购物车
  • 全部删除
  • TargetMol
    您的购物车当前为空

Anti-IL-4 Antibody (1H299)

一键复制产品信息
Rating icon 还可以
产品编号 TMAC-02145
别名 白细胞介素

Anti-IL-4 Antibody (1H299) 是一种 Rabbit 抗体,靶向 IL-4。Anti-IL-4 Antibody (1H299) 可用于 ICC/IF,IHC,WB。

Anti-IL-4 Antibody (1H299)

Anti-IL-4 Antibody (1H299)

一键复制产品信息
Rating icon 还可以
产品编号 TMAC-02145 别名 白细胞介素

Anti-IL-4 Antibody (1H299) 是一种 Rabbit 抗体,靶向 IL-4。Anti-IL-4 Antibody (1H299) 可用于 ICC/IF,IHC,WB。

规格价格库存数量
50 μL
¥ 1,480
5日内发货
100 μL
¥ 2,480
5日内发货
大包装 & 定制
加入购物车
TargetMol 的所有产品仅用作科学研究或药证申报,不能被用于人体,我们不向个人提供产品和服务。请您遵守承诺用途,不得违反法律法规规定用于任何其他用途。
实验操作小课堂
常见问题解答
查看更多
联系我们获取更多批次信息
资源下载

产品介绍

生物活性
产品描述
Anti-IL-4 Antibody (1H299) is a Rabbit antibody targeting IL-4. Anti-IL-4 Antibody (1H299) can be used in ICC/IF,IHC,WB.
别名白细胞介素
Ig Type
IgG
克隆号
1H299
交叉反应
Human
验证活性
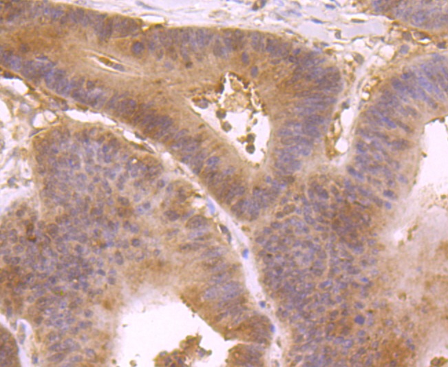
1. Immunohistochemical analysis of paraffin-embedded human colon cancer tissue using anti-IL4 antibody. Counter stained with hematoxylin.
2. Immunohistochemical analysis of paraffin-embedded human spleen tissue using anti-IL4 antibody. Counter stained with hematoxylin.
3. ICC staining IL4 in MCF-7 cells (red). The nuclear counter stain is DAPI (blue). Cells were fixed in paraformaldehyde, permeabilised with 0.25% Triton X100/PBS.
4. ICC staining IL4 in Hela cells (red). The nuclear counter stain is DAPI (blue). Cells were fixed in paraformaldehyde, permeabilised with 0.25% Triton X100/PBS.
5. ICC staining IL4 in D3 cells (red). The nuclear counter stain is DAPI (blue). Cells were fixed in paraformaldehyde, permeabilised with 0.25% Triton X100/PBS.
verifiedActivityverifiedActivityverifiedActivityverifiedActivityverifiedActivity
应用ICC/IFIHCWB
推荐剂量
WB: 1:500-1000; IHC: 1:50-200; ICC/IF: 1:50-200
抗体种类
Monoclonal
宿主来源Rabbit
构建方式Recombinant Antibody
纯化方式ProA affinity purified
性状Liquid
缓冲液1*TBS (pH7.4), 1%BSA, 40%Glycerol. Preservative: 0.05% Sodium Azide.
研究背景Interleukin-4 (IL-4), also designated B cell stimulatory factor-1, is a glycosylated cytokine secreted by activated T lymphocytes, basophils and mast cells. The secreted IL-4 protein promotes the growth and differentiation of cells that participate in immune defense by favoring such events as the expansion of the Th2 lineage relative to Th1 cells. These T helper cell subsets are defined by their pattern of cytokine secretion: Th1 cells secrete IL-2, TNFβ and IFN-γ, while Th2 cells secrete IL-4, IL-5 and IL-10. Another key immunological function of IL-4 is to induce immunoglobulin class switching. IL-4 has been shown to induce the production of IgE and enhance IgG4 secretion by B cells, but suppress the production of IgM, IgA, IgG1, IgG2, and IgG3. It has been determined that Stat6 is rapidly tyrosine phosphorylated following stimulation of IL-3 or IL-4, but is not detectably phosphorylated following stimulation with IL-2, IL-12 or erythropoietin.
偶联与修饰
偶联
Unconjugated
抗原信息
免疫原
Recombinant Protein
Uniprot ID
化学信息
分子量Theoretical: 14 kDa.
存储&运输
储存方式Store at -20°C or -80°C for 12 months. Avoid repeated freeze-thaw cycles.
运输方式Shipping with blue ice.

计算器

  • 稀释 计算器

评论列表

4个月前
5.0
Rating icon 很棒

评论内容

Related Tags: buy Anti-IL-4 Antibody (1H299) | purchase Anti-IL-4 Antibody (1H299) | Anti-IL-4 Antibody (1H299) cost | order Anti-IL-4 Antibody (1H299) | Anti-IL-4 Antibody (1H299) molecular weight