购物车
  • TargetMol
    您的购物车当前为空

Anti-IgA Antibody (7U718)

Synonyms: polymeric immunoglobulin receptor Secretory component, polymeric immunoglobulin receptor, Poly-Ig receptor, PIgR, Immunoglobulin heavy constant alpha 2 A2m marker, Immunoglobulin heavy constant alpha 2, Immunoglobulin heavy constant alpha 1, IGHA2, IGHA1, IGHA, Ig alpha 2 chain C region, Ig alpha 1 chain C region, Hepatocellular carcinoma-associated protein TB6
货号 TMAC-02091 一键复制产品信息
Rating icon 还可以

Anti-IgA Antibody (7U718) 是一种 Rabbit 抗体,靶向 IgA。Anti-IgA Antibody (7U718) 可用于 ICC/IF,IHC,IP,WB。

Anti-IgA Antibody (7U718)

一键复制产品信息
Rating icon 还可以
货号 TMAC-02091

别名 polymeric immunoglobulin receptor Secretory component, polymeric immunoglobulin receptor, Poly-Ig receptor, PIgR, Immunoglobulin heavy constant alpha 2 A2m marker, Immunoglobulin heavy constant alpha 2, Immunoglobulin heavy constant alpha 1, IGHA2, IGHA1, IGHA, Ig alpha 2 chain C region, Ig alpha 1 chain C region, Hepatocellular carcinoma-associated protein TB6

Anti-IgA Antibody (7U718) 是一种 Rabbit 抗体,靶向 IgA。Anti-IgA Antibody (7U718) 可用于 ICC/IF,IHC,IP,WB。

Anti-IgA Antibody (7U718)
规格价格库存数量
50 μL
¥ 1,495
5日内发货
100 μL
¥ 2,495
5日内发货
库存状态实时更新,以官网显示为准,现货产品可直接加购物车下单
大包装 & 定制
加入购物车

TargetMol的所有产品仅用作科学研究或药证申报,不能被用于人体,我们不向个人提供产品和服务。请您遵守承诺用途,不得违反法律法规规定用于任何其他用途。

实验操作小课堂
常见问题解答
查看更多

资源下载:产品操作手册

产品介绍


生物活性
产品描述
Anti-IgA Antibody (7U718) is a Rabbit antibody targeting IgA. Anti-IgA Antibody (7U718) can be used in ICC/IF,IHC,IP,WB.
别名
polymeric immunoglobulin receptor Secretory component, polymeric immunoglobulin receptor, Poly-Ig receptor, PIgR, Immunoglobulin heavy constant alpha 2 A2m marker, Immunoglobulin heavy constant alpha 2, Immunoglobulin heavy constant alpha 1, IGHA2, IGHA1, IGHA, Ig alpha 2 chain C region, Ig alpha 1 chain C region, Hepatocellular carcinoma-associated protein TB6
Ig Type
IgG
克隆号
7U718
反应种属
Human
验证活性
1. Western blot analysis of IgA on human plasma lysates using anti-IgA antibody at 1/1,000 dilution.
2. Immunohistochemical analysis of paraffin-embedded human tonsil tissue using anti-IgA antibody. Counter stained with hematoxylin.
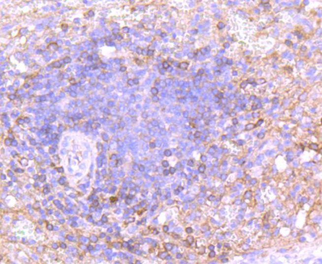
3. Immunohistochemical analysis of paraffin-embedded human spleen tissue using anti-IgA antibody. Counter stained with hematoxylin.
4. ICC staining IgA in HepG2 cells (red). The nuclear counter stain is DAPI (blue). Cells were fixed in paraformaldehyde, permeabilised with 0.25% Triton X100/PBS.
verifiedActivityverifiedActivityverifiedActivityverifiedActivity
应用ICC/IFIHCIPWB
推荐剂量
WB: 1:1000; IHC: 1:50-200; ICC/IF: 1:50-200; IP: 1:50-100
抗体种类
Monoclonal
宿主来源Rabbit
构建方式Recombinant Antibody
纯化方式ProA affinity purified
性状Liquid
缓冲液1*TBS (pH7.4), 1%BSA, 40%Glycerol. Preservative: 0.05% Sodium Azide.
研究背景Immunoglobulins are four-chain, Y-shaped, monomeric structures comprised of two identical heavy chains and two identical light chains held together through interchain disulfide bonds. The chains form two domains, the Fab (antigen binding) fragment and the Fc (constant) fragment. Immunoglobulin A (IgA) is the main protein of the mucosal immune system. It is generated by B cells in gut-associated lymphoid tissues. Daily production of IgA exceeds that of any of the other immunoglobulins. The IgA heavy chain is an α-chain, and the light chains are either κ- or λ- chains. IgA exists mainly in dimers but can also exist as polymers or as monomers. Dimers and polymers contain a joining (J) chain that can be bound by the polymeric immunoglobulin receptor (pIgR) for transportation of the molecule to mucosal surfaces.
偶联与修饰
偶联
Unconjugated
抗原信息
免疫原
Recombinant Protein
Uniprot ID
化学信息
分子量Theoretical: 60 kDa.
储存&溶解度
储存方式Store at -20°C or -80°C for 12 months. Avoid repeated freeze-thaw cycles.
运输方式Shipping with blue ice.

计算器

  • 稀释 计算器
  • 配液 计算器
Related Tags: buy Anti-IgA Antibody (7U718) | purchase Anti-IgA Antibody (7U718) | Anti-IgA Antibody (7U718) cost | order Anti-IgA Antibody (7U718) | Anti-IgA Antibody (7U718) molecular weight