购物车
  • TargetMol
    您的购物车当前为空

Anti-Isocitrate dehydrogenase/IDH1 Antibody (9Q57)

Synonyms: PICD, isocitrate dehydrogenase 1 (NADP+), soluble, IDPC, IDP, IDH, IDCD, HEL-S-26, HEL-216
货号 TMAC-02246 一键复制产品信息
Rating icon 还可以
202603开学季活动

Anti-Isocitrate dehydrogenase/IDH1 Antibody (9Q57) 是一种 Mouse 抗体,靶向 Isocitrate dehydrogenase/IDH1。Anti-Isocitrate dehydrogenase/IDH1 Antibody (9Q57) 可用于 IHC,WB。

Anti-Isocitrate dehydrogenase/IDH1 Antibody (9Q57)

一键复制产品信息
Rating icon 还可以
202603开学季活动
货号 TMAC-02246

别名 PICD, isocitrate dehydrogenase 1 (NADP+), soluble, IDPC, IDP, IDH, IDCD, HEL-S-26, HEL-216

Anti-Isocitrate dehydrogenase/IDH1 Antibody (9Q57) 是一种 Mouse 抗体,靶向 Isocitrate dehydrogenase/IDH1。Anti-Isocitrate dehydrogenase/IDH1 Antibody (9Q57) 可用于 IHC,WB。

Anti-Isocitrate dehydrogenase/IDH1 Antibody (9Q57)
规格价格库存数量
50 μL
¥ 1,995
5日内发货
100 μL
¥ 2,995
5日内发货
库存状态实时更新,以官网显示为准,现货产品可直接加购物车下单
大包装 & 定制
加入购物车

TargetMol的所有产品仅用作科学研究或药证申报,不能被用于人体,我们不向个人提供产品和服务。请您遵守承诺用途,不得违反法律法规规定用于任何其他用途。

实验操作小课堂
常见问题解答
查看更多

资源下载:产品操作手册

产品介绍


生物活性
产品描述
Anti-Isocitrate dehydrogenase/IDH1 Antibody (9Q57) is a Mouse antibody targeting Isocitrate dehydrogenase/IDH1. Anti-Isocitrate dehydrogenase/IDH1 Antibody (9Q57) can be used in IHC,WB.
别名
PICD, isocitrate dehydrogenase 1 (NADP+), soluble, IDPC, IDP, IDH, IDCD, HEL-S-26, HEL-216
克隆号
9Q57
反应种属
Human,zebrafish
验证活性
1. Western blot analysis of IDH1 on different cell lysates using anti-IDH1 antibody at 1/1000 dilution. Positive control: Lane 1: Hela, Lane 2: HepG2, Lane 3: A431, Lane 4: MCF-7, Lane 5: A549, Lane 6: Jurkat, Lane 7: Human kidney, Lane 8: Human brain, Lane 9: Human liver.
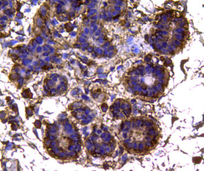
2. Immunohistochemical analysis of paraffin-embedded human colon carcinoma tissue using anti-IDH1 antibody. Counter stained with hematoxylin.
3. Immunohistochemical analysis of paraffin-embedded human breast tissue using anti-IDH1 antibody. Counter stained with hematoxylin.
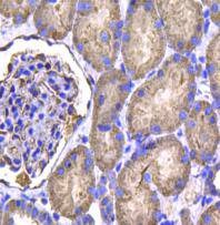
4. Immunohistochemical analysis of paraffin-embedded human kidney tissue using anti-IDH1 antibody. Counter stained with hematoxylin.
verifiedActivityverifiedActivityverifiedActivityverifiedActivity
应用IHCWB
推荐剂量
WB: 1:1000; IHC: 1:100-200
抗体种类
Monoclonal
宿主来源Mouse
构建方式Hybridoma Monoclonal Antibody
纯化方式ProA affinity purified
性状Liquid
缓冲液1*TBS (pH7.4), 1%BSA, 40%Glycerol. Preservative: 0.05% Sodium Azide.
研究背景Isocitrate dehydrogenase (IDH) is an enzyme that catalyzes the oxidative decarboxylation of isocitrate, producing alpha-ketoglutarate (α-ketoglutarate) and CO2. In humans, IDH exists in three isoforms: IDH3 catalyzes the third step of the citric acid cycle while converting NAD+ to NADH in the mitochondria. The isoforms IDH1 and IDH2 catalyze the same reaction outside the context of the citric acid cycle and use NADP+ as a cofactor instead of NAD+. They localize to the cytosol as well as the mitochondrion and peroxisome. Mutations in IDH1 are also implicated in cancer. Originally mutations in IDH1 were detected in an integrated genomic analysis of human glioblastoma multiforme. In addition to being mutated in diffuse gliomas, IDH1 has also been shown to harbor mutations in human acute myeloid leukemia (AML).
偶联与修饰
偶联
Unconjugated
抗原信息
免疫原
Recombinant Protein
Uniprot ID
化学信息
分子量Theoretical: 47 kDa.
储存&溶解度
储存方式Store at -20°C or -80°C for 12 months. Avoid repeated freeze-thaw cycles.
运输方式Shipping with blue ice.

计算器

  • 稀释 计算器
  • 配液 计算器

关键词

Related Tags: buy Anti-Isocitrate dehydrogenase/IDH1 Antibody (9Q57) | purchase Anti-Isocitrate dehydrogenase/IDH1 Antibody (9Q57) | Anti-Isocitrate dehydrogenase/IDH1 Antibody (9Q57) cost | order Anti-Isocitrate dehydrogenase/IDH1 Antibody (9Q57) | Anti-Isocitrate dehydrogenase/IDH1 Antibody (9Q57) molecular weight