购物车
  • TargetMol
    您的购物车当前为空

Anti-IL-10 Polyclonal Antibody 3

Synonyms: 白介素, interleukin 10, Il-10, CSIF
货号 TMAB-00938 一键复制产品信息
Rating icon 还可以

Anti-IL-10 Polyclonal Antibody 3 是一种 Rabbit 抗体,靶向 IL-10。Anti-IL-10 Polyclonal Antibody 3 可用于 IF, IHC-Fr, IHC-P, WB。

Anti-IL-10 Polyclonal Antibody 3

一键复制产品信息
Rating icon 还可以
货号 TMAB-00938

别名 白介素, interleukin 10, Il-10, CSIF

Anti-IL-10 Polyclonal Antibody 3 是一种 Rabbit 抗体,靶向 IL-10。Anti-IL-10 Polyclonal Antibody 3 可用于 IF, IHC-Fr, IHC-P, WB。

Anti-IL-10 Polyclonal Antibody 3
规格价格库存数量
50 μL
¥ 1,160
5日内发货
100 μL
¥ 1,960
5日内发货
200 μL
¥ 2,785
5日内发货
库存状态实时更新,以官网显示为准,现货产品可直接加购物车下单
大包装 & 定制
加入购物车

TargetMol的所有产品仅用作科学研究或药证申报,不能被用于人体,我们不向个人提供产品和服务。请您遵守承诺用途,不得违反法律法规规定用于任何其他用途。

实验操作小课堂
常见问题解答
查看更多

资源下载:产品操作手册

产品介绍


生物活性
产品描述
Anti-IL-10 Polyclonal Antibody 3 is a Rabbit antibody targeting IL-10. Anti-IL-10 Polyclonal Antibody 3 can be used in IF, IHC-Fr, IHC-P, WB.
别名
白介素, interleukin 10, Il-10, CSIF
Ig Type
IgG
反应种属
Human (predicted:Mouse,Rat,Chicken,Pig,Rabbit,Sheep,GuineaPig)
验证活性
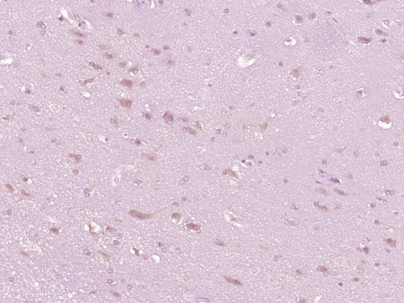
1. Tissue/cell: human glioma tissue; 4% Paraformaldehyde-fixed and paraffin-embedded;
Antigen retrieval: citrate buffer (0.01M, pH6.0), Boiling bathing for 15 min; Block endogenous peroxidase by 3% Hydrogen peroxide for 30 min; Blocking buffer (normal goat serum) at 37°C for 20 min; Incubation: Anti-IL-10 Polyclonal Antibody, Unconjugated (TMAB-00938) 1:200, overnight at 4°C, followed by conjugation to the secondary antibody and DAb staining.
2. Paraformaldehyde-fixed, paraffin embedded (Human brain glioma); Antigen retrieval by boiling in sodium citrate buffer (pH6.0) for 15 min; Block endogenous peroxidase by 3% hydrogen peroxide for 20 min; Blocking buffer (normal goat serum) at 37°C for 30 min; Antibody incubation with (IL-10) Polyclonal Antibody, Unconjugated (TMAB-00938) at 1:400 overnight at 4°C, followed by operating according to SP Kit (Rabbit) instructionsand DAB staining.
verifiedActivityverifiedActivity
应用IFIHC-FrIHC-PWB
推荐剂量
WB: 1:500-2000; IHC-P: 1:100-500; IHC-Fr: 1:100-500; IF: 1:100-500
抗体种类
Polyclonal
宿主来源Rabbit
亚细胞定位Secreted.
组织特异性Produced by a variety of cell lines, including T-cells, macrophages, mast cells and other cell types.
构建方式Polyclonal Antibody
纯化方式Protein A purified
性状Liquid
缓冲液0.01M TBS (pH7.4) with 1% BSA, 0.02% Proclin300 and 50% Glycerol.
浓度1 mg/mL
研究背景The protein encoded by this gene is a cytokine produced primarily by monocytes and to a lesser extent by lymphocytes. This cytokine has pleiotropic effects in immunoregulation and inflammation. It down-regulates the expression of Th1 cytokines, MHC class II Ags, and costimulatory molecules on macrophages. It also enhances B cell survival, proliferation, and antibody production. This cytokine can block NF-kappa B activity, and is involved in the regulation of the JAK-STAT signaling pathway. Knockout studies in mice suggested the function of this cytokine as an essential immunoregulator in the intestinal tract. Mutations in this gene are associated with an increased susceptibility to HIV-1 infection and rheumatoid arthritis. [provided by RefSeq, May 2020]
抗原信息
免疫原
KLH conjugated synthetic peptide: human IL-10
抗原种属
Human
基因名称
IL10
基因ID
蛋白名称
Interleukin-10
Uniprot ID
研究领域
Interleukins,Regulatory T Cells,Interleukins
功能
IL-10 protein is a cytokine produced primarily by monocytes and to a lesser extent by lymphocytes. This cytokine has pleiotropic effects in immunoregulation and inflammation. It down-regulates the expression of Th1 cytokines, MHC class II Ags, and costimulatory molecules on macrophages. It also enhances B cell survival, proliferation, and antibody production. This cytokine can block NF-kappa B activity, and is involved in the regulation of the JAK-STAT signaling pathway. Knockout studies in mice suggested the function of this cytokine as an essential immunoregulator in the intestinal tract.
化学信息
分子量Theoretical: 18 kDa. Actual: 21 kDa.
储存&溶解度
储存方式Store at -20°C or -80°C for 12 months. Avoid repeated freeze-thaw cycles.
运输方式Shipping with blue ice.

计算器

  • 稀释 计算器
  • 配液 计算器
Related Tags: buy Anti-IL-10 Polyclonal Antibody 3 | purchase Anti-IL-10 Polyclonal Antibody 3 | Anti-IL-10 Polyclonal Antibody 3 cost | order Anti-IL-10 Polyclonal Antibody 3 | Anti-IL-10 Polyclonal Antibody 3 molecular weight