购物车
  • 全部删除
  • TargetMol
    您的购物车当前为空

Anti-hydroxyproline Polyclonal Antibody

一键复制产品信息
Rating icon 还可以
产品编号 TMAB-00901
别名 Hyp

Anti-hydroxyproline Polyclonal Antibody 是一种 Rabbit 抗体,靶向 hydroxyproline。Anti-hydroxyproline Polyclonal Antibody 可用于 IF,IHC-Fr,IHC-P。

Anti-hydroxyproline Polyclonal Antibody

Anti-hydroxyproline Polyclonal Antibody

一键复制产品信息
Rating icon 还可以
产品编号 TMAB-00901 别名 Hyp

Anti-hydroxyproline Polyclonal Antibody 是一种 Rabbit 抗体,靶向 hydroxyproline。Anti-hydroxyproline Polyclonal Antibody 可用于 IF,IHC-Fr,IHC-P。

规格价格库存数量
50 μL
¥ 1,165
5日内发货
100 μL
¥ 1,960
5日内发货
200 μL
¥ 2,790
5日内发货
大包装 & 定制
加入购物车
TargetMol 的所有产品仅用作科学研究或药证申报,不能被用于人体,我们不向个人提供产品和服务。请您遵守承诺用途,不得违反法律法规规定用于任何其他用途。
实验操作小课堂
常见问题解答
查看更多
联系我们获取更多批次信息
资源下载

