购物车
  • TargetMol
    您的购物车当前为空

Anti-JAK3 Antibody (5S507)

Synonyms: Tyrosine-protein kinase JAK3, L-JAK, Leukocyte janus kinase, Janus kinase 3, JAK-3, EC 2.7.10.2
货号 TMAC-02278 一键复制产品信息
Rating icon 还可以

Anti-JAK3 Antibody (5S507) 是一种 Rabbit 抗体,靶向 JAK3。Anti-JAK3 Antibody (5S507) 可用于 ICC,IHC,WB。

Anti-JAK3 Antibody (5S507)

一键复制产品信息
Rating icon 还可以
货号 TMAC-02278

别名 Tyrosine-protein kinase JAK3, L-JAK, Leukocyte janus kinase, Janus kinase 3, JAK-3, EC 2.7.10.2

Anti-JAK3 Antibody (5S507) 是一种 Rabbit 抗体,靶向 JAK3。Anti-JAK3 Antibody (5S507) 可用于 ICC,IHC,WB。

Anti-JAK3 Antibody (5S507)
规格价格库存数量
50 μL
¥ 1,485
5日内发货
100 μL
¥ 2,490
5日内发货
库存状态实时更新,以官网显示为准,现货产品可直接加购物车下单
大包装 & 定制
加入购物车

TargetMol的所有产品仅用作科学研究或药证申报,不能被用于人体,我们不向个人提供产品和服务。请您遵守承诺用途,不得违反法律法规规定用于任何其他用途。

实验操作小课堂
常见问题解答
查看更多

资源下载:产品操作手册

产品介绍


生物活性
产品描述
Anti-JAK3 Antibody (5S507) is a Rabbit antibody targeting JAK3. Anti-JAK3 Antibody (5S507) can be used in ICC,IHC,WB.
别名
Tyrosine-protein kinase JAK3, L-JAK, Leukocyte janus kinase, Janus kinase 3, JAK-3, EC 2.7.10.2
Ig Type
IgG
克隆号
5S507
反应种属
Human
验证活性
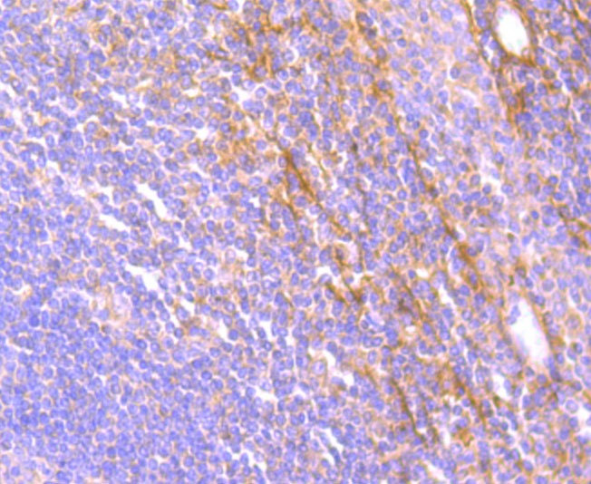
1. Immunohistochemical analysis of paraffin-embedded human spleen tissue using anti-JAK3 antibody. Counter stained with hematoxylin.
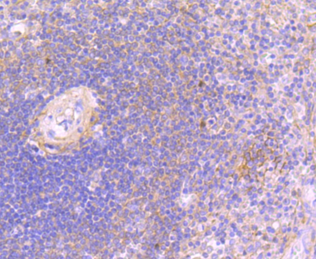
2. Immunohistochemical analysis of paraffin-embedded human tonsil tissue using anti-JAK3 antibody. Counter stained with hematoxylin.
3. ICC staining JAK3 in Hela cells (green). The nuclear counter stain is DAPI (blue). Cells were fixed in paraformaldehyde, permeabilised with 0.25% Triton X100/PBS.
verifiedActivityverifiedActivityverifiedActivity
应用ICCIHCWB
推荐剂量
WB: 1:500-1000; IHC: 1:50-200; ICC: 1:50-100
抗体种类
Monoclonal
宿主来源Rabbit
构建方式Recombinant Antibody
纯化方式ProA affinity purified
性状Liquid
缓冲液1*TBS (pH7.4), 1%BSA, 40%Glycerol. Preservative: 0.05% Sodium Azide.
研究背景Non-receptor tyrosine kinase involved in various processes such as cell growth, development, or differentiation. Mediates essential signaling events in both innate and adaptive immunity and plays a crucial role in hematopoiesis during T-cells development. In the cytoplasm, plays a pivotal role in signal transduction via its association with type I receptors sharing the common subunit gamma such as IL2R, IL4R, IL7R, IL9R, IL15R and IL21R. Following ligand binding to cell surface receptors, phosphorylates specific tyrosine residues on the cytoplasmic tails of the receptor, creating docking sites for STATs proteins. Subsequently, phosphorylates the STATs proteins once they are recruited to the receptor. Phosphorylated STATs then form homodimer or heterodimers and translocate to the nucleus to activate gene transcription. For example, upon IL2R activation by IL2, JAK1 and JAK3 molecules bind to IL2R beta (IL2RB) and gamma chain (IL2RG) subunits inducing the tyrosine phosphorylation of both receptor subunits on their cytoplasmic domain. Then, STAT5A AND STAT5B are recruited, phosphorylated and activated by JAK1 and JAK3.
偶联与修饰
偶联
Unconjugated
抗原信息
免疫原
Recombinant Protein
Uniprot ID
化学信息
分子量Theoretical: 125 kDa.
储存&溶解度
储存方式Store at -20°C or -80°C for 12 months. Avoid repeated freeze-thaw cycles.
运输方式Shipping with blue ice.

计算器

  • 稀释 计算器
  • 配液 计算器
Related Tags: buy Anti-JAK3 Antibody (5S507) | purchase Anti-JAK3 Antibody (5S507) | Anti-JAK3 Antibody (5S507) cost | order Anti-JAK3 Antibody (5S507) | Anti-JAK3 Antibody (5S507) molecular weight