购物车
  • TargetMol
    您的购物车当前为空

Anti-INHBB Polyclonal Antibody

Synonyms: MGC157939, Inhibin β B Protein, inhibin β B, inhibin beta B, INHBB
货号 TMAB-00969 一键复制产品信息
Rating icon 还可以

Anti-INHBB Polyclonal Antibody 是一种 Rabbit 抗体,靶向 INHBB。Anti-INHBB Polyclonal Antibody 可用于 IF,IHC-Fr,IHC-P,WB。

Anti-INHBB Polyclonal Antibody

一键复制产品信息
Rating icon 还可以
货号 TMAB-00969

别名 MGC157939, Inhibin β B Protein, inhibin β B, inhibin beta B, INHBB

Anti-INHBB Polyclonal Antibody 是一种 Rabbit 抗体,靶向 INHBB。Anti-INHBB Polyclonal Antibody 可用于 IF,IHC-Fr,IHC-P,WB。

Anti-INHBB Polyclonal Antibody
规格价格库存数量
50 μL
¥ 1,165
5日内发货
100 μL
¥ 1,965
5日内发货
200 μL
¥ 2,795
5日内发货
库存状态实时更新,以官网显示为准,现货产品可直接加购物车下单
大包装 & 定制
加入购物车

TargetMol的所有产品仅用作科学研究或药证申报,不能被用于人体,我们不向个人提供产品和服务。请您遵守承诺用途,不得违反法律法规规定用于任何其他用途。

实验操作小课堂
常见问题解答
查看更多

资源下载:产品操作手册

产品介绍


生物活性
产品描述
Anti-INHBB Polyclonal Antibody is a Rabbit antibody targeting INHBB. Anti-INHBB Polyclonal Antibody can be used in IF,IHC-Fr,IHC-P,WB.
别名
MGC157939, Inhibin β B Protein, inhibin β B, inhibin beta B, INHBB
Ig Type
IgG
反应种属
Human,Mouse,Rat (predicted:Dog,Pig,Cow,Sheep,GuineaPig)
验证活性
1. Sample:
A431 (Human) Cell Lysate at 40 μg
Primary: Anti-Inhibin beta B (TMAB-00969) at 1/300 dilution
Secondary: IRDye800CW Goat Anti-Rabbit IgG at 1/20000 dilution
Predicted band size: 45 kDa
Observed band size: 50 kDa
2. Sample:
Brain (Mouse) Lysate at 40 μg
Primary: Anti-Inhibin beta B (TMAB-00969) at 1/300 dilution
Secondary: IRDye800CW Goat Anti-Rabbit IgG at 1/20000 dilution
Predicted band size: 45 kDa
Observed band size: 50 kDa
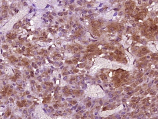
3. Paraformaldehyde-fixed, paraffin embedded (rat ovary tissue); Antigen retrieval by boiling in sodium citrate buffer (pH6.0) for 15 min; Block endogenous peroxidase by 3% hydrogen peroxide for 20 min; Blocking buffer (normal goat serum) at 37°C for 30 min; Antibody incubation with (Inhibin beta B) Polyclonal Antibody, Unconjugated (TMAB-00969) at 1:400 overnight at 4°C, followed by operating according to SP Kit (Rabbit) instructionsand DAB staining.
4. Sample:
Lane 1: Mouse Testis tissue lysates
Lane 2: Mouse Breast tissue lysates
Lane 3: Mouse Placenta tissue lysates
Lane 4: Mouse Liver tissue lysates
Lane 5: Rat Testis tissue lysates
Lane 6: Rat Breast tissue lysates
Lane 7: Human A431 cell lysates
Lane 8: Human HepG2 cell lysates
Primary: Anti-Inhibin beta B (TMAB-00969) at 1/1000 dilution
Secondary: IRDye800CW Goat Anti-Rabbit IgG at 1/20000 dilution
Predicted band size: 13/45 kDa
Observed band size: 46 kDa
verifiedActivityverifiedActivityverifiedActivityverifiedActivity
应用IFIHC-FrIHC-PWB
推荐剂量
WB: 1:500-2000; IHC-P: 1:100-500; IHC-Fr: 1:100-500; IF: 1:100-500
抗体种类
Polyclonal
宿主来源Rabbit
亚细胞定位Secreted.
构建方式Polyclonal Antibody
纯化方式Protein A purified
性状Liquid
缓冲液0.01M TBS (pH7.4) with 1% BSA, 0.02% Proclin300 and 50% Glycerol.
浓度1 mg/mL
研究背景The inhibin beta B subunit joins the alpha subunit to form a pituitary FSH secretion inhibitor. Inhibin has been shown to regulate gonadal stromal cell proliferation negatively and to have tumour-suppressor activity. In addition, serum levels of inhibin have been shown to reflect the size of granulosa-cell tumors and can therefore be used as a marker for primary as well as recurrent disease. Because expression in gonadal and various extragonadal tissues may vary severalfold in a tissue-specific fashion, it is proposed that inhibin may be both a growth/differentiation factor and a hormone. Furthermore, the beta B subunit forms a homodimer, activin B, and also joins with the beta A subunit to form a heterodimer, activin AB, both of which stimulate FSH secretion. [provided by RefSeq].
抗原信息
免疫原
KLH conjugated synthetic peptide: human Inhibin beta B
抗原种属
Human
基因名称
INHBB
基因ID
蛋白名称
Inhibin beta B chain
Uniprot ID
研究领域
Gonadotrophic axis,Hypothalamic pituitary adrenal axis,Hormones
化学信息
分子量Theoretical: 13/45 kDa. Actual: 46 kDa.
储存&溶解度
储存方式Store at -20°C or -80°C for 12 months. Avoid repeated freeze-thaw cycles.
运输方式Shipping with blue ice.

计算器

  • 稀释 计算器
  • 配液 计算器
Related Tags: buy Anti-INHBB Polyclonal Antibody | purchase Anti-INHBB Polyclonal Antibody | Anti-INHBB Polyclonal Antibody cost | order Anti-INHBB Polyclonal Antibody | Anti-INHBB Polyclonal Antibody molecular weight