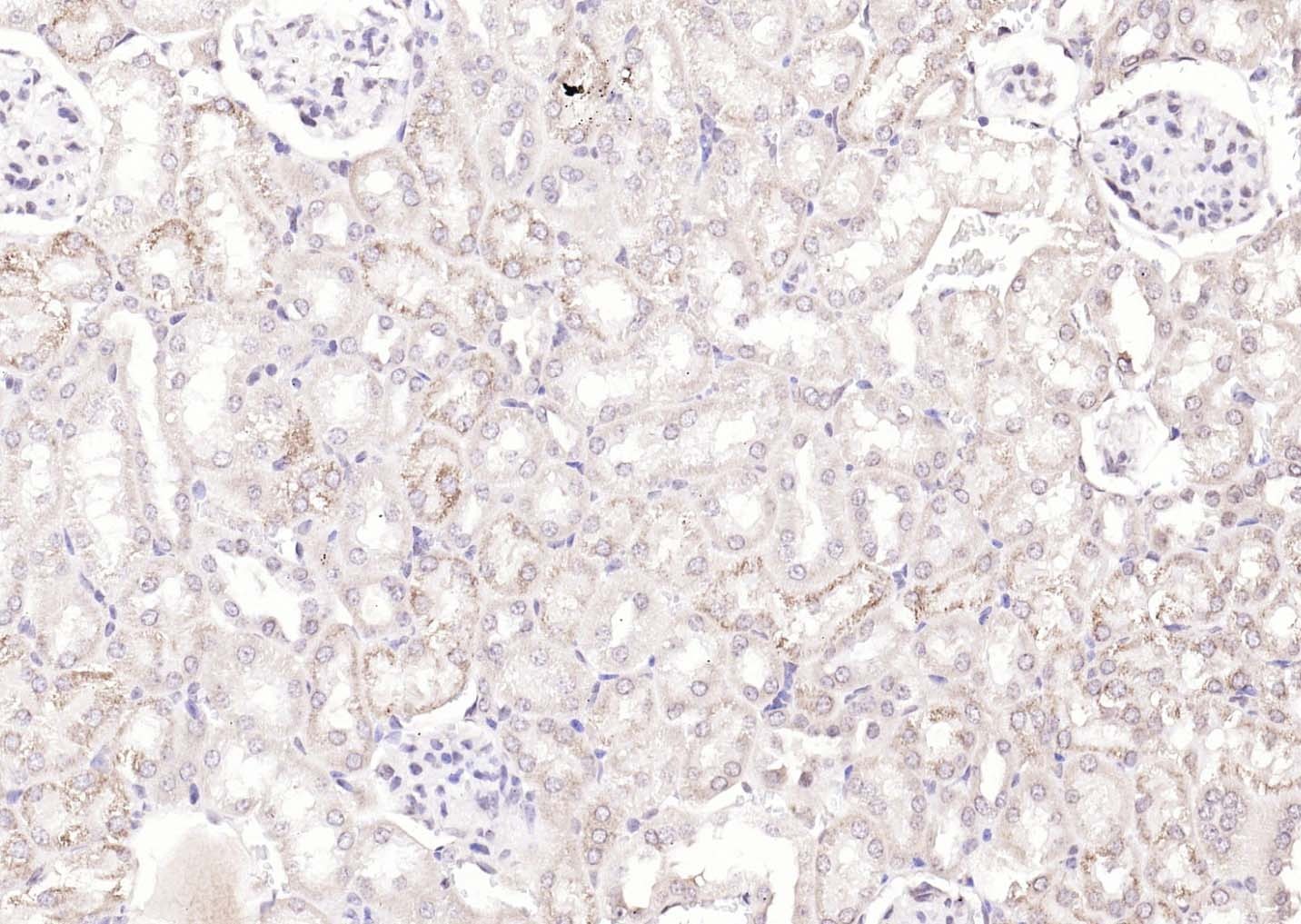
6. Paraformaldehyde-fixed, paraffin embedded (mouse kidney); Antigen retrieval by boiling in sodium citrate buffer (pH6.0) for 15 min; Block endogenous peroxidase by 3% hydrogen peroxide for 20 min; Blocking buffer (normal goat serum) at 37°C for 30 min; Antibody incubation with (KIBRA) Polyclonal Antibody, Unconjugated (TMAB-01021) at 1:200 overnight at 4°C, followed by operating according to SP Kit (Rabbit) instructionsand DAB staining.
7. Paraformaldehyde-fixed, paraffin embedded (rat lung); Antigen retrieval by boiling in sodium citrate buffer (pH6.0) for 15 min; Block endogenous peroxidase by 3% hydrogen peroxide for 20 min; Blocking buffer (normal goat serum) at 37°C for 30 min; Antibody incubation with (KIBRA) Polyclonal Antibody, Unconjugated (TMAB-01021) at 1:200 overnight at 4°C, followed by operating according to SP Kit (Rabbit) instructionsand DAB staining.
