购物车
  • TargetMol
    您的购物车当前为空

Anti-HSP90AA1 Antibody (7X71)

Synonyms: LPS-associated protein 2), Lipopolysaccharide-associated protein 2 (LAP-2, HSPCA, HSPC1, HSPC 1, HSP90A, HSP86), HSP86, Heat shock protein HSP 90-α, Heat shock protein HSP 90-alpha, Heat shock 86 kDa (HSP 86
货号 TMAC-02048 一键复制产品信息
Rating icon 还可以

Anti-HSP90AA1 Antibody (7X71) 是一种 Rabbit 抗体,靶向 HSP90AA1。Anti-HSP90AA1 Antibody (7X71) 可用于 ICC/IF,IHC,WB。

Anti-HSP90AA1 Antibody (7X71)

一键复制产品信息
Rating icon 还可以
货号 TMAC-02048

别名 LPS-associated protein 2), Lipopolysaccharide-associated protein 2 (LAP-2, HSPCA, HSPC1, HSPC 1, HSP90A, HSP86), HSP86, Heat shock protein HSP 90-α, Heat shock protein HSP 90-alpha, Heat shock 86 kDa (HSP 86

Anti-HSP90AA1 Antibody (7X71) 是一种 Rabbit 抗体,靶向 HSP90AA1。Anti-HSP90AA1 Antibody (7X71) 可用于 ICC/IF,IHC,WB。

Anti-HSP90AA1 Antibody (7X71)
规格价格库存数量
50 μL
¥ 1,485
5日内发货
100 μL
¥ 2,485
5日内发货
库存状态实时更新,以官网显示为准,现货产品可直接加购物车下单
大包装 & 定制
加入购物车

TargetMol的所有产品仅用作科学研究或药证申报,不能被用于人体,我们不向个人提供产品和服务。请您遵守承诺用途,不得违反法律法规规定用于任何其他用途。

实验操作小课堂
常见问题解答
查看更多

资源下载:产品操作手册

产品介绍


生物活性
产品描述
Anti-HSP90AA1 Antibody (7X71) is a Rabbit antibody targeting HSP90AA1. Anti-HSP90AA1 Antibody (7X71) can be used in ICC/IF,IHC,WB.
别名
LPS-associated protein 2), Lipopolysaccharide-associated protein 2 (LAP-2, HSPCA, HSPC1, HSPC 1, HSP90A, HSP86), HSP86, Heat shock protein HSP 90-α, Heat shock protein HSP 90-alpha, Heat shock 86 kDa (HSP 86
Ig Type
IgG
克隆号
7X71
反应种属
Human,Mouse,Rat
验证活性
1. Western blot analysis of Hsp90 alpha on COS-1 cell lysates using anti-Hsp90 alpha antibody at 1/1,000 dilution.
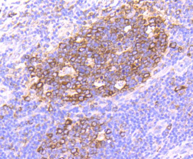
2. Immunohistochemical analysis of paraffin-embedded human tonsil tissue using anti-Hsp90 alpha antibody. Counter stained with hematoxylin.
3. Immunohistochemical analysis of paraffin-embedded human colon cancer tissue using anti-Hsp90 alpha antibody. Counter stained with hematoxylin.
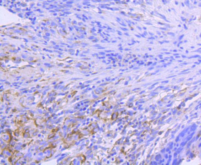
4. Immunohistochemical analysis of paraffin-embedded human breast tissue using anti-Hsp90 alpha antibody. Counter stained with hematoxylin.
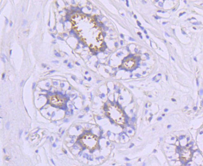
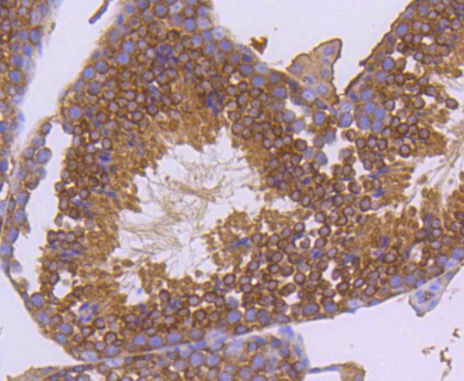
5. Immunohistochemical analysis of paraffin-embedded mouse testis tissue using anti-Hsp90 alpha antibody. Counter stained with hematoxylin.
6. Immunohistochemical analysis of paraffin-embedded human kidney tissue using anti-Hsp90 alpha antibody. Counter stained with hematoxylin.
7. ICC staining Hsp90 alpha in Hela cells (green). The nuclear counter stain is DAPI (blue). Cells were fixed in paraformaldehyde, permeabilised with 0.25% Triton X100/PBS.
8. ICC staining Hsp90 alpha in Ags cells (green). The nuclear counter stain is DAPI (blue). Cells were fixed in paraformaldehyde, permeabilised with 0.25% Triton X100/PBS.
9. ICC staining Hsp90 alpha in NIH/3T3 cells (green). The nuclear counter stain is DAPI (blue). Cells were fixed in paraformaldehyde, permeabilised with 0.25% Triton X100/PBS.
verifiedActivityverifiedActivityverifiedActivityverifiedActivityverifiedActivityverifiedActivityverifiedActivityverifiedActivityverifiedActivity
应用ICC/IFIHCWB
推荐剂量
WB: 1:1000-2000; IHC: 1:50-200; ICC/IF: 1:50-200
抗体种类
Monoclonal
宿主来源Rabbit
构建方式Recombinant Antibody
纯化方式ProA affinity purified
性状Liquid
缓冲液1*TBS (pH7.4), 1%BSA, 40%Glycerol. Preservative: 0.05% Sodium Azide.
研究背景The heat shock response was first described for Drosophila salivary gland cells and morphologically consists of a change in their polytene chromosome puffing patterns that involves de novo synthesis of a few proteins. Similar heat shock proteins were later discovered in bacterial chicken and mammalian cells, and have been subsequently studied in other organisms. A series of proteins including HSP 90, HSP 70, HSP 20-30 and ubiquitin are induced by insults such as temperature shock, chemicals and other environmental stress. A major function of HSP 90 and other HSPs is to act as molecular chaperones. HSP 90 forms a complex with glucocorticoid receptor (GR), rendering the non ligand-bound receptor transcriptionally inactive. HSP 90 binds the GR as a heterocomplex composed of either HSP 56 or Cyclophilin D, forming an aporeceptor comiplex. HSP 90 also exists as a dimer with other proteins such as p60/sti1 and p23, forming an apo-receptor complex with estrogen and androgen receptors.
偶联与修饰
偶联
Unconjugated
抗原信息
免疫原
Recombinant Protein
Uniprot ID
化学信息
分子量Theoretical: 90 kDa.
储存&溶解度
储存方式Store at -20°C or -80°C for 12 months. Avoid repeated freeze-thaw cycles.
运输方式Shipping with blue ice.

计算器

  • 稀释 计算器
  • 配液 计算器
Related Tags: buy Anti-HSP90AA1 Antibody (7X71) | purchase Anti-HSP90AA1 Antibody (7X71) | Anti-HSP90AA1 Antibody (7X71) cost | order Anti-HSP90AA1 Antibody (7X71) | Anti-HSP90AA1 Antibody (7X71) molecular weight