购物车
  • TargetMol
    您的购物车当前为空

Anti-IL-11 Polyclonal Antibody

Synonyms: interleukin 11
货号 TMAB-00940 一键复制产品信息
Rating icon 还可以

Anti-IL-11 Polyclonal Antibody 是一种 Rabbit 抗体,靶向 IL-11。Anti-IL-11 Polyclonal Antibody 可用于 IF, IHC-Fr, IHC-P, WB。

Anti-IL-11 Polyclonal Antibody

一键复制产品信息
Rating icon 还可以
货号 TMAB-00940

别名 interleukin 11

Anti-IL-11 Polyclonal Antibody 是一种 Rabbit 抗体,靶向 IL-11。Anti-IL-11 Polyclonal Antibody 可用于 IF, IHC-Fr, IHC-P, WB。

Anti-IL-11 Polyclonal Antibody
规格价格库存数量
50 μL
¥ 1,170
5日内发货
100 μL
¥ 1,975
5日内发货
200 μL
¥ 2,780
5日内发货
库存状态实时更新,以官网显示为准,现货产品可直接加购物车下单
大包装 & 定制
加入购物车

TargetMol的所有产品仅用作科学研究或药证申报,不能被用于人体,我们不向个人提供产品和服务。请您遵守承诺用途,不得违反法律法规规定用于任何其他用途。

实验操作小课堂
常见问题解答
查看更多

资源下载:产品操作手册

产品介绍


生物活性
产品描述
Anti-IL-11 Polyclonal Antibody is a Rabbit antibody targeting IL-11. Anti-IL-11 Polyclonal Antibody can be used in IF, IHC-Fr, IHC-P, WB.
别名
interleukin 11
Ig Type
IgG
反应种属
Mouse,Rat (predicted:Human,Dog,Pig,Cow,GuineaPig)
验证活性
1. Sample: Testis (Mouse) Lysate at 30 μg
Primary: Anti-IL-11 (TMAB-00940) at 1/300 dilution
Secondary: IRDye800CW Goat Anti-Mouse IgG at 1/10000 dilution
Predicted band size: 19 kDa
Observed band size: 19 kDa
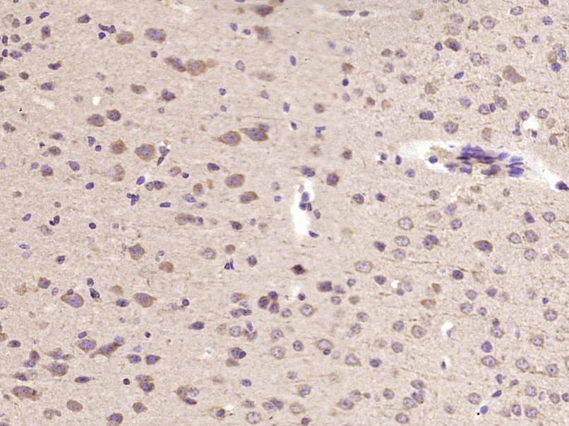
2. Paraformaldehyde-fixed, paraffin embedded (Rat brain); Antigen retrieval by microwave in sodium citrate buffer (pH6.0); Block endogenous peroxidase by 3% hydrogen peroxide for 30 minutes; Blocking buffer (3% BSA) at RT for 30 min; Antibody incubation with (IL-11) Polyclonal Antibody, Unconjugated (TMAB-00940) at 1:400 overnight at 4°C, followed by conjugation to the secondary antibody (labeled with HRP) and DAB staining.
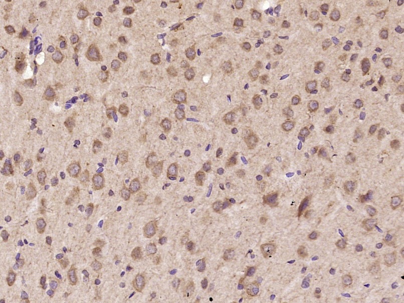
3. Paraformaldehyde-fixed, paraffin embedded (Mouse brain); Antigen retrieval by microwave in sodium citrate buffer (pH6.0); Block endogenous peroxidase by 3% hydrogen peroxide for 30 minutes; Blocking buffer (3% BSA) at RT for 30 min; Antibody incubation with (IL-11) Polyclonal Antibody, Unconjugated (TMAB-00940) at 1:400 overnight at 4°C, followed by conjugation to the secondary antibody (labeled with HRP) and DAB staining.
4. Sample:
Lane 1: Mouse Kidney tissue lysates
Lane 2: Rat Kidney tissue lysates
Primary: Anti-IL-11 (TMAB-00940) at 1/500 dilution
Secondary: IRDye800CW Goat Anti-Rabbit IgG at 1/20000 dilution
Predicted band size: 19 kDa
Observed band size: 19 kDa
verifiedActivityverifiedActivityverifiedActivityverifiedActivity
应用IFIHC-FrIHC-PWB
推荐剂量
WB: 1:500-2000; IHC-P: 1:100-500; IHC-Fr: 1:100-500; IF: 1:100-500
抗体种类
Polyclonal
宿主来源Rabbit
亚细胞定位Secreted.
构建方式Polyclonal Antibody
纯化方式Protein A purified
性状Liquid
缓冲液0.01M TBS (pH7.4) with 1% BSA, 0.02% Proclin300 and 50% Glycerol.
浓度1 mg/mL
研究背景Interleukin 11 is a pleiotropic cytokine produced by mesenchymal-derived adherent cells. IL11 shares many functions of IL6 and LIF, including potentiation of megakaryocyte activity, enhancement of human myeloma cell proliferation, and enhancement of hepatic acute phase protein production. Interleukin 11 directly stimulates the proliferation of hematopoietic stem cells and megakaryocyte progenitor cells, and induces megakaryocyte maturation resulting in increased platelet production. Clinically it is used to prevent severe thrombocytopenia and the reduction of the need for platelet transfusion following myelosuppressive chemotherapy.
抗原信息
免疫原
KLH conjugated synthetic peptide: human IL-11
抗原种属
Human
基因名称
IL11
基因ID
蛋白名称
Interleukin-11
Uniprot ID
研究领域
Interleukins,Interleukin,Non-CD,Interleukins,Other secreted molecules,Thrombocytic Lineage
功能
Directly stimulates the proliferation of hematopoietic stem cells and megakaryocyte progenitor cells and induces megakaryocyte maturation resulting in increased platelet production.
化学信息
分子量Theoretical: 19 kDa. Actual: 19 kDa.
储存&溶解度
储存方式Store at -20°C or -80°C for 12 months. Avoid repeated freeze-thaw cycles.
运输方式Shipping with blue ice.

计算器

  • 稀释 计算器
  • 配液 计算器
Related Tags: buy Anti-IL-11 Polyclonal Antibody | purchase Anti-IL-11 Polyclonal Antibody | Anti-IL-11 Polyclonal Antibody cost | order Anti-IL-11 Polyclonal Antibody | Anti-IL-11 Polyclonal Antibody molecular weight