8. Paraformaldehyde-fixed, paraffin embedded (rat kidney); Antigen retrieval by boiling in sodium citrate buffer (pH6.0) for 15 min; Block endogenous peroxidase by 3% hydrogen peroxide for 20 min; Blocking buffer (normal goat serum) at 37°C for 30 min; Antibody incubation with (KIBRA) Polyclonal Antibody, Unconjugated (TMAB-01021) at 1:200 overnight at 4°C, followed by operating according to SP Kit (Rabbit) instructionsand DAB staining.
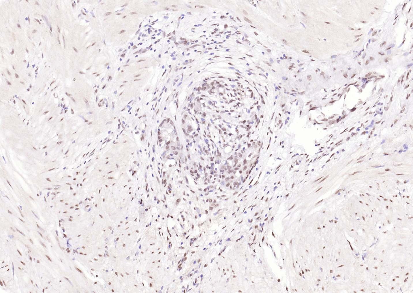
9. Paraformaldehyde-fixed, paraffin embedded (human gastric carcinoma); Antigen retrieval by boiling in sodium citrate buffer (pH6.0) for 15 min; Block endogenous peroxidase by 3% hydrogen peroxide for 20 min; Blocking buffer (normal goat serum) at 37°C for 30 min; Antibody incubation with (KIBRA) Polyclonal Antibody, Unconjugated (TMAB-01021) at 1:200 overnight at 4°C, followed by operating according to SP Kit (Rabbit) instructionsand DAB staining.
verifiedActivityverifiedActivityverifiedActivityverifiedActivityverifiedActivityverifiedActivityverifiedActivityverifiedActivityverifiedActivity
应用IFIHC-FrIHC-PWB
推荐剂量
WB: 1:500-2000; IHC-P: 1:100-500; IHC-Fr: 1:100-500; IF: 1:100-500
抗体种类
Polyclonal
宿主来源Rabbit
亚细胞定位Cytoplasm. Cytoplasm, perinuclear region. Nucleus. Cell projection, ruffle membrane. Note=Co-localizes with PRKCZ in the perinuclear region.
组织特异性Expressed in mammary epithelial cells and breast cancer cell lines. Found in the luminal epithelium surrounding the ducts in the normal breast. In the brain, expressed in somatodendritic compartment of neurons in the cortex and hippocampus and in the cere
构建方式Polyclonal Antibody
纯化方式Protein A purified
性状Liquid
缓冲液0.01M TBS (pH7.4) with 1% BSA, 0.02% Proclin300 and 50% Glycerol.
浓度1 mg/mL
研究背景KIBRA is a 1,113 amino acid protein that localizes to the cytoplasm and contains one C2 domain and two WW domains. Expressed in colon, brain, kidney and heart tissue, KIBRA is thought to interact with dendrin and, via this interaction, may play a role in collagen-induced signaling. Additionally, KIBRA, which exists as multiple alternatively spliced isoforms, is involved in memory performance and in the pathogenesis of Alzheimer's disease. The gene encoding KIBRA maps to human chromosome 5, which contains 181 million base pairs and comprises nearly 6% of the human genome. Deletion of the p arm of chromosome 5 leads to Cri du chat syndrome, while deletion of the q arm or of chromosome 5 altogether is common in therapy-related acute myelogenous leukemias and myelodysplastic syndrome.
抗原信息
免疫原
KLH conjugated synthetic peptide: human KIBRA
抗原种属
Human
基因名称
WWC1
基因ID
蛋白名称
Protein KIBRA
Uniprot ID
研究领域
Neural Signal Transduction,Cytoplasmic
功能
KIBRA is a WW domain containing protein, first identified by yeast 2-hybrid analysis of a human brain cDNA expression library. Gene expression studies have shown that KIBRA is expressed in memory-related brain structures including the hippocampus (dentate gyrus and the CA1 region) and the temporal lobe, 2 key regions for memory, and that the expression of specific KIBRA alleles is significantly associated with memory performance.
化学信息
分子量Theoretical: 125 kDa. Actual: 125 kDa.
储存&溶解度
储存方式Store at -20°C or -80°C for 12 months. Avoid repeated freeze-thaw cycles.
运输方式Shipping with blue ice.

计算器

  • 稀释 计算器
  • 配液 计算器
Related Tags: buy Anti-KIBRA Polyclonal Antibody | purchase Anti-KIBRA Polyclonal Antibody | Anti-KIBRA Polyclonal Antibody cost | order Anti-KIBRA Polyclonal Antibody | Anti-KIBRA Polyclonal Antibody molecular weight