购物车
  • TargetMol
    您的购物车当前为空

Anti-IL-33 Polyclonal Antibody

Synonyms: 白细胞介素, 白介素, NF-HEV, NFEHEV, interleukin 33, IL1F11, DVS27, C9orf26
货号 TMAB-00959 一键复制产品信息
Rating icon 还可以

Anti-IL-33 Polyclonal Antibody 是一种 Rabbit 抗体,靶向 IL-33。Anti-IL-33 Polyclonal Antibody 可用于 IF,IHC-Fr,IHC-P,WB。

Anti-IL-33 Polyclonal Antibody

一键复制产品信息
Rating icon 还可以
货号 TMAB-00959

别名 白细胞介素, 白介素, NF-HEV, NFEHEV, interleukin 33, IL1F11, DVS27, C9orf26

Anti-IL-33 Polyclonal Antibody 是一种 Rabbit 抗体,靶向 IL-33。Anti-IL-33 Polyclonal Antibody 可用于 IF,IHC-Fr,IHC-P,WB。

Anti-IL-33 Polyclonal Antibody
规格价格库存数量
50 μL
¥ 1,170
5日内发货
100 μL
¥ 1,970
5日内发货
200 μL
¥ 2,785
5日内发货
库存状态实时更新,以官网显示为准,现货产品可直接加购物车下单
大包装 & 定制
加入购物车

