购物车
  • TargetMol
    您的购物车当前为空

Anti-Jagged 1 Polyclonal Antibody

Synonyms: JAGL1, Jagged 1, HJ1, CD339, AWS, AHD, AGS
货号 TMAB-01001 一键复制产品信息
Rating icon 还可以

Anti-Jagged 1 Polyclonal Antibody 是一种 Rabbit 抗体,靶向 Jagged 1。Anti-Jagged 1 Polyclonal Antibody 可用于 ICC/IF, IF, IHC-Fr, IHC-P, WB。

Anti-Jagged 1 Polyclonal Antibody

一键复制产品信息
Rating icon 还可以
货号 TMAB-01001

别名 JAGL1, Jagged 1, HJ1, CD339, AWS, AHD, AGS

Anti-Jagged 1 Polyclonal Antibody 是一种 Rabbit 抗体,靶向 Jagged 1。Anti-Jagged 1 Polyclonal Antibody 可用于 ICC/IF, IF, IHC-Fr, IHC-P, WB。

Anti-Jagged 1 Polyclonal Antibody
规格价格库存数量
50 μL
¥ 1,175
5日内发货
100 μL
¥ 1,970
5日内发货
200 μL
¥ 2,795
5日内发货
库存状态实时更新,以官网显示为准,现货产品可直接加购物车下单
大包装 & 定制
加入购物车