产品介绍

生物活性
产品描述
Anti-hydroxyproline Polyclonal Antibody is a Rabbit antibody targeting hydroxyproline. Anti-hydroxyproline Polyclonal Antibody can be used in IF,IHC-Fr,IHC-P.
别名Hyp
Ig Type
IgG
交叉反应
Human,Rat (predicted:Hydroxyproline)
验证活性
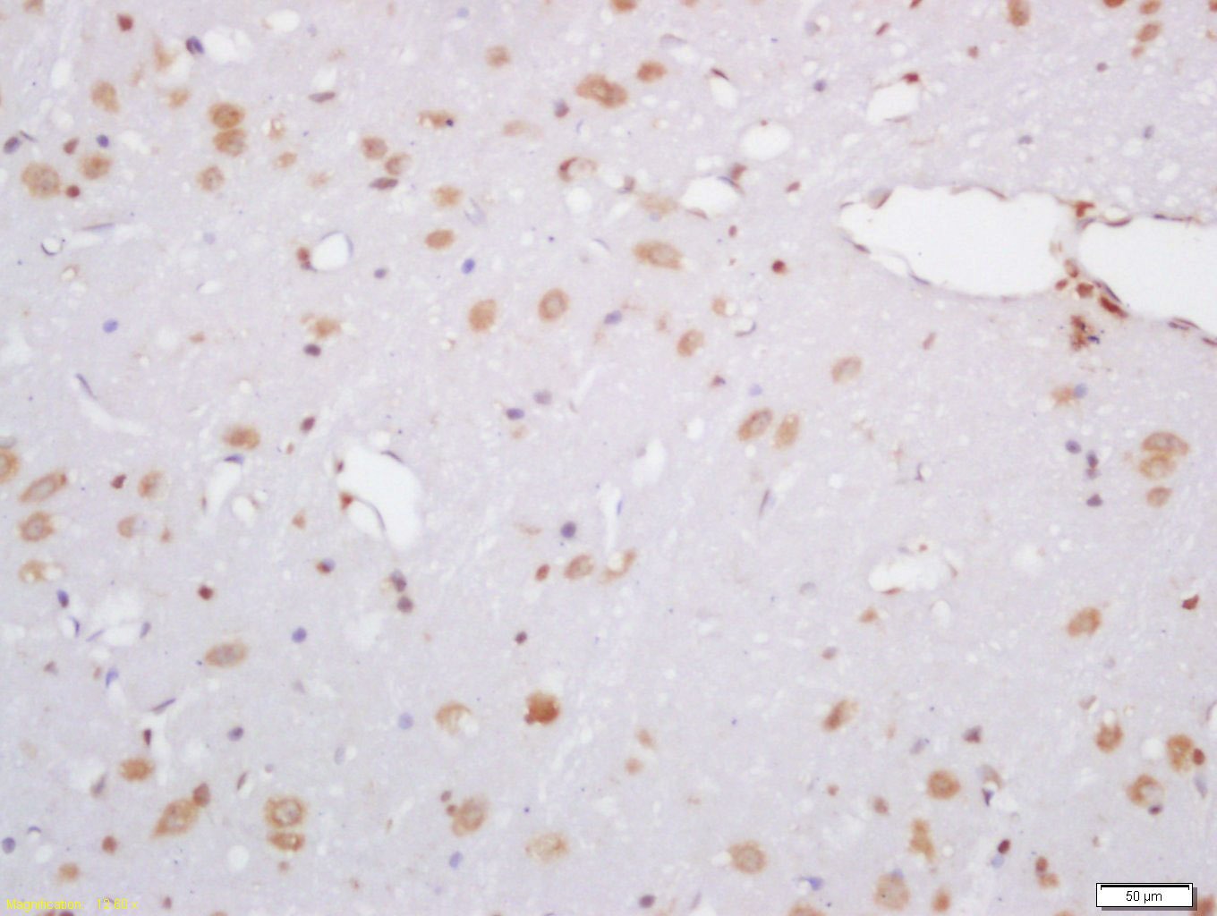
1. Tissue/cell: rat brain tissue; 4% Paraformaldehyde-fixed and paraffin-embedded;
Antigen retrieval: citrate buffer (0.01M, pH6.0), Boiling bathing for 15 min; Block endogenous peroxidase by 3% Hydrogen peroxide for 30 min; Blocking buffer (normal goat serum) at 37°C for 20 min;
Incubation: Anti-hydroxyproline Polyclonal Antibody, Unconjugated (TMAB-00901) 1:200, overnight at 4°C, followed by conjugation to the secondary antibody and DAb staining.
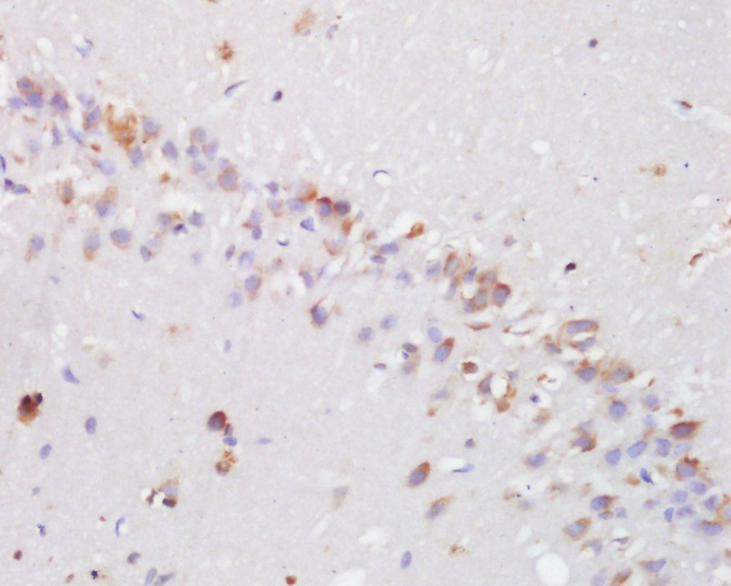
2. Tissue/cell: rat brain tissue; 4% Paraformaldehyde-fixed and paraffin-embedded;
Antigen retrieval: citrate buffer (0.01M, pH6.0), Boiling bathing for 15 min; Block endogenous peroxidase by 3% Hydrogen peroxide for 30 min; Blocking buffer (normal goat serum) at 37°C for 20 min;
Incubation: Anti-hydroxyproline Polyclonal Antibody, Unconjugated (TMAB-00901) 1:200, overnight at 4°C, followed by conjugation to the secondary antibody and DAb staining.
3. Tissue/cell: human lung carcinoma; 4% Paraformaldehyde-fixed and paraffin-embedded;
Antigen retrieval: citrate buffer (0.01M, pH6.0), Boiling bathing for 15 min; Block endogenous peroxidase by 3% Hydrogen peroxide for 30 min; Blocking buffer (normal goat serum) at 37°C for 20 min;
Incubation: Anti-hydroxyproline Polyclonal Antibody, Unconjugated (TMAB-00901) 1:200, overnight at 4°C, followed by conjugation to the secondary antibody and DAb staining.
verifiedActivityverifiedActivityverifiedActivity
应用IFIHC-FrIHC-P
推荐剂量
IHC-P: 1:100-500; IHC-Fr: 1:100-500; IF: 1:100-500
抗体种类
Polyclonal
宿主来源Rabbit
构建方式Polyclonal Antibody
纯化方式Protein A purified
性状Liquid
缓冲液0.01M TBS (pH7.4) with 1% BSA, 0.02% Proclin300 and 50% Glycerol.
浓度1 mg/mL
研究背景Hydroxyproline, a non-essential amino acid derived from proline, with no known therapeutic use. Hydroxproline is used as a major component of structural protiens such as collagen, connective tissues, plant cell walls, tendons and ligaments and provides skin elasticity. Vitiman C is required for the conversion process from proline to hydroxyproline, a deficincy in vitiman C can lead to defects in collagen synthesis, thus, resulting in easy bruising, internal bleeding, breakdown of connective tissue of the ligaments and tendons, and increased risk to blood vessel damage. An unusual feature of this amino acid is that, it is not incorporated into collagen during biosynthesis at the ribosomal level, but is formed from proline by a posttranslational modification by an enzymatic hydroxylation reaction.
抗原信息
免疫原
KLH conjugated hydroxyproline
存储&运输
储存方式Store at -20°C or -80°C for 12 months. Avoid repeated freeze-thaw cycles.
运输方式Shipping with blue ice.

计算器

  • 稀释 计算器

评论列表

4个月前
5.0
Rating icon 很棒

评论内容

Related Tags: buy Anti-hydroxyproline Polyclonal Antibody | purchase Anti-hydroxyproline Polyclonal Antibody | Anti-hydroxyproline Polyclonal Antibody cost | order Anti-hydroxyproline Polyclonal Antibody