TargetMol的所有产品仅用作科学研究或药证申报,不能被用于人体,我们不向个人提供产品和服务。请您遵守承诺用途,不得违反法律法规规定用于任何其他用途。

实验操作小课堂
常见问题解答
查看更多

资源下载:产品操作手册

产品介绍


生物活性
产品描述
Anti-IL-33 Polyclonal Antibody is a Rabbit antibody targeting IL-33. Anti-IL-33 Polyclonal Antibody can be used in IF,IHC-Fr,IHC-P,WB.
别名
白细胞介素, 白介素, NF-HEV, NFEHEV, interleukin 33, IL1F11, DVS27, C9orf26
Ig Type
IgG
反应种属
Human,Rat
验证活性
1. Sample:
293t (Human) Cell Lysate at 30 μg
Jurkat (Human) Cell Lysate at 30 μg
Primary: Anti-IL33 (TMAB-00959) at 1/500 dilution
Secondary: IRDye800CW Goat Anti-Rabbit IgG at 1/20000 dilution
Predicted band size: 31 kDa
Observed band size: 31 kDa
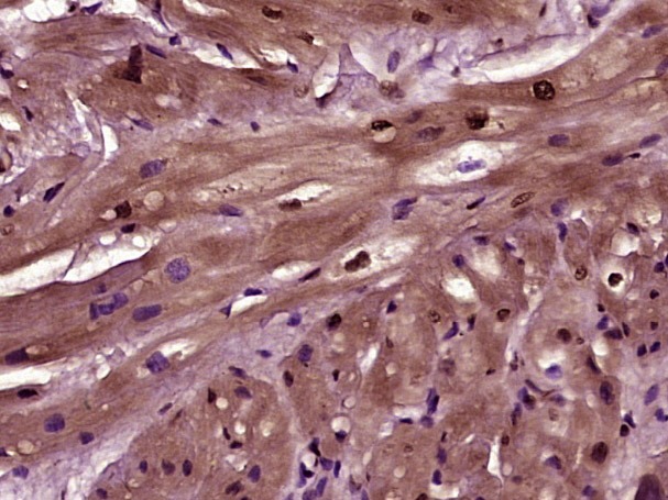
2. Paraformaldehyde-fixed, paraffin embedded (human heart tissue); Antigen retrieval by boiling in sodium citrate buffer (pH6.0) for 15 min; Block endogenous peroxidase by 3% hydrogen peroxide for 20 min; Blocking buffer (normal goat serum) at 37°C for 30 min; Antibody incubation with (IL33) Polyclonal Antibody, Unconjugated (TMAB-00959) at 1:400 overnight at 4°C, followed by operating according to SP Kit (Rabbit) instructionsand DAB staining.
3. Sample:
Raji (Human) Cell Lysate at 30 μg
Primary: Anti-IL33 (TMAB-00959) at 1/500 dilution
Secondary: IRDye800CW Goat Anti-Rabbit IgG at 1/20000 dilution
Predicted band size: 18 kDa
Observed band size: 25 kDa
4. Sample:
Jurkat (Human) Cell Lysate at 30 μg
Primary: Anti-IL33 (TMAB-00959) at 1/500 dilution
Secondary: IRDye800CW Goat Anti-Rabbit IgG at 1/20000 dilution
Predicted band size: 18 kDa
Observed band size: 25 kDa
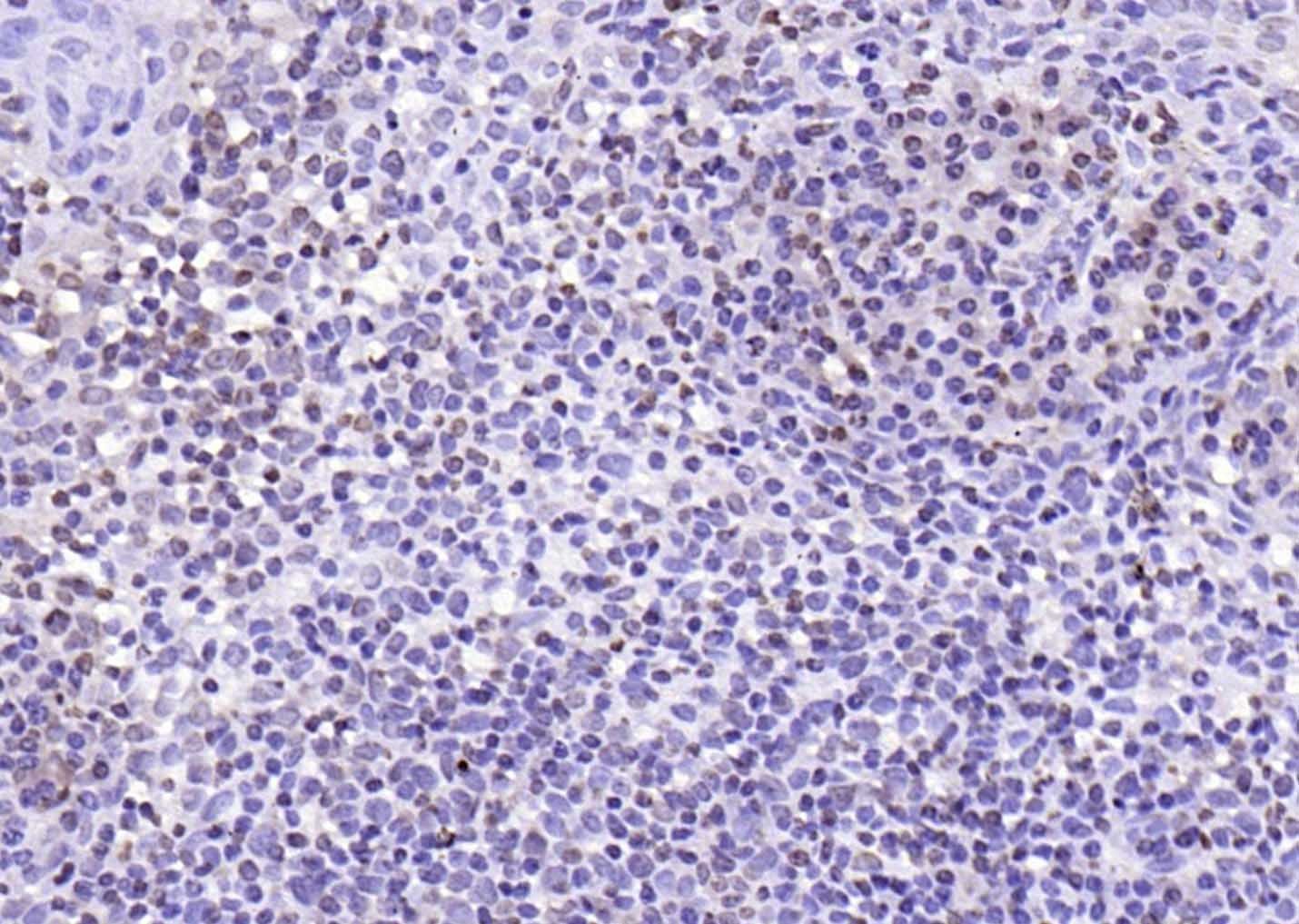
5. Paraformaldehyde-fixed, paraffin embedded (human tonsil); Antigen retrieval by boiling in sodium citrate buffer (pH6.0) for 15 min; Block endogenous peroxidase by 3% hydrogen peroxide for 20 min; Blocking buffer (normal goat serum) at 37°C for 30 min; Antibody incubation with (IL33) Polyclonal Antibody, Unconjugated (TMAB-00959) at 1:200 overnight at 4°C, followed by operating according to SP Kit (Rabbit) instructionsand DAB staining.
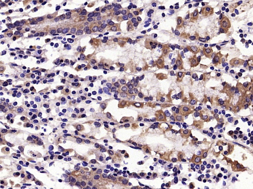
6. Paraformaldehyde-fixed, paraffin embedded (Human stomach); Antigen retrieval by microwave in sodium citrate buffer (pH6.0); Block endogenous peroxidase by 3% hydrogen peroxide for 30 minutes; Blocking buffer (3% BSA) at RT for 30 min; Antibody incubation with (IL33) Polyclonal Antibody, Unconjugated (TMAB-00959) at 1:400 overnight at 4°C, followed by conjugation to the secondary antibody (labeled with HRP) and DAB staining.
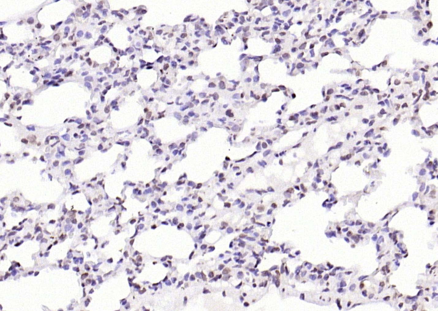
7. Paraformaldehyde-fixed, paraffin embedded (rat lung); Antigen retrieval by boiling in sodium citrate buffer (pH6.0) for 15 min; Block endogenous peroxidase by 3% hydrogen peroxide for 20 min; Blocking buffer (normal goat serum) at 37°C for 30 min; Antibody incubation with (IL33) Polyclonal Antibody, Unconjugated (TMAB-00959) at 1:200 overnight at 4°C, followed by operating according to SP Kit (Rabbit) instructionsand DAB staining.
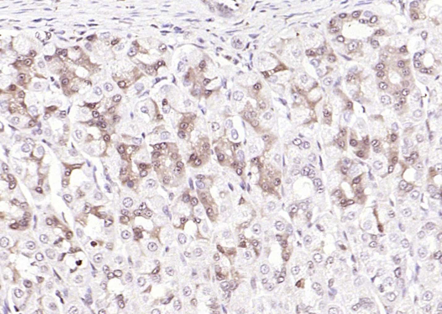
