• TargetMol
    您的购物车当前为空

Anti-ICAM-1/CD54 Polyclonal Antibody

一键复制产品信息
Rating icon 还可以
产品编号 TMAB-00905

别名 P3.58, intercellular adhesion molecule 1, ICAM-1, CD54, BB2

Anti-ICAM-1/CD54 Polyclonal Antibody 是一种 Rabbit 抗体,靶向 ICAM-1/CD54。Anti-ICAM-1/CD54 Polyclonal Antibody 可用于 IF,IHC-Fr,IHC-P,WB。

Anti-ICAM-1/CD54 Polyclonal Antibody

Anti-ICAM-1/CD54 Polyclonal Antibody

一键复制产品信息
Rating icon 还可以
产品编号 TMAB-00905 别名 P3.58, intercellular adhesion molecule 1, ICAM-1, CD54, BB2

Anti-ICAM-1/CD54 Polyclonal Antibody 是一种 Rabbit 抗体,靶向 ICAM-1/CD54。Anti-ICAM-1/CD54 Polyclonal Antibody 可用于 IF,IHC-Fr,IHC-P,WB。

规格价格库存数量
50 μL
¥ 1,175
5日内发货
100 μL
¥ 1,965
5日内发货
200 μL
¥ 2,790
5日内发货
大包装 & 定制
加入购物车
TargetMol 的所有产品仅用作科学研究或药证申报,不能被用于人体,我们不向个人提供产品和服务。请您遵守承诺用途,不得违反法律法规规定用于任何其他用途。
实验操作小课堂
常见问题解答
查看更多

