购物车
  • 全部删除
  • TargetMol
    您的购物车当前为空

Anti-IgG4 Antibody (3E18)

一键复制产品信息
Rating icon 还可以
产品编号 TMAC-02110
别名 IGHG4, IgG4 Fc

Anti-IgG4 Antibody (3E18) 是一种 Rabbit 抗体,靶向 IgG4。Anti-IgG4 Antibody (3E18) 可用于 IHC,WB。

Anti-IgG4 Antibody (3E18)

Anti-IgG4 Antibody (3E18)

一键复制产品信息
Rating icon 还可以
产品编号 TMAC-02110 别名 IGHG4, IgG4 Fc

Anti-IgG4 Antibody (3E18) 是一种 Rabbit 抗体,靶向 IgG4。Anti-IgG4 Antibody (3E18) 可用于 IHC,WB。

规格价格库存数量
50 μL
¥ 1,495
5日内发货
100 μL
¥ 2,495
5日内发货
大包装 & 定制
加入购物车
TargetMol 的所有产品仅用作科学研究或药证申报,不能被用于人体,我们不向个人提供产品和服务。请您遵守承诺用途,不得违反法律法规规定用于任何其他用途。
实验操作小课堂
常见问题解答
查看更多
联系我们获取更多批次信息
资源下载

产品介绍

生物活性
产品描述
Anti-IgG4 Antibody (3E18) is a Rabbit antibody targeting IgG4. Anti-IgG4 Antibody (3E18) can be used in IHC,WB.
别名IGHG4, IgG4 Fc
Ig Type
IgG
克隆号
3E18
交叉反应
Human
验证活性
1. Western blot analysis of IgG4 on human plasma lysates using anti-IgG4 antibody at 1/1,000 dilution.
2. Immunohistochemical analysis of paraffin-embedded human tonsil tissue using anti-IgG4 antibody. Counter stained with hematoxylin.
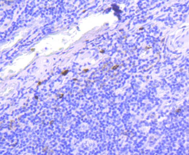
3. Immunohistochemical analysis of paraffin-embedded human spleen tissue using anti-IgG4 antibody. Counter stained with hematoxylin.
verifiedActivityverifiedActivityverifiedActivity
应用IHCWB
推荐剂量
WB: 1:1000-5000; IHC: 1:50-200
抗体种类
Monoclonal
宿主来源Rabbit
构建方式Recombinant Antibody
纯化方式ProA affinity purified
性状Liquid
缓冲液1*TBS (pH7.4), 1%BSA, 40%Glycerol. Preservative: 0.05% Sodium Azide.
研究背景The regions of relatively constant sequence beyond the variable regions of immunoglobulins are termed constant regions (C regions) and are present in both the heavy and light chains. With very few exceptions, the sites of attachment for carbohydrates on immunoglobulins are located in these C regions. These regions also function to hold the variable regions together by using the disulfide bond between them. The C regions facilitate interaction with the antigen by increasing the maximum rotation of the immunoglobulin arms. Several studies have shown that a large population of patients with recurrent respiratory tract infection have low IgG4 concentrations.
偶联与修饰
偶联
Unconjugated
抗原信息
免疫原
Recombinant Protein
Uniprot ID
化学信息
分子量Theoretical: 36 kDa.
存储&运输
储存方式Store at -20°C or -80°C for 12 months. Avoid repeated freeze-thaw cycles.
运输方式Shipping with blue ice.

计算器

  • 稀释 计算器

关键词

评论列表

4个月前
5.0
Rating icon 很棒

评论内容

Related Tags: buy Anti-IgG4 Antibody (3E18) | purchase Anti-IgG4 Antibody (3E18) | Anti-IgG4 Antibody (3E18) cost | order Anti-IgG4 Antibody (3E18) | Anti-IgG4 Antibody (3E18) molecular weight