TargetMol的所有产品仅用作科学研究或药证申报,不能被用于人体,我们不向个人提供产品和服务。请您遵守承诺用途,不得违反法律法规规定用于任何其他用途。

实验操作小课堂
常见问题解答
查看更多

资源下载:产品操作手册

产品介绍


生物活性
产品描述
Anti-Jagged 1 Polyclonal Antibody is a Rabbit antibody targeting Jagged 1. Anti-Jagged 1 Polyclonal Antibody can be used in ICC/IF, IF, IHC-Fr, IHC-P, WB.
别名
JAGL1, Jagged 1, HJ1, CD339, AWS, AHD, AGS
Ig Type
IgG
反应种属
Human (predicted:Mouse,Rat)
验证活性
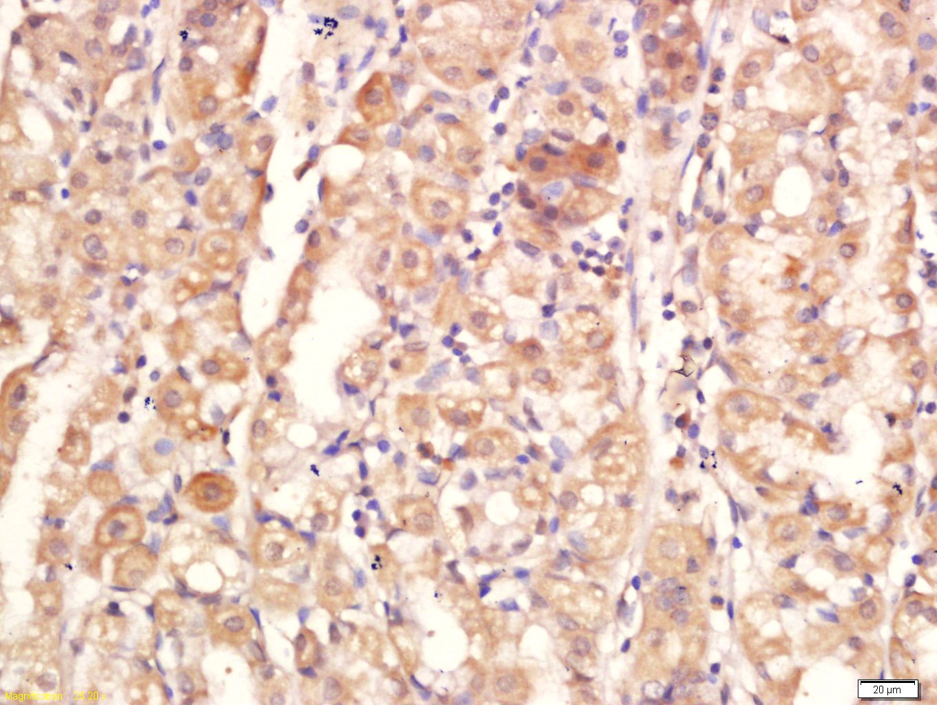
1. Tissue/cell: human stomach tissue; 4% Paraformaldehyde-fixed and paraffin-embedded;
Antigen retrieval: citrate buffer (0.01M, pH6.0), Boiling bathing for 15 min; Block endogenous peroxidase by 3% Hydrogen peroxide for 30 min; Blocking buffer (normal goat serum) at 37°C for 20 min;
Incubation: Anti-Jagged1 Polyclonal Antibody, Unconjugated (TMAB-01001) 1:500, overnight at 4°C, followed by conjugation to the secondary antibody and DAb staining.
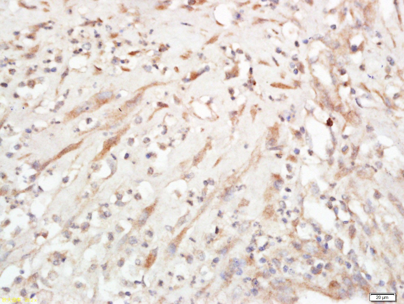
2. Tissue/cell: Human cervical cancer; 4% Paraformaldehyde-fixed and paraffin-embedded;
Antigen retrieval: citrate buffer (0.01M, pH6.0), Boiling bathing for 15 min; Block endogenous peroxidase by 3% Hydrogen peroxide for 30 min; Blocking buffer (normal goat serum) at 37°C for 20 min;
Incubation: Anti-Jagged1 Polyclonal Antibody, Unconjugated (TMAB-01001) 1:500, overnight at 4°C, followed by conjugation to the secondary antibody and DAb staining.
3. HepG2 cell; 4% Paraformaldehyde-fixed; Triton X-100 at room temperature for 20 min; Blocking buffer (normal goat serum) at 37°C for 20 min; Antibody incubation with (Jagged1) polyclonal Antibody, Unconjugated (TMAB-01001) 1:100, 90 minutes at 37°C; followed by a conjugated Goat Anti-Rabbit IgG antibody at 37°C for 90 minutes, DAPI (blue) was used to stain the cell nucleus.
4. Sample:
Lane 1: Recombinant human CD339 protein, N-His
Primary: Anti-Jagged1 (TMAB-01001) at 1/500 dilution
Secondary: IRDye800CW Goat Anti-Rabbit IgG at 1/20000 dilution
Predicted band size: 134 kDa
Observed band size: 22 kDa
verifiedActivityverifiedActivityverifiedActivityverifiedActivity
应用ICC/IFIFIHC-FrIHC-PWB
推荐剂量
ICC/IF=1:100-500; IF=1:100-500; IHC-Fr=1:100-500; IHC-P=1:100-500; WB=1:500-1000
抗体种类
Polyclonal
宿主来源Rabbit
亚细胞定位Membrane.
组织特异性Widely expressed in adult and fetal tissues. In cervix epithelium expressed in undifferentiated subcolumnar reserve cells and squamous metaplasia. Expression is up-regulated in cervical squamous cell carcinoma. Expressed in bone marrow cell line HS-27a wh
构建方式Polyclonal Antibody
纯化方式Protein A purified
性状Liquid
缓冲液0.01M TBS (pH7.4) with 1% BSA, 0.02% Proclin300 and 50% Glycerol.
浓度1 mg/mL
研究背景The jagged 1 protein encoded by JAG1 is the human homolog of the Drosophilia jagged protein. Human jagged 1 is the ligand for the receptor notch 1, the latter a human homolog of the Drosophilia jagged receptor notch. Mutations that alter the jagged 1 protein cause Alagille syndrome. Jagged 1 signalling through notch 1 has also been shown to play a role in hematopoiesis. [provided by RefSeq].
抗原信息
免疫原
KLH conjugated synthetic peptide: human CD339
抗原种属
Human
基因名称
JAG1
基因ID
蛋白名称
Protein jagged-1
Uniprot ID
研究领域
Inhibitors,Neurogenesis,Notch Pathway,Surface Molecules,Surface Molecules
功能
Ligand for multiple Notch receptors and involved in the mediation of Notch signaling. May be involved in cell-fate decisions during hematopoiesis. Seems to be involved in early and late stages of mammalian cardiovascular development. Inhibits myoblast differentiation (By similarity). Enhances fibroblast growth factor-induced angiogenesis (in vitro).
化学信息
分子量Theoretical: 134 kDa. Actual: 22 kDa.
储存&溶解度
储存方式Store at -20°C or -80°C for 12 months. Avoid repeated freeze-thaw cycles.
运输方式Shipping with blue ice.

计算器

  • 稀释 计算器
  • 配液 计算器
Related Tags: buy Anti-Jagged 1 Polyclonal Antibody | purchase Anti-Jagged 1 Polyclonal Antibody | Anti-Jagged 1 Polyclonal Antibody cost | order Anti-Jagged 1 Polyclonal Antibody | Anti-Jagged 1 Polyclonal Antibody molecular weight