Anti-ICAM-1/CD54 Polyclonal Antibody 相关产品


资源下载

产品介绍

生物活性
产品描述
Anti-ICAM-1/CD54 Polyclonal Antibody is a Rabbit antibody targeting ICAM-1/CD54. Anti-ICAM-1/CD54 Polyclonal Antibody can be used in IF,IHC-Fr,IHC-P,WB.
别名P3.58, intercellular adhesion molecule 1, ICAM-1, CD54, BB2
Ig Type
IgG
交叉反应
Human
验证活性
1. Paraformaldehyde-fixed, paraffin embedded Human Lung Cancer; Antigen retrieval by boiling in sodium citrate buffer (pH6.0) for 15 min; Antibody incubation with ICAM1 Polyclonal Antibody, Unconjugated (TMAB-00905) at 1:200 overnight at 4°C, followed by conjugation to the secondary antibody and DAB staining.
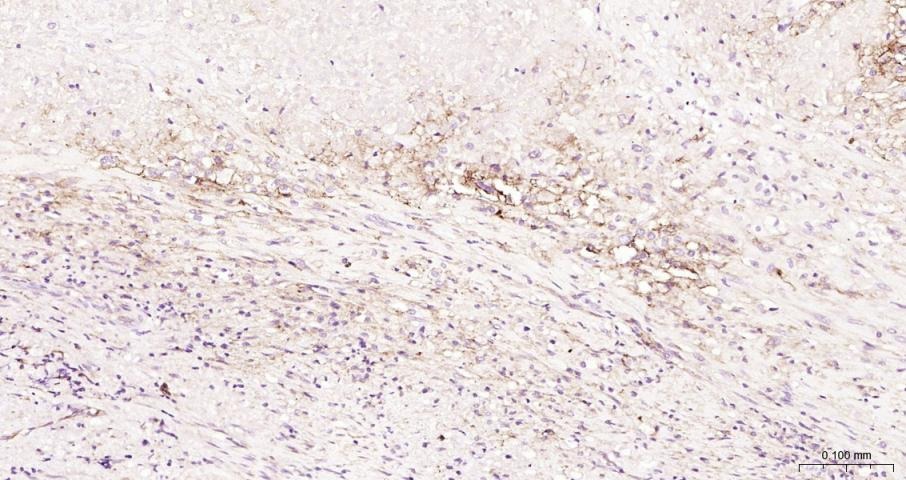
2. Paraformaldehyde-fixed, paraffin embedded Human Colon Cancer; Antigen retrieval by boiling in sodium citrate buffer (pH6.0) for 15 min; Antibody incubation with ICAM1 Polyclonal Antibody, Unconjugated (TMAB-00905) at 1:200 overnight at 4°C, followed by conjugation to the secondary antibody and DAB staining.
3. Paraformaldehyde-fixed, paraffin embedded Human Prostate Tumor; Antigen retrieval by boiling in sodium citrate buffer (pH6.0) for 15 min; Antibody incubation with ICAM1 Polyclonal Antibody, Unconjugated (TMAB-00905) at 1:200 overnight at 4°C, followed by conjugation to the secondary antibody and DAB staining.
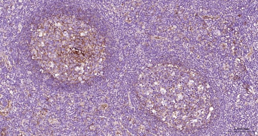
4. Paraformaldehyde-fixed, paraffin embedded Human Tonsil; Antigen retrieval by boiling in sodium citrate buffer (pH6.0) for 15 min; Antibody incubation with ICAM1 Polyclonal Antibody, Unconjugated (TMAB-00905) at 1:200 overnight at 4°C, followed by conjugation to the secondary antibody and DAB staining.
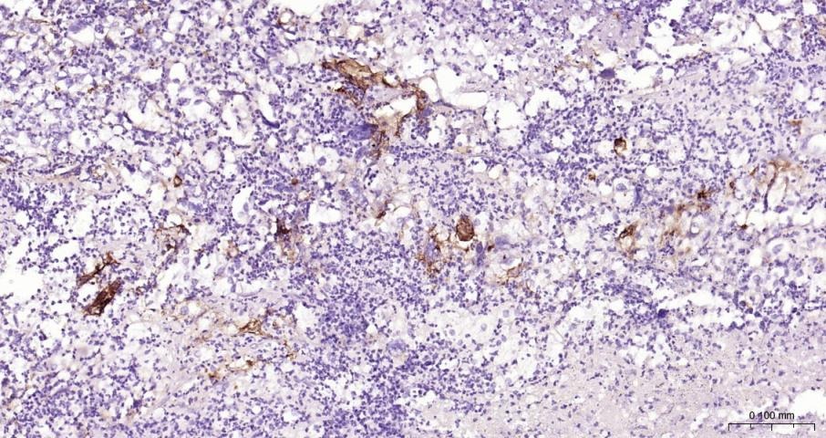
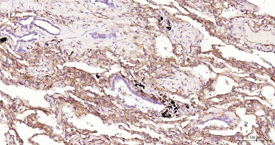
5. Paraformaldehyde-fixed, paraffin embedded Human Lung; Antigen retrieval by boiling in sodium citrate buffer (pH6.0) for 15 min; Antibody incubation with ICAM1 Polyclonal Antibody, Unconjugated (TMAB-00905) at 1:200 overnight at 4°C, followed by conjugation to the secondary antibody and DAB staining.
6. Paraformaldehyde-fixed, paraffin embedded Human Spleen; Antigen retrieval by boiling in sodium citrate buffer (pH6.0) for 15 min; Antibody incubation with ICAM1 Polyclonal Antibody, Unconjugated (TMAB-00905) at 1:200 overnight at 4°C, followed by conjugation to the secondary antibody and DAB staining.
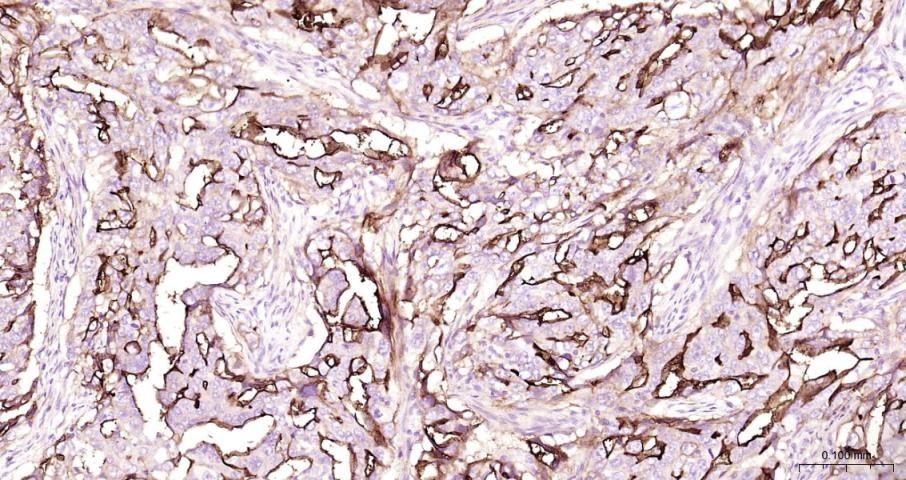