8. Paraformaldehyde-fixed, paraffin embedded (rat stomach); Antigen retrieval by boiling in sodium citrate buffer (pH6.0) for 15 min; Block endogenous peroxidase by 3% hydrogen peroxide for 20 min; Blocking buffer (normal goat serum) at 37°C for 30 min; Antibody incubation with (IL33) Polyclonal Antibody, Unconjugated (TMAB-00959) at 1:200 overnight at 4°C, followed by operating according to SP Kit (Rabbit) instructionsand DAB staining.
verifiedActivityverifiedActivityverifiedActivityverifiedActivityverifiedActivityverifiedActivityverifiedActivityverifiedActivity
应用IFIHC-FrIHC-PWB
推荐剂量
WB: 1:500-2000; IHC-P: 1:100-500; IHC-Fr: 1:100-500; IF: 1:100-500
抗体种类
Polyclonal
宿主来源Rabbit
亚细胞定位Nucleus. Chromosome. Cytoplasmic vesicle, secretory vesicle. Secreted. Note=Associates with heterochromatin and mitotic chromosomes. Translocation from the nucleus occurs upon biomechanical strain, depends on an intact microtubule network, and is ATP-dependent.
组织特异性Expressed at high level in high endothelial venules found in tonsils, Peyer patches and mesenteric lymph nodes. Almost undetectable in placenta.
构建方式Polyclonal Antibody
纯化方式Protein A purified
性状Liquid
缓冲液0.01M TBS (pH7.4) with 1% BSA, 0.02% Proclin300 and 50% Glycerol.
浓度1 mg/mL
研究背景IL33 is a cytokine which belongs to the IL-1 superfamily, and it induces helper T cells to produce type 2 cytokines. This cytokine was previously named NF-HEV 'nuclear factor (NF) in high endothelial venules' (HEVs), as it was originally identified in these specialized cells. IL33 mediates its biological effects by interacting with the receptors ST2 and IL-1 Receptor Accessory Protein, activating intracellular molecules in the NF-kappaB and MAP kinase signaling pathways that drive production of type 2 cytokines (e.g. IL-4, IL-5 and IL-13) from polarized Th2 cells. The induction of type 2 cytokines by IL-33 in vivo is believed to induce the the severe pathological changes observed in mucosal organs following administration of IL33.
抗原信息
免疫原
KLH conjugated synthetic peptide: human IL-33 Propeptide
抗原种属
Human
基因名称
IL33
基因ID
蛋白名称
Interleukin-33
Uniprot ID
研究领域
Cytokines,Hypertrophy,Interleukins
功能
Cytokine that binds to and signals through IL1RL1/ST2 and its stimulation recruits MYD88, IRAK1, IRAK4, and TRAF6, followed by phosphorylation of MAPK3/ERK1 and/or MAPK1/ERK2, MAPK14, and MAPK8. Induces T-helper type 2-associated cytokines. Acts as a chemoattractant tor Th2 cells, and may function as an 'alarmin', that amplifies immune responses during tissue injury. In quiescent endothelia the uncleaved form is constitutively and abundantly expressed, and acts as a chromatin-associated nuclear factor with transcriptional repressor properties, it may sequester nuclear NF-kappaB/RELA, lowering expression of its targets. This form is rapidely lost upon angiogenic or proinflammatory activation.
化学信息
分子量Theoretical: 31 kDa. Actual: 31 kDa.
储存&溶解度
储存方式Store at -20°C or -80°C for 12 months. Avoid repeated freeze-thaw cycles.
运输方式Shipping with blue ice.

计算器

  • 稀释 计算器
  • 配液 计算器

关键词

Related Tags: buy Anti-IL-33 Polyclonal Antibody | purchase Anti-IL-33 Polyclonal Antibody | Anti-IL-33 Polyclonal Antibody cost | order Anti-IL-33 Polyclonal Antibody | Anti-IL-33 Polyclonal Antibody molecular weight