购物车
  • TargetMol
    您的购物车当前为空

Anti-HTT Antibody (6D662)

Synonyms: Huntington disease protein, Huntingtin, HD protein, HD IT15
货号 TMAC-02075 一键复制产品信息
Rating icon 还可以

Anti-HTT Antibody (6D662) 是一种 Rabbit 抗体,靶向 HTT。Anti-HTT Antibody (6D662) 可用于 FCM,ICC,IHC,WB。

Anti-HTT Antibody (6D662)

一键复制产品信息
Rating icon 还可以
货号 TMAC-02075

别名 Huntington disease protein, Huntingtin, HD protein, HD IT15

Anti-HTT Antibody (6D662) 是一种 Rabbit 抗体,靶向 HTT。Anti-HTT Antibody (6D662) 可用于 FCM,ICC,IHC,WB。

Anti-HTT Antibody (6D662)
规格价格库存数量
50 μL
¥ 1,485
5日内发货
100 μL
¥ 2,480
5日内发货
库存状态实时更新,以官网显示为准,现货产品可直接加购物车下单
大包装 & 定制
加入购物车
TargetMol的所有产品仅用作科学研究或药证申报,不能被用于人体,我们不向个人提供产品和服务。请您遵守承诺用途,不得违反法律法规规定用于任何其他用途。
实验操作小课堂
常见问题解答
查看更多

资源下载:产品操作手册

产品介绍


生物活性
产品描述
Anti-HTT Antibody (6D662) is a Rabbit antibody targeting HTT. Anti-HTT Antibody (6D662) can be used in FCM,ICC,IHC,WB.
别名Huntington disease protein, Huntingtin, HD protein, HD IT15
Ig Type
IgG
克隆号
6D662
反应种属
Human,Mouse,Rat
验证活性
1. Western blot analysis of Huntingtin on A431 cell using anti-Huntingtin antibody at 1/500 dilution.
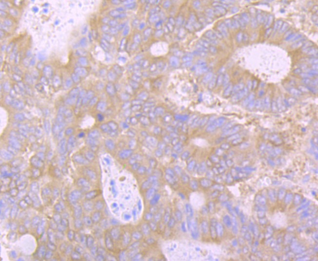
2. Immunohistochemical analysis of paraffin-embedded human colon cancer tissue using anti-Huntingtin antibody. Counter stained with hematoxylin.
3. Immunohistochemical analysis of paraffin-embedded human breast tissue using anti-Huntingtin antibody. Counter stained with hematoxylin.
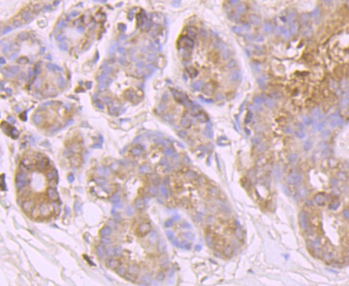
4. Immunohistochemical analysis of paraffin-embedded mouse epididymis tissue using anti-Huntingtin antibody. Counter stained with hematoxylin.
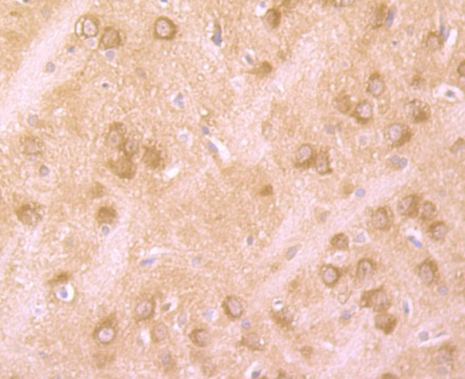
5. Immunohistochemical analysis of paraffin-embedded rat brain tissue using anti-Huntingtin antibody. Counter stained with hematoxylin.
6. Flow cytometric analysis of SH-SY-5Y cells with Huntingtin antibody at 1/100 dilution (red) compared with an unlabelled control (cells without incubation with primary antibody; black). Alexa Fluor 488-conjugated goat anti rabbit IgG was used as the secondary antibody.
verifiedActivityverifiedActivityverifiedActivityverifiedActivityverifiedActivityverifiedActivity
应用FCMICCIHCWB
推荐剂量
WB: 1:500; IHC: 1:50-200; ICC: 1:50; FCM: 1:50-100
抗体种类
Monoclonal
宿主来源Rabbit
构建方式Recombinant Antibody
纯化方式ProA affinity purified
性状Liquid
缓冲液1*TBS (pH7.4), 1%BSA, 40%Glycerol. Preservative: 0.05% Sodium Azide.
研究背景The huntingtin gene, also called the HTT or HD (Huntington disease) gene, is the IT15 ("interesting transcript 15") gene, which codes for a protein called the huntingtin protein. It is variable in its structure, as the many polymorphisms of the gene can lead to variable numbers of glutamine residues present in the protein. The mass of huntingtin protein is dependent largely on the number of glutamine residues it has, the predicted mass is around 350 kDa. Normal huntingtin is generally accepted to be 3144 amino acids in size. The exact function of this protein is not known, but it plays an important role in nerve cells. Within cells, huntingtin may be involved in signaling, transporting materials, binding proteins and other structures, and protecting against programmed cell death (apoptosis). The huntingtin protein is required for normal development before birth. It is expressed in many tissues in the body, with the highest levels of expression seen in the brain.
偶联与修饰
偶联
Unconjugated
抗原信息
免疫原
Recombinant Protein
Uniprot ID
化学信息
分子量Theoretical: 347 kDa.
储存&溶解度
储存方式Store at -20°C or -80°C for 12 months. Avoid repeated freeze-thaw cycles.
运输方式Shipping with blue ice.

计算器

  • 稀释 计算器
  • 配液 计算器
Related Tags: buy Anti-HTT Antibody (6D662) | purchase Anti-HTT Antibody (6D662) | Anti-HTT Antibody (6D662) cost | order Anti-HTT Antibody (6D662) | Anti-HTT Antibody (6D662) molecular weight