7. Paraformaldehyde-fixed, paraffin embedded Human Uterine body cancer; Antigen retrieval by boiling in sodium citrate buffer (pH6.0) for 15 min; Antibody incubation with ICAM1 Polyclonal Antibody, Unconjugated (TMAB-00905) at 1:200 overnight at 4°C, followed by conjugation to the secondary antibody and DAB staining.
8. 25 μg total protein per Lane of various lysates probed with ICAM1 polyclonal antibody, unconjugated (TMAB-00905) at 1:1000 dilution and 4°C overnight incubation. Followed by conjugated secondary antibody incubation at RT for 60 min.
verifiedActivityverifiedActivityverifiedActivityverifiedActivityverifiedActivityverifiedActivityverifiedActivityverifiedActivity
应用IFIHC-FrIHC-PWB
推荐剂量
IHC-P: 1:100-500; IHC-Fr: 1:100-500; IF: 1:100-500; WB: 1:500-2000
抗体种类
Polyclonal
宿主来源Rabbit
亚细胞定位Membrane; Single-pass type I membrane protein.
构建方式Polyclonal Antibody
纯化方式Protein A purified
性状Liquid
缓冲液0.01M TBS (pH7.4) with 1% BSA, 0.02% Proclin300 and 50% Glycerol.
浓度1 mg/mL
研究背景This gene encodes a cell surface glycoprotein which is typically expressed on endothelial cells and cells of the immune system. It binds to integrins of type CD11a / CD18, or CD11b / CD18 and is also exploited by Rhinovirus as a receptor. [provided by RefSeq, Jul 2008].
抗原信息
免疫原
KLH conjugated synthetic peptide: human CD54
抗原种属
Human
基因名称
ICAM1
基因ID
蛋白名称
Intercellular adhesion molecule 1
Uniprot ID
研究领域
Endothelial Cell Markers,Cell adhesion molecules,Regulatory T Cells,Adhesion,SARS Coronavirus,B Lymphocytic Lineage,T Lymphocytic Lineage
功能
ICAM proteins are ligands for the leukocyte adhesion protein LFA-1 (integrin alpha-L/beta-2). During leukocyte trans-endothelial migration, ICAM1 engagement promotes the assembly of endothelial apical cups through ARHGEF26/SGEF and RHOG activation. In case of rhinovirus infection acts as a cellular receptor for the virus.
化学信息
分子量Theoretical: 56 kDa. Actual: 58/100 kDa.
存储&运输
储存方式Store at -20°C or -80°C for 12 months. Avoid repeated freeze-thaw cycles.
运输方式Shipping with blue ice.

计算器

  • 稀释 计算器

关键词

评论列表

4个月前
5.0
Rating icon 很棒

评论内容

Related Tags: buy Anti-ICAM-1/CD54 Polyclonal Antibody | purchase Anti-ICAM-1/CD54 Polyclonal Antibody | Anti-ICAM-1/CD54 Polyclonal Antibody cost | order Anti-ICAM-1/CD54 Polyclonal Antibody | Anti-ICAM-1/CD54 Polyclonal Antibody molecular weight