购物车
  • 全部删除
  • TargetMol
    您的购物车当前为空

Anti-IDE Antibody (5U690)

一键复制产品信息
Rating icon 还可以
产品编号 TMAC-02163
别名 Insulysin, Insulin-Degrading Enzyme, Insulinase, Insulin Protease, IDE, Aβ-Degrading Protease, Abeta-Degrading Protease

Anti-IDE Antibody (5U690) 是一种 Rabbit 抗体,靶向 IDE。Anti-IDE Antibody (5U690) 可用于 IHC,WB。

Anti-IDE Antibody (5U690)

Anti-IDE Antibody (5U690)

一键复制产品信息
Rating icon 还可以
产品编号 TMAC-02163 别名 Insulysin, Insulin-Degrading Enzyme, Insulinase, Insulin Protease, IDE, Aβ-Degrading Protease, Abeta-Degrading Protease

Anti-IDE Antibody (5U690) 是一种 Rabbit 抗体,靶向 IDE。Anti-IDE Antibody (5U690) 可用于 IHC,WB。

规格价格库存数量
50 μL
¥ 1,485
5日内发货
100 μL
¥ 2,480
5日内发货
大包装 & 定制
加入购物车
TargetMol 的所有产品仅用作科学研究或药证申报,不能被用于人体,我们不向个人提供产品和服务。请您遵守承诺用途,不得违反法律法规规定用于任何其他用途。
实验操作小课堂
常见问题解答
查看更多
联系我们获取更多批次信息
资源下载

产品介绍

生物活性
产品描述
Anti-IDE Antibody (5U690) is a Rabbit antibody targeting IDE. Anti-IDE Antibody (5U690) can be used in IHC,WB.
别名Insulysin, Insulin-Degrading Enzyme, Insulinase, Insulin Protease, IDE, Aβ-Degrading Protease, Abeta-Degrading Protease
Ig Type
IgG
克隆号
5U690
交叉反应
Human,Mouse,Rat,zebrafish
验证活性
1. Western blot analysis of Insulin degrading enzyme on different lysates using anti-Insulin degrading enzyme antibody at 1/1,000 dilution. Positive control: Lane 1: zebrafish, Lane 2: Hela, Lane 3: K562.
2. Western blot analysis of Insulin degrading enzyme on hybrid fish (crucian-carp) heart tissue lysate using anti-Insulin degrading enzyme antibody at 1/500 dilution.
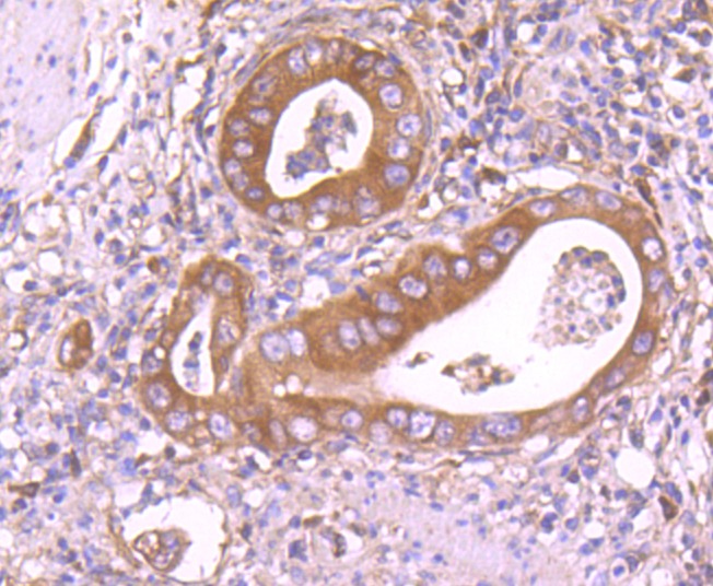
3. Immunohistochemical analysis of paraffin-embedded human liver cancer tissue using anti-Insulin degrading enzyme antibody. Counter stained with hematoxylin.
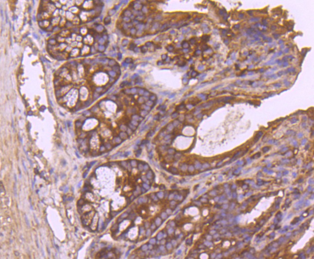
4. Immunohistochemical analysis of paraffin-embedded human colon cancer tissue using anti-Insulin degrading enzyme antibody. Counter stained with hematoxylin.
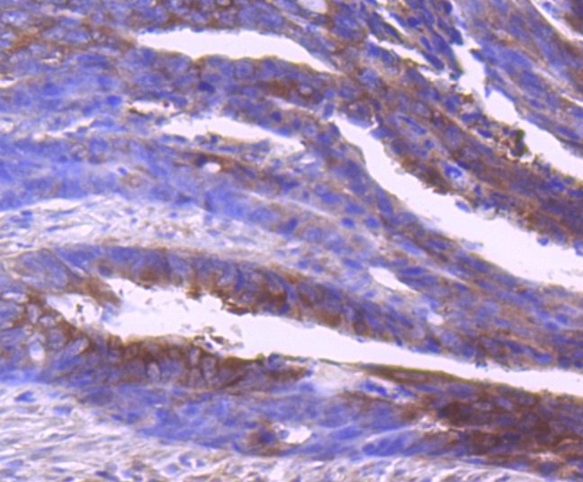
5. Immunohistochemical analysis of paraffin-embedded human gastric carcinoma tissue using anti-Insulin degrading enzyme antibody. Counter stained with hematoxylin.
6. Immunohistochemical analysis of paraffin-embedded mouse colon tissue using anti-Insulin degrading enzyme antibody. Counter stained with hematoxylin.
verifiedActivityverifiedActivityverifiedActivityverifiedActivityverifiedActivityverifiedActivity
应用IHCWB
推荐剂量
WB: 1:1000-2000; IHC: 1:50-200
抗体种类
Monoclonal
宿主来源Rabbit
构建方式Recombinant Antibody
纯化方式ProA affinity purified
性状Liquid
缓冲液1*TBS (pH7.4), 1%BSA, 40%Glycerol. Preservative: 0.05% Sodium Azide.
研究背景Insulin degrading enzyme (IDE), also known as insulinase, insulin protease or insulysin, cleaves the peptide hormone insulin with consequences for insulin response and resistance. IDE is a highly conserved thiol metalloprotease with ubiquitous expression including the brain. Since its discovery, IDE has been shown to degrade a variety of bioactive peptides. Recently the finding that IDE clears intracellular and extracellular amyloid products has spurred research into the link between IDE function and human neurodegenerative disease such as Alzheimer??s.
偶联与修饰
偶联
Unconjugated
抗原信息
免疫原
Recombinant Protein
Uniprot ID
化学信息
分子量Theoretical: 118 kDa.
存储&运输
储存方式Store at -20°C or -80°C for 12 months. Avoid repeated freeze-thaw cycles.
运输方式Shipping with blue ice.

计算器

  • 稀释 计算器

关键词

评论列表

4个月前
5.0
Rating icon 很棒

评论内容

Related Tags: buy Anti-IDE Antibody (5U690) | purchase Anti-IDE Antibody (5U690) | Anti-IDE Antibody (5U690) cost | order Anti-IDE Antibody (5U690) | Anti-IDE Antibody (5U690) molecular weight