购物车
  • TargetMol
    您的购物车当前为空

Anti-HNRNPA2B1 Polyclonal Antibody

Synonyms: HNRPA2B1, HNRNPA2B1, hnRNP A2/B1, Heterogeneous nuclear ribonucleoproteins A2/B1
货号 TMAB-00878 一键复制产品信息
Rating icon 还可以

Anti-HNRNPA2B1 Polyclonal Antibody 是一种 Rabbit 抗体,靶向 HNRNPA2B1。Anti-HNRNPA2B1 Polyclonal Antibody 可用于 IF,IHC-Fr,IHC-P,WB。

Anti-HNRNPA2B1 Polyclonal Antibody

一键复制产品信息
Rating icon 还可以
货号 TMAB-00878

别名 HNRPA2B1, HNRNPA2B1, hnRNP A2/B1, Heterogeneous nuclear ribonucleoproteins A2/B1

Anti-HNRNPA2B1 Polyclonal Antibody 是一种 Rabbit 抗体,靶向 HNRNPA2B1。Anti-HNRNPA2B1 Polyclonal Antibody 可用于 IF,IHC-Fr,IHC-P,WB。

Anti-HNRNPA2B1 Polyclonal Antibody
规格价格库存数量
50 μL
¥ 1,170
5日内发货
100 μL
¥ 1,975
5日内发货
200 μL
¥ 2,795
5日内发货
库存状态实时更新,以官网显示为准,现货产品可直接加购物车下单
大包装 & 定制
加入购物车

TargetMol的所有产品仅用作科学研究或药证申报,不能被用于人体,我们不向个人提供产品和服务。请您遵守承诺用途,不得违反法律法规规定用于任何其他用途。

实验操作小课堂
常见问题解答
查看更多

资源下载:产品操作手册

产品介绍


生物活性
产品描述
Anti-HNRNPA2B1 Polyclonal Antibody is a Rabbit antibody targeting HNRNPA2B1. Anti-HNRNPA2B1 Polyclonal Antibody can be used in IF,IHC-Fr,IHC-P,WB.
别名
HNRPA2B1, HNRNPA2B1, hnRNP A2/B1, Heterogeneous nuclear ribonucleoproteins A2/B1
Ig Type
IgG
反应种属
Human,Mouse,Rat (predicted:Chicken,Dog,Pig,Cow,Rabbit)
验证活性
1. Paraformaldehyde-fixed, paraffin embedded (rat intestine tissue); Antigen retrieval by boiling in sodium citrate buffer (pH6.0) for 15 min; Block endogenous peroxidase by 3% hydrogen peroxide for 20 min; Blocking buffer (normal goat serum) at 37°C for 30 min; Antibody incubation with (hnRNP A2B1) Polyclonal Antibody, Unconjugated (TMAB-00878) at 1:400 overnight at 4°C, followed by operating according to SP Kit (Rabbit) instructionsand DAB staining.
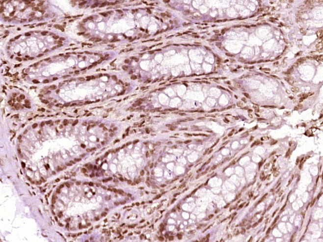
2. Paraformaldehyde-fixed, paraffin embedded (mouse colon tissue); Antigen retrieval by boiling in sodium citrate buffer (pH6.0) for 15 min; Block endogenous peroxidase by 3% hydrogen peroxide for 20 min; Blocking buffer (normal goat serum) at 37°C for 30 min; Antibody incubation with (hnRNP A2B1) Polyclonal Antibody, Unconjugated (TMAB-00878) at 1:400 overnight at 4°C, followed by operating according to SP Kit (Rabbit) instructionsand DAB staining.
3. Sample:
A549 (Human) Cell Lysate at 30 μg
Primary: Anti-hnRNP A2B1 (TMAB-00878) at 1/300 dilution
Secondary: IRDye800CW Goat Anti-Rabbit IgG at 1/20000 dilution
Predicted band size: 39 kDa
Observed band size: 39 kDa
4. Paraformaldehyde-fixed, paraffin embedded (Mouse brain); Antigen retrieval by boiling in sodium citrate buffer (pH6.0) for 15 min; Block endogenous peroxidase by 3% hydrogen peroxide for 20 min; Blocking buffer (normal goat serum) at 37°C for 30 min; Antibody incubation with (hnRNP A2B1) Polyclonal Antibody, Unconjugated (TMAB-00878) at 1:400 overnight at 4°C, followed by operating according to SP Kit (Rabbit) instructionsand DAB staining.
verifiedActivityverifiedActivityverifiedActivityverifiedActivity
应用IFIHC-FrIHC-PWB
推荐剂量
WB: 1:500-2000; IHC-P: 1:100-500; IHC-Fr: 1:100-500; IF: 1:100-500
抗体种类
Polyclonal
宿主来源Rabbit
亚细胞定位Cytoplasm. Localized in cytoplasmic mRNP granules containing untranslated mRNAs. Component of ribonucleosomes. Predominantly nucleoplasmic, however isoform A2 is also found in the cytoplasm of cells in some tissues
构建方式Polyclonal Antibody
纯化方式Protein A purified
性状Liquid
缓冲液0.01M TBS (pH7.4) with 1% BSA, 0.02% Proclin300 and 50% Glycerol.
浓度1 mg/mL
研究背景Involved with pre-mRNA processing. Forms complexes (ribonucleosomes) with at least 20 other different hnRNP and heterogeneous nuclear RNA in the nucleous.
抗原信息
免疫原
KLH conjugated synthetic peptide: human hnRNP A2B1
抗原种属
Human
基因名称
HNRNPA2B1
基因ID
蛋白名称
Heterogeneous nuclear ribonucleoproteins A2/B1
Uniprot ID
研究领域
RNA Processing
功能
Involved with pre-mRNA processing. Forms complexes (ribonucleosomes) with at least 20 other different hnRNP and heterogeneous nuclear RNA in the nucleus.
化学信息
分子量Theoretical: 39 kDa. Actual: 39 kDa.
储存&溶解度
储存方式Store at -20°C or -80°C for 12 months. Avoid repeated freeze-thaw cycles.
运输方式Shipping with blue ice.

计算器

  • 稀释 计算器
  • 配液 计算器
Related Tags: buy Anti-HNRNPA2B1 Polyclonal Antibody | purchase Anti-HNRNPA2B1 Polyclonal Antibody | Anti-HNRNPA2B1 Polyclonal Antibody cost | order Anti-HNRNPA2B1 Polyclonal Antibody | Anti-HNRNPA2B1 Polyclonal Antibody